Перейти к содержанию
Стоматология для всех

AlfaBio Tec 4


an_ver

Рекомендуемые сообщения

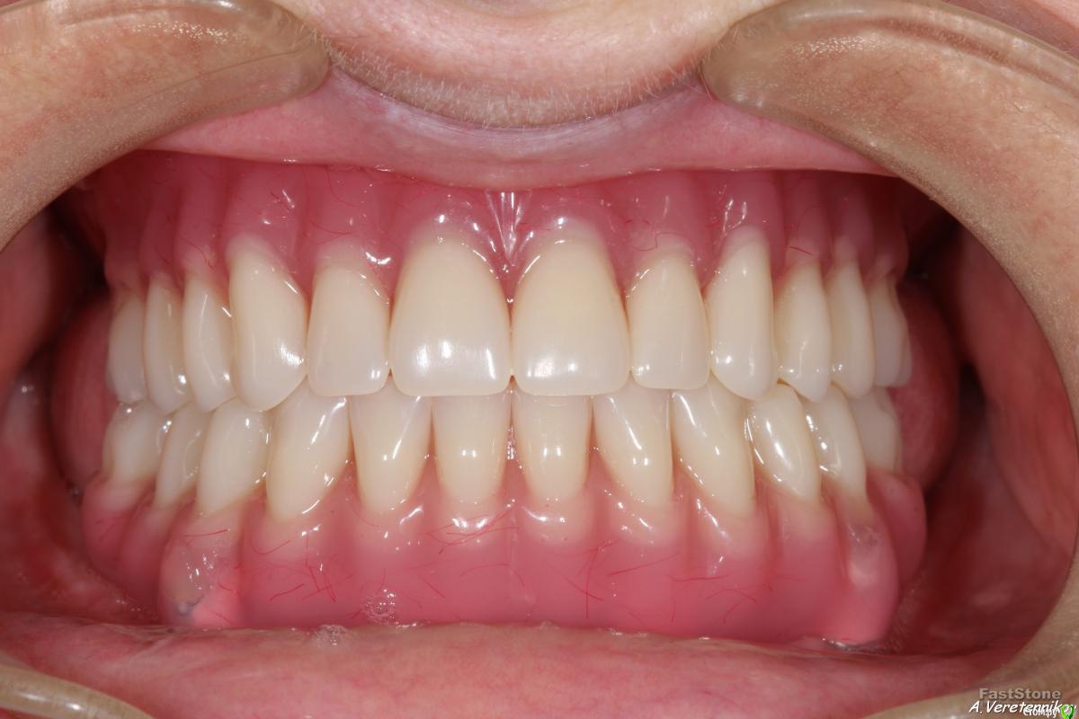
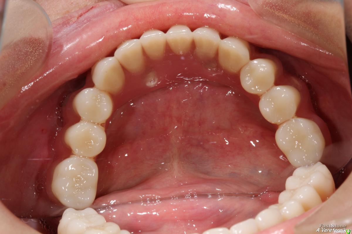
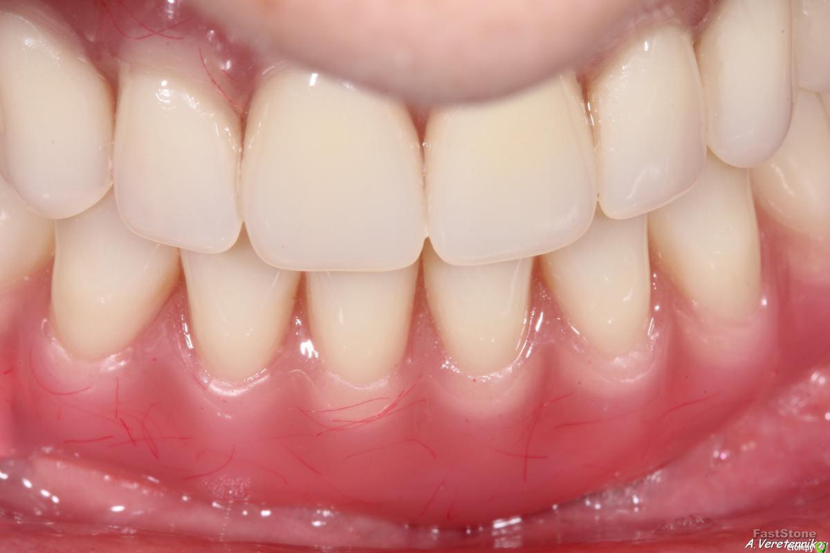
8 месяцев назад пациентка обратилась за помощью.Протез на нч жил своей жизнью.Провели планирование, установку 4 имплантатов на нч (ICE 4.2*10-2,4,2*13-2), во фронте прямые , дистальные 30 гр., временные абатменты в базисе,условно сьемный протез от 5-5.1 перебазировка через 3 месяца. Далее слепки, титанова балка с опорой на мультиюниты (вес балки-2,3 гр.!!!!!), и сегодня поставили. Протез на вч сделали новый

post-16887-0-44041900-1523622794_thumb.jpg

post-16887-0-88597300-1523622806_thumb.jpg

post-16887-0-17309300-1523622820_thumb.jpg

post-16887-0-81573000-1523622848_thumb.jpg

post-16887-0-26429200-1523622866_thumb.jpg

post-16887-0-87216300-1523622894_thumb.jpg

post-16887-0-45892700-1523622923_thumb.jpg

post-16887-0-57919100-1523622946_thumb.jpg

post-16887-0-34683400-1523622965_thumb.jpg

post-16887-0-08727300-1523622981_thumb.jpg

  • Поддерживаю 5
Ссылка на комментарий

8 месяцев назад пациентка обратилась за помощью.Протез на нч жил своей жизнью.Провели планирование, установку 4 имплантатов на нч (ICE 4.2*10-2,4,2*13-2), во фронте прямые , дистальные 30 гр., временные абатменты в базисе,условно сьемный протез от 5-5.1 перебазировка через 3 месяца. Далее слепки, титанова балка с опорой на мультиюниты (вес балки-2,3 гр.!!!!!), и сегодня поставили. Протез на вч сделали новый

 

Гарнитурные зубы крупным планом смотрятся очень гламурно!   :D  :D  :D

  • Поддерживаю 2
Ссылка на комментарий

Гарнитурные зубы крупным планом смотрятся очень гламурно!   :D  :D  :D

Чуть опакового акрила по шейка,чтоб корень))) не пробивал и тогда полный гламур будет))

Ссылка на комментарий

Для публикации сообщений создайте учётную запись или авторизуйтесь

Вы должны быть пользователем, чтобы оставить комментарий

Создать аккаунт

Зарегистрируйте новый аккаунт в нашем сообществе. Это очень просто!

Регистрация нового пользователя

Войти

Уже есть аккаунт? Войти в систему.

Войти
×
×
  • Создать...
Вверх