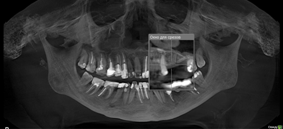
стихия Опубликовано 17 апреля, 2018 Поделиться Опубликовано 17 апреля, 2018 Здравствуйте! 8 месяцев назад были удалены верхняя левая 5-ка и 6-ка из-за кисты. Посмотрите, пожалуйста, мои снимки: возможна ли сейчас имплантация? Хватает ли там костной ткани? Проблема в том, что у меня хронический гайморит, который воспаляется каждый год, не будет ли это причиной плохой приживаемости имплантов? Можно ли при хроническом гайморите делать остеопластику? Буду очень благодарна за ответы. 2 хирурга, у которых была на очной консультации, отказались делать имплантацию в моем случае(( Ссылка на комментарий
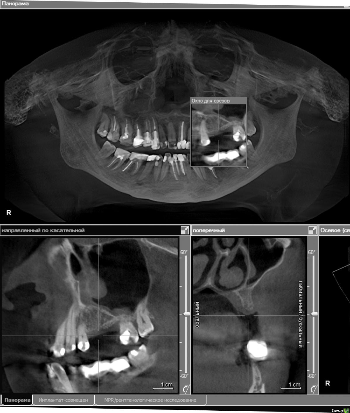
колесников Опубликовано 17 апреля, 2018 Поделиться Опубликовано 17 апреля, 2018 (изменено) Дефект гребня в области 27 го зуба будет причиной периимплантного кармана у импланта 26. Я вижу тут 2 варианта: или Имплант Штрауман ТЛ в области 26го с синуслифтингом,+25,либо удаление 27го и мост на имплантах 25-27 Изменено 17 апреля, 2018 пользователем колесников Ссылка на комментарий
Irouil Опубликовано 17 апреля, 2018 Поделиться Опубликовано 17 апреля, 2018 Со стороны пазухи нерешаемых проблем не вижу Ссылка на комментарий
стихия Опубликовано 17 апреля, 2018 Автор Поделиться Опубликовано 17 апреля, 2018 Спасибо, что откликнулись. Имплант Штрауман ТЛ скажите пожалуйста, только эта система имплантов здесь подойдет? в клинике, где я собиралась ставить импланты какая-то израильская система...хочу уточнить по поводу синуслифтинга: не будет ли синуслифтинг вызывать воспаление гайморовых пазух? (они у меня раз в год стабильно воспаляются, не ухудшит ли имплантация еще больше это хроническое заболевание?)а можно имплант поставить на 25 и зацепить мостом с 27(родным зубом, не вырывать) ? такая конструкция совсем не надежна? Ссылка на комментарий
колесников Опубликовано 17 апреля, 2018 Поделиться Опубликовано 17 апреля, 2018 Импланты со своими зубами лучше не связывать. Для израильской системы слишком сложный случай,потребуется костная пластика как со стороны пазухи,так и со стороны полости рта. 27 сомнительный зуб,необходимо трезво оценить его перспективы. Если будет решение его оставить,сработает только Штрауман тл. Ссылка на комментарий
Рекомендуемые сообщения
Для публикации сообщений создайте учётную запись или авторизуйтесь
Вы должны быть пользователем, чтобы оставить комментарий
Создать аккаунт
Зарегистрируйте новый аккаунт в нашем сообществе. Это очень просто!
Регистрация нового пользователяВойти
Уже есть аккаунт? Войти в систему.
Войти