Перейти к содержанию
Стоматология для всех

Боль в 6-ом зубе больше года


Юлия65

Рекомендуемые сообщения

Добрый день! 
История следующая:
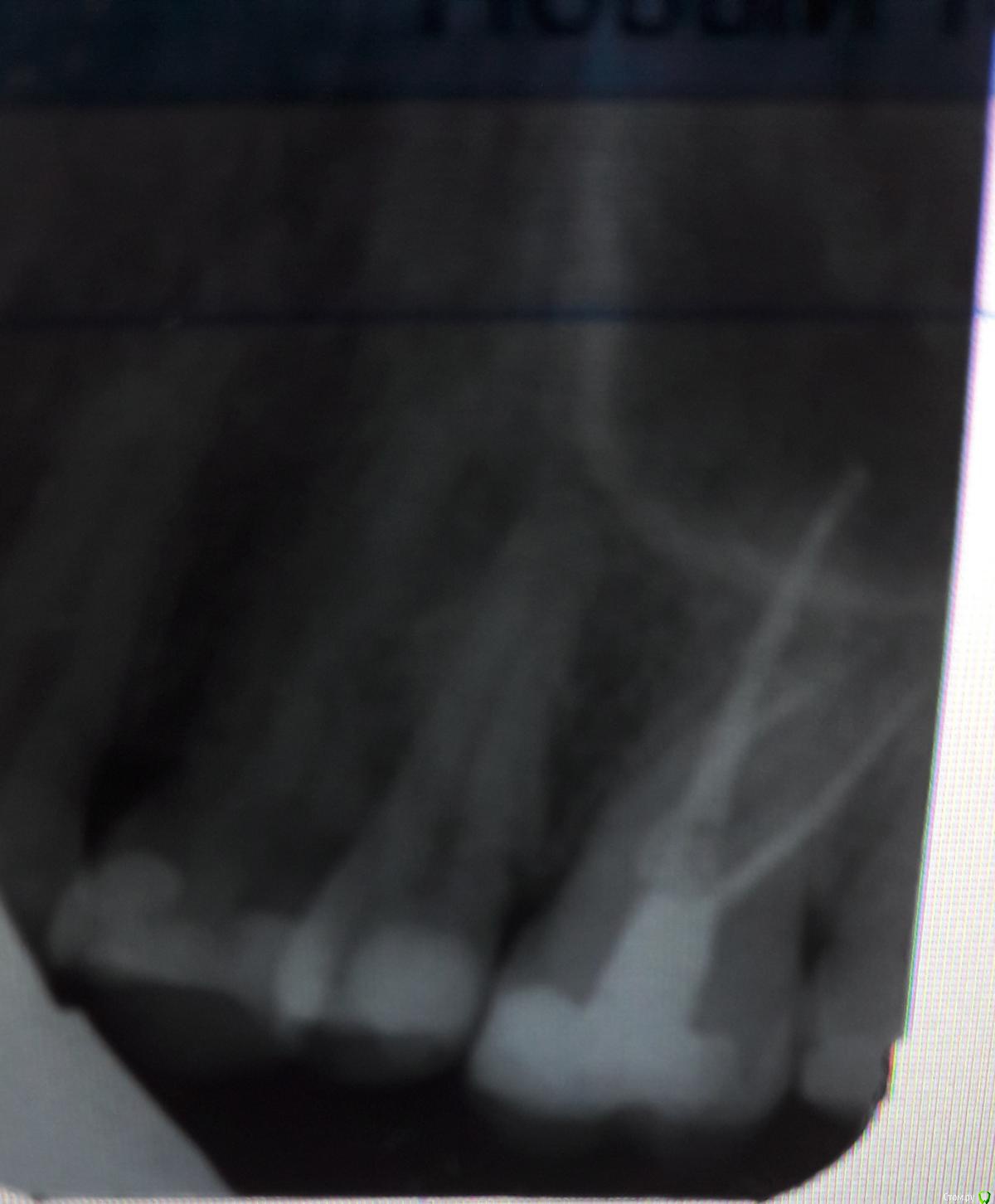
В 2017 году в январе начались непонятные боли с правой стороны в верхней челюсти в области 6, 7 зуба. Ощущение были жгучей боли.
Врач сказал, что будем наблюдать. 
Потом началась иррадация по 2,3,4,5 зубу сверху. 
Отправили на консультацию к стоматологу-неврологу. Сделали снимок, сказали депульпировать 5,6,7 зуб. Я была готова. Но, мой врач сказал, что не видит причины для депульпирования. 
Опухла гангалия справа сверху. 
Назначили анализ крови для выявления вируса герпеса 1,2 типа и цитомегаловируса. По анализу был выявлен цитомегаловирус в IgG форме превышающий нормальные показания в 200 раз. IgM - отрицательный. 
Была назначена противовирусная терапия. Припухлость прошла, а боли нет. 
Был назначен визит к неврологу. Прописали финлепсин. Лечение не дало результатов. Начались токовые боли по всем зубам. В июле по моей просьбе был депульпирован 6 зуб сверху справа. После депульпации врач сказал, что никаких предпосылок к удалению нерва он не видел. Прошла неделя и вроде все стало хорошо. Но... Стал поднывать этот депульпированный зуб. В сентябре мне сделали повторный снимок. Никаких откланений врач не увидел. 
Боль стала усиливаться при накусывании. Врач сказал, что не видит причины боли. Обратилась к другому врачу. Врач предположил наличие 4 канала. Предложил найти его. Депульпировать 5-ку и 8-ку. Я снова вернулась к своему врачу. На что получила ответ, что зуб был лечен с микроскопом и 4-й канал он бы увидел. Дополнительно провел холод пробу-отрицательая. Предложил консультацию врача , который специализируется на дополнительных каналах. Посмотрев моё КТ и постучав по зубу, врач сказала, что проблема в неправильном прикусе ни один зуб не смыкается. Небольшой контакт есть только этой 6-ки, поэтому она все время травмируется. Назначили брекет-систему. 
На данный момент боль в зубе не проходит, постоянно ноет. Во сне не беспокоит. На горячее , холодное не реагирует. Сделала гигиену, неделю практически зуб не беспокоил, сейчас снова болит, сил уже нет терпеть её. Кстати, обезболивающие боль не снимают. Сейчас долечиваю зубы перед постановкой брекетов. Просто очень страшно ставить их, а вдруг будет ещё хуже? Может стоит вскрыть этот зуб снова, положить кальций? 
Буду очень благодарна за ваше мнение!

 

 

https://yadi.sk/d/MGc1txbM3UFKry- КТ

 

https://yadi.sk/d/qr5hf8D63UFKq3- КТ+программа для просмотра

post-54827-0-88724900-1523288213_thumb.jpg

Ссылка на комментарий

Для публикации сообщений создайте учётную запись или авторизуйтесь

Вы должны быть пользователем, чтобы оставить комментарий

Создать аккаунт

Зарегистрируйте новый аккаунт в нашем сообществе. Это очень просто!

Регистрация нового пользователя

Войти

Уже есть аккаунт? Войти в систему.

Войти
×
×
  • Создать...
Вверх