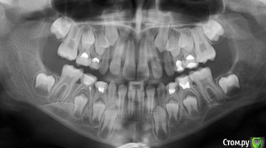
Леголич Опубликовано 20 апреля, 2018 Поделиться Опубликовано 20 апреля, 2018 Доброго дня. Вопрос по нижнему правому 5 молочному моляру. Дочь пожаловалась на боль при накусывании, есть не могла. Сделали снимок- воспаления нет, но решили поменять пломбу. Поменяли, поставили со слов врача лекарство и пломбу Глоссит в 5 вечера. На следующий день утром Т 37.2, небольшой отек щеки, покраснение слизистой десны и щеки. Боли нет. При накусывании не сильно. Жалобы на зуд. Получила Фенистил - не помогло. Т 38.3. Поехали к врачу. Сделали снимок( прикреплен ниже). Ничего менять не стали. Домой и наблюдать 3 дня. Вечером 37.5 без лекарств. Ночью не спала- зуд. Утром Т 37.2, отек щеки вырос в 3 раза. Боли нет, зуд несильный. Днём Т 38.3 опять. Общее состояние удовлетворительное. Вечером опять едем к врачу. Но я уже сомневаюсь. Мне важно знать мнение другого врача.Вопрос: это может быть аллергической реакцией на стомматериалы? Раньше зубы лечили, но пломбы ставили светоотв и вроде без лекарств. Подобного не было ни разу. Спасибо. Ссылка на комментарий
сирена Опубликовано 21 апреля, 2018 Поделиться Опубликовано 21 апреля, 2018 Нет,это не аллергия. Ссылка на комментарий
Рекомендуемые сообщения
Для публикации сообщений создайте учётную запись или авторизуйтесь
Вы должны быть пользователем, чтобы оставить комментарий
Создать аккаунт
Зарегистрируйте новый аккаунт в нашем сообществе. Это очень просто!
Регистрация нового пользователяВойти
Уже есть аккаунт? Войти в систему.
Войти