JurJul Опубликовано 17 апреля, 2018 Поделиться Опубликовано 17 апреля, 2018 Не знаю, возможно мой случай в раздел протезирования и не подходит, возможно нужна хирургия и имплантация. История. Живу в Белоруссии. В 2000 году сделал всё, что нужно было: мосты, коронки, виниры на передние зубы. На то время по высокому уровню стоматологии. Где-то через 2 года обнаружили онкологию (семенома) на 1 стадии. Операция, химия, лучевая. Препараты на химиотерапии этопозид, цисплатин. Всё благополучно прошло. Потом где-то через 2-3 года мосты и коронки стали беспокоить и постепенно они снялись. В начале 10-х годов был на нескольких консультациях - сказали, что у меня 2 варианта: ждать пока само всё выпадет и потом ставить всё полностью съемное "под Карегу" и второй вариант - удалять всё раньше и опять же ставить полностью под Карегу. Я как-то не могу с этим смириться, всё же думаю, что возможны варианты ещё, тем более, что научно-технический как и медицина со своими технологиями двигаются семимильными шагами. Про импланты мне говорили, что в моём случае ничего не будет стоять, т.к. была в прошлом химия и лучевая и у меня всё подвижно, что собственно подтверждается состоянием зубов и корней, которые норовят выходить сами. Были частые воспаления дёсен и признаки пародонтоза. В последние месяцы стали шататься передние верхние, прямо похоже как у детей, когда зубы меняются... И вот совсем недавно выпал (помог ему немного) верхний 1-ца. Бисфосфонаты не принимал. Зубы после онко удалял. Лунки заживали нормально.В субботу 14.04 был на консультации у имплантолога. Ведущий специалист в этой области в РБ... во всяком случае так его позиционирует Гугл )) Так вот мне сразу был предложен самый оптимальный в моём случае вариант - всё на 6 на обе челюсти и всё сразу и быстро. Удаляем всё и сразу и тут же вкручиваем импланты (Израиль или Нобель). Через 5-7 дней ставим временный несъемный протез и через полгода вуаля постоянный несъемный (либо керамику либо цирконий по желанию). Типа это в моём случае самое оптимальное и не очень тяжёлое в физическом и психологическом плане (сразу с зубами, не нужно съёмный протез полгода носить или без зубов долго ходить )... Я, честно говоря, не готов на такой вариант... Я понимаю, что возможно хороших зубов, которые смогут служить опорой под мост/ы, может и нет. И, возможно, и нужно будет всё удалить... Но я думаю, может и ошибаюсь, что есть и др. методы имплантации, если это неизбежно. Как мне сказали на консультации, что предложенный вариант единственный для верхней челюсти, варианты могут быть по низу, но по верху - без вариантов...Озвучена по стоимости работа "под ключ" : с израильскими имплантами 12 тыс. дол. , с американскими 20 тыс. дол. Дело даже не в стоимости. Просто мне не хотелось бы стать одним из авторов стом. форумов с мольбой о помощи в исправлении чьей-то работы с имеющимися проблемами. Больше всего на свете я не хочу проблем и переделок. Я понимаю, что на 100% нельзя быть уверенным в результате, но минимизировать риски, выбрав самый лучший или оптимальный вариант, можно. Вот поэтому я решил обратиться сюда за консультацией. Ссылка на 3D томографию: https://drive.google.com/open?id=1puDkkPZG_C-UQCklhUjX5sdAS_SOIooZВзываю к помощи товарищей врачей! Только на вас уповаю Ссылка на комментарий
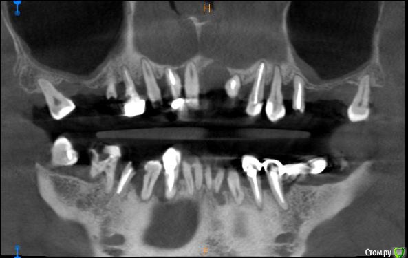
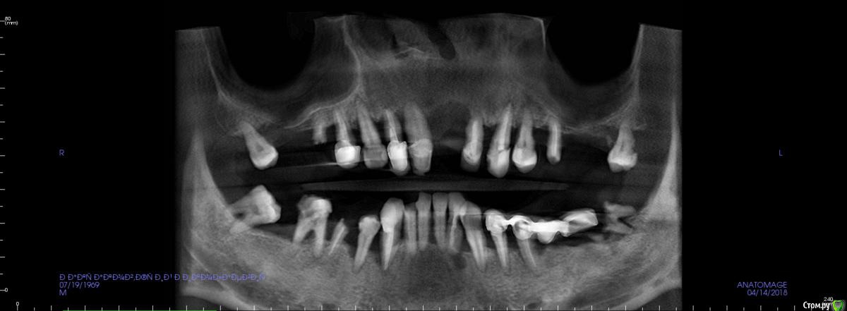
St. Опубликовано 17 апреля, 2018 Поделиться Опубликовано 17 апреля, 2018 Обзорные срезы ( верх, низ, топография нижнечелюстного нерва), дефект в обл 21 Ссылка на комментарий
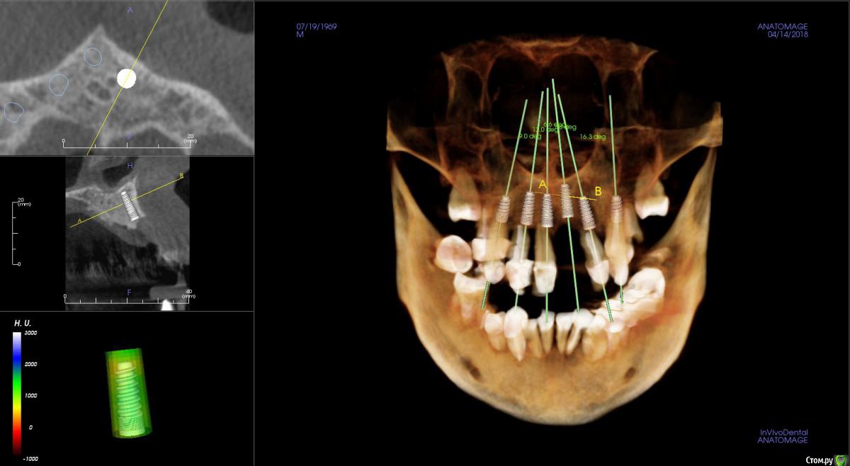
kozloff Опубликовано 18 апреля, 2018 Поделиться Опубликовано 18 апреля, 2018 План действий.Удаление зубов.Повторное КТ.Рекомендуется костная пластика.Имплантация по шаблону. Ссылка на комментарий
Evikrol Опубликовано 18 апреля, 2018 Поделиться Опубликовано 18 апреля, 2018 Всё на 4 Ссылка на комментарий
JurJul Опубликовано 20 апреля, 2018 Автор Поделиться Опубликовано 20 апреля, 2018 Добрый!Спасибо за ответы, очень ценно ваше мнение, чтобы самому определиться в тактике "лечения" ))На следующей неделе поеду на консультации в Минск, но что-то мне подсказывает, что будут всё равно предлагать импланты... Как сам, то имею такие мысли:1. одномоментная имплантация - нет, что-то мне думается, что в моём случае или долго не простоит или будет куча проблем по ходу... И судя по тому, как расписывают, что это чуть ли не панацея, то похоже на "развод"...2. двухэтапная имплантация во многом зависит от опыта врача, везения и настроения. В этом случае пугает длительность, болезненность процедур (мне так кажется), возможные осложнения и т.п. Я за свои почти 50 уже столько натерпелся болезненных медицинских манипуляций, что предстоящие зубные баталии просто вводят в психологический стресс, особенно когда представляешь, что может что-то пойти не так, как планировалось... Больше всего не хотелось бы осложнений и переделок и каких-то непредвиденных ситуаций, моя нервная система может дать сбой )) Мне на сцене не выступать )) Вот и думаю уже, може всё же съемные... Другое дело, что читал недавно, что когда долго носишь полные съемные, то "утаптывается" кость и получается "эффект Брежнева". Вот и выбери тут! Мне на днях был предложен ещё один вариант из минской клиники: "ставить 8 имплантов на каждую челюсть, верх нужно на мультиюнитах делать, а по хорошему и кость много где наращивать"... Ссылка на комментарий
Рекомендуемые сообщения
Для публикации сообщений создайте учётную запись или авторизуйтесь
Вы должны быть пользователем, чтобы оставить комментарий
Создать аккаунт
Зарегистрируйте новый аккаунт в нашем сообществе. Это очень просто!
Регистрация нового пользователяВойти
Уже есть аккаунт? Войти в систему.
Войти