Dosya Опубликовано 12 апреля, 2018 Поделиться Опубликовано 12 апреля, 2018 Здравствуйте,в 1992 г - удалены две четверки сверху, носила пластинки около года. На нижней челюсти лечение не проводилось.в 2011 - 2012 году были удалены 2 четверки снизу, проведено ортодонтическое лечение: брекеты стояли только на нижней челюсти. В результате сформирован глубокий прикус, появилась рецессия десны на передних нижних зубах, стачиваемость зубов, дефект речи.В 2016 году обратилась к ортодонту с просьбой исправить прикус, чтобы иметь возможность нормально разговаривать. Доктор перенаправила меня к ортопедам для коррекции височно-челюстного сустава с помощью капы. Капу одеваю на ночь уже 2 года. Обещанного выдвижения челюсти и коррекции речи не произошло. Обратилась к ортодонтам повторно. Выбрала 4 ортодонтов по отзывам и получила 4 разных мнения:1. ничего не трогать, иначе, будет хуже.2. хирургическая коррекция - выдвижение нижней челюсти3. коррекция коронками высоты зубов (что не решает мою проблему с речью)и 1 доктор, все-таки, готов исправлять мой прикус брекетами Insignia после пластики десны.Мой вопрос: не выпадут ли передние нижние резцы при установке брекетов из-за недостатка костной ткани на нижней передней десне? Возможно ли в моем случае лечение без оперативного вмешательства? Ссылка на комментарий
red_butler Опубликовано 12 апреля, 2018 Поделиться Опубликовано 12 апреля, 2018 http://forum.stom.ru/topic/4655-patcientam/ Ссылка на комментарий
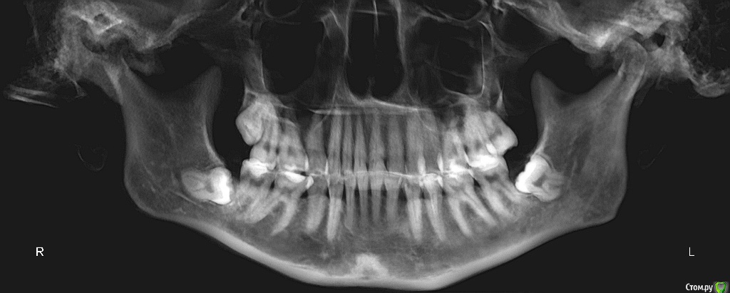
Dosya Опубликовано 12 апреля, 2018 Автор Поделиться Опубликовано 12 апреля, 2018 Спасибо за ссылку. КТ загружены в предыдущем сообщении. Фото прилагаю. 1 Ссылка на комментарий
Dosya Опубликовано 12 апреля, 2018 Автор Поделиться Опубликовано 12 апреля, 2018 Почему-то не хочет грузить остальные файлы Размер такой же, как на предыдущих, даже еще уменьшила... Ссылка на комментарий
red_butler Опубликовано 12 апреля, 2018 Поделиться Опубликовано 12 апреля, 2018 Почему-то не хочет грузить остальные файлы Размер такой же, как на предыдущих, даже еще уменьшила...загрузите фото на radical и вставляйте в сообщения вторую ссылку.И покажите фото рецессий Ссылка на комментарий
Dosya Опубликовано 12 апреля, 2018 Автор Поделиться Опубликовано 12 апреля, 2018 (изменено) http://radikale.ru/uploaded/2018/4/12/aa3902ca09034679cc48b7391189b191-full.jpg.html http://radikale.ru/uploaded/2018/4/12/68ab7beb5f81f185afbe6fe8d5d61811-full.jpg.html http://radikale.ru/uploaded/2018/4/12/58a61be0a15e8dc3829c836f7e8e28ba-full.jpg.html Изменено 12 апреля, 2018 пользователем Dosya Ссылка на комментарий
Dosya Опубликовано 12 апреля, 2018 Автор Поделиться Опубликовано 12 апреля, 2018 (изменено) radikal радикал фото radikal Получилось Посмотрите, пожалуйста. Изменено 12 апреля, 2018 пользователем Dosya Ссылка на комментарий
Dosya Опубликовано 13 апреля, 2018 Автор Поделиться Опубликовано 13 апреля, 2018 Пролистала несколько тем, пациенты ответа врачей так и не дождались... Очень надеялась на помощь....Если врачи ответить не могут, удалите, пожалуйста, мою тему.Спасибо. Ссылка на комментарий
red_butler Опубликовано 13 апреля, 2018 Поделиться Опубликовано 13 апреля, 2018 Пролистала несколько тем, пациенты ответа врачей так и не дождались... Очень надеялась на помощь....Если врачи ответить не могут, удалите, пожалуйста, мою тему.Спасибо.Что же Вы такая нетерпеливая...? Ссылка на комментарий
Monkey Опубликовано 20 апреля, 2018 Поделиться Опубликовано 20 апреля, 2018 Здравствуйте,в 1992 г - удалены две четверки сверху, носила пластинки около года. На нижней челюсти лечение не проводилось.в 2011 - 2012 году были удалены 2 четверки снизу, проведено ортодонтическое лечение: брекеты стояли только на нижней челюсти. В результате сформирован глубокий прикус, появилась рецессия десны на передних нижних зубах, стачиваемость зубов, дефект речи.В 2016 году обратилась к ортодонту с просьбой исправить прикус, чтобы иметь возможность нормально разговаривать. Доктор перенаправила меня к ортопедам для коррекции височно-челюстного сустава с помощью капы. Капу одеваю на ночь уже 2 года. Обещанного выдвижения челюсти и коррекции речи не произошло. Обратилась к ортодонтам повторно. Выбрала 4 ортодонтов по отзывам и получила 4 разных мнения:1. ничего не трогать, иначе, будет хуже.2. хирургическая коррекция - выдвижение нижней челюсти3. коррекция коронками высоты зубов (что не решает мою проблему с речью)и 1 доктор, все-таки, готов исправлять мой прикус брекетами Insignia после пластики десны.Мой вопрос: не выпадут ли передние нижние резцы при установке брекетов из-за недостатка костной ткани на нижней передней десне? Возможно ли в моем случае лечение без оперативного вмешательства? Нужно проводить полное обследование, вполне возможно, что именно ортодонтическое лечение поможет Вам сохранить нижние резцы, поскольку рецессии возникли в результате перегрузки данных зубов. Чтобы эту перегрузку устранить скорее всего потребуется повторная ортодонтия. На счет закрытия рецессий, это вам необходимо ДО ОРТОДОНТИИ проконсультироваться с пародонтологом (обозначив, что планируете ортодонтическое лечение - в идеале, если ортодонт и пародонтолог буду в одной клинике) и решить будут ли рецессии закрываться до предстоящего ортодонтического лечения, либо после. Ссылка на комментарий
Рекомендуемые сообщения