Перейти к содержанию
Стоматология для всех

Пульсирующая боль в области 33 зуба!


Mars12

Рекомендуемые сообщения

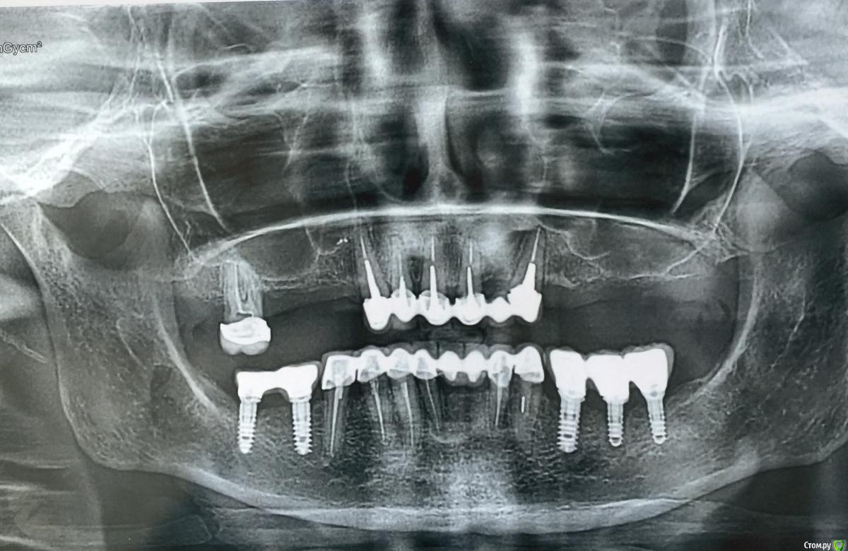
Добрый вечер!

Уважаемые доктора, после установки 34,36,37 имплантатов появилась пульсирующая боль, по результата оптг, (ушла кость)было принято решения удалить 36 имплант,имплант был хорошо интегрирован , воспалительного процесса небыло,после удаления

пульсация сохранилась, может ли быть причиной 33 зуб, где сломан файл,есть ли там кариес?

 

Помогите разобраться, врач причину не находит.

post-54504-0-17713900-1523557668_thumb.jpg

post-54504-0-50347400-1523562772_thumb.jpg

Изменено пользователем Mars12
Ссылка на комментарий

Для публикации сообщений создайте учётную запись или авторизуйтесь

Вы должны быть пользователем, чтобы оставить комментарий

Создать аккаунт

Зарегистрируйте новый аккаунт в нашем сообществе. Это очень просто!

Регистрация нового пользователя

Войти

Уже есть аккаунт? Войти в систему.

Войти
×
×
  • Создать...
Вверх