kamranchick Опубликовано 16 апреля, 2018 Поделиться Опубликовано 16 апреля, 2018 Если ретенционная киста, то протокол более чем понятен, видео с информацией полно... но оно ли Ссылка на комментарий
Irouil Опубликовано 16 апреля, 2018 Поделиться Опубликовано 16 апреля, 2018 Имхо - нет. ЛОР КТ смотрел вообще? Тут может быть что угодно, от уровня жидкости до инвертированной папиломы. Ссылка на комментарий
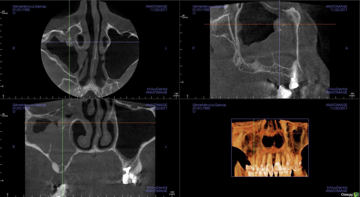
kamranchick Опубликовано 16 апреля, 2018 Автор Поделиться Опубликовано 16 апреля, 2018 Смотрел, и такое заключение дал. вот меня и смутило, в верхней трети около соустя вообще вкрапления какие то есть )) Ссылка на комментарий
егорджан Опубликовано 16 апреля, 2018 Поделиться Опубликовано 16 апреля, 2018 ретенционная киста, а за ней гайморит)) Ссылка на комментарий
kamranchick Опубликовано 16 апреля, 2018 Автор Поделиться Опубликовано 16 апреля, 2018 ретенционная киста, а за ней гайморит))ну может он прошел)) Ссылка на комментарий
Irouil Опубликовано 16 апреля, 2018 Поделиться Опубликовано 16 апреля, 2018 Смотрел, и такое заключение дал. вот меня и смутило, в верхней трети около соустя вообще вкрапления какие то есть ))Больше всего похоже на грибковое тело, и вкрапления эти намекают, и контуры затенения. Пунктировать не стал ЛОР это? 1 Ссылка на комментарий
kamranchick Опубликовано 16 апреля, 2018 Автор Поделиться Опубликовано 16 апреля, 2018 Больше всего похоже на грибковое тело, и вкрапления эти намекают, и контуры затенения. Пунктировать не стал ЛОР этоОтправил для санации, он написал вот это только( что ретенционная, но потом я внимательно начал крутить туда сюда и вот засомневался Ссылка на комментарий
Irouil Опубликовано 16 апреля, 2018 Поделиться Опубликовано 16 апреля, 2018 По большому счету; какая разница то? Вы же пациентку ради синус лифта (насколько я понимаю) отправляли, в таких условиях его не сделать. Там даже если соустье толщиною с пенис Трампа будет, все равно его ткани+отек перекроют после синуса. Так или иначе пазуху надо оперировать, только если ЛОР не считает что ретенционная киста - одонтогенная и пройдет при санации первичного очага) Ссылка на комментарий
kamranchick Опубликовано 17 апреля, 2018 Автор Поделиться Опубликовано 17 апреля, 2018 Если опять отправлю к ЛОРу, он скажет это что за щенок тут спорит со мной))Так что если делать, то только самому теперь!!) Ссылка на комментарий
Irouil Опубликовано 17 апреля, 2018 Поделиться Опубликовано 17 апреля, 2018 А соустье как расширять? Нужно в нос и эндоскоп. Ссылка на комментарий
kriokov Опубликовано 17 апреля, 2018 Поделиться Опубликовано 17 апреля, 2018 Нужен осмотр у другого лора. 1 Ссылка на комментарий
kamranchick Опубликовано 17 апреля, 2018 Автор Поделиться Опубликовано 17 апреля, 2018 Нужен осмотр у другого лора. Других нет... Ссылка на комментарий
Bier Опубликовано 18 апреля, 2018 Поделиться Опубликовано 18 апреля, 2018 проконсультируйтесь с Клименко или Горбоносовым. И отправьте их мнение вашему ЛОРу ) Ссылка на комментарий
kamranchick Опубликовано 18 апреля, 2018 Автор Поделиться Опубликовано 18 апреля, 2018 Приехали Ссылка на комментарий
Bier Опубликовано 18 апреля, 2018 Поделиться Опубликовано 18 апреля, 2018 ну вот видите как все просто Ссылка на комментарий
kamranchick Опубликовано 18 апреля, 2018 Автор Поделиться Опубликовано 18 апреля, 2018 ну вот видите как все простои что мне со своими лором делать, на ауто-блоки пустить?я то полез в пазуху, начал мыть там все Ссылка на комментарий
Bier Опубликовано 18 апреля, 2018 Поделиться Опубликовано 18 апреля, 2018 а как полез? Ну вот напишите своему ЛОРу, что надо посоветоваться ) ну в мягкой форме короче ) пусть лечит Ссылка на комментарий
kamranchick Опубликовано 19 апреля, 2018 Автор Поделиться Опубликовано 19 апреля, 2018 а как полез? Ну вот напишите своему ЛОРу, что надо посоветоваться ) ну в мягкой форме короче ) пусть лечитсоздал окно, прокол- вытался выкачать жидкость, ничего особо не выходило, создал отверстие больше, начал мыть, там хренотень всякая, но и чистил мыл, окно закрыл и ушился) Ссылка на комментарий
Bier Опубликовано 19 апреля, 2018 Поделиться Опубликовано 19 апреля, 2018 без эндоскопа, хотя бы самого простого за 200 баксов, сложно рассчитывать, что через маленькое окно вы убрали грибковое тело 1 Ссылка на комментарий
kamranchick Опубликовано 19 апреля, 2018 Автор Поделиться Опубликовано 19 апреля, 2018 без эндоскопа, хотя бы самого простого за 200 баксов, сложно рассчитывать, что через маленькое окно вы убрали грибковое телода конечно не убрал)) я то думал что там кистень Ссылка на комментарий
kladoffka Опубликовано 20 апреля, 2018 Поделиться Опубликовано 20 апреля, 2018 без эндоскопа, хотя бы самого простого за 200 баксов, сложно рассчитывать, что через маленькое окно вы убрали грибковое телоЧто за эндоскоп за 200$? Где купить? Ссылка на комментарий
Bier Опубликовано 20 апреля, 2018 Поделиться Опубликовано 20 апреля, 2018 Что за эндоскоп за 200$? Где купить?просто прямая палочка с фонариком и оптикой в которую можно смотреть, ЛОРы используют на осмотрах сейчас, суют его в нос и уши )) У меня нет, но знакомый ЛОР показывал Ссылка на комментарий
Рекомендуемые сообщения
Для публикации сообщений создайте учётную запись или авторизуйтесь
Вы должны быть пользователем, чтобы оставить комментарий
Создать аккаунт
Зарегистрируйте новый аккаунт в нашем сообществе. Это очень просто!
Регистрация нового пользователяВойти
Уже есть аккаунт? Войти в систему.
Войти