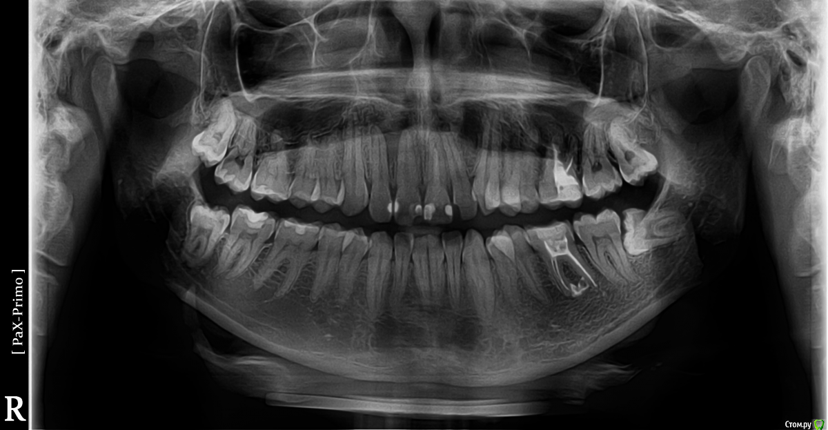
Chelsea Опубликовано 23 апреля, 2018 Поделиться Опубликовано 23 апреля, 2018 Добрый день! Мне предстоит удаление двух нижних зубов мудрости, однако недавно узнал об опасности задеть нижнечелюстной нерв и об ужасных последствиях этого. Прошу посмотреть рентген и хотя бы приблизительно определить опасность моей ситуации..Снимок прилагается.Большое спасибо! Ссылка на комментарий
Irouil Опубликовано 23 апреля, 2018 Поделиться Опубликовано 23 апреля, 2018 Маловероятно справа, не представляет опасности для нерва слева. 2 Ссылка на комментарий
Chelsea Опубликовано 23 апреля, 2018 Автор Поделиться Опубликовано 23 апреля, 2018 Маловероятно справа, не представляет опасности для нерва слева. Слева это там где зуб лежит на боку? Ссылка на комментарий
Chelsea Опубликовано 24 апреля, 2018 Автор Поделиться Опубликовано 24 апреля, 2018 Спасибо за ответ! Ещё один небольшой вопрос - а можно ли по этому снимку определить с какой стороны относительно восьмерок находится канал нижнечелюстного нерва? С лингвальной или с внешней? Ссылка на комментарий
Irouil Опубликовано 24 апреля, 2018 Поделиться Опубликовано 24 апреля, 2018 Нельзя. 2 Ссылка на комментарий
Chelsea Опубликовано 25 апреля, 2018 Автор Поделиться Опубликовано 25 апреля, 2018 Извините что беспокою. Сегодня узнал об опасности перфорации гайморовой пазухи при удалении верхних зубов мудрости. Можно ли по моему рентгену определить на сколько близко гайморовая пазуха расположена к корням зубов мудрости? Какая вероятность перфорации?Большое спасибо!! Ссылка на комментарий
Irouil Опубликовано 25 апреля, 2018 Поделиться Опубликовано 25 апреля, 2018 Если удалять аккуратно, то практически нулевая справа, очень маловероятно слева. 1 Ссылка на комментарий
red_butler Опубликовано 26 апреля, 2018 Поделиться Опубликовано 26 апреля, 2018 Какая вероятность перфорации? низкая 1 Ссылка на комментарий
Рекомендуемые сообщения
Для публикации сообщений создайте учётную запись или авторизуйтесь
Вы должны быть пользователем, чтобы оставить комментарий
Создать аккаунт
Зарегистрируйте новый аккаунт в нашем сообществе. Это очень просто!
Регистрация нового пользователяВойти
Уже есть аккаунт? Войти в систему.
Войти