Павел7809 Опубликовано 9 апреля, 2018 Поделиться Опубликовано 9 апреля, 2018 Собственно ситуация такая. Предстоит каким то образом удалить ретенированный клык. Находится в небе, да и еще кривым апексом который торчит в носу. Полгода назад этому же пациенту почти такой же клык я удалил, но там как то все проще было по топографии. Собственно , господа, как и чем? Возможны ли какие то кровотечения носовые и тд. Кто сталкивался? Может как то распилить его со стороны щеки пополам и вытащить.. Ссылка на комментарий
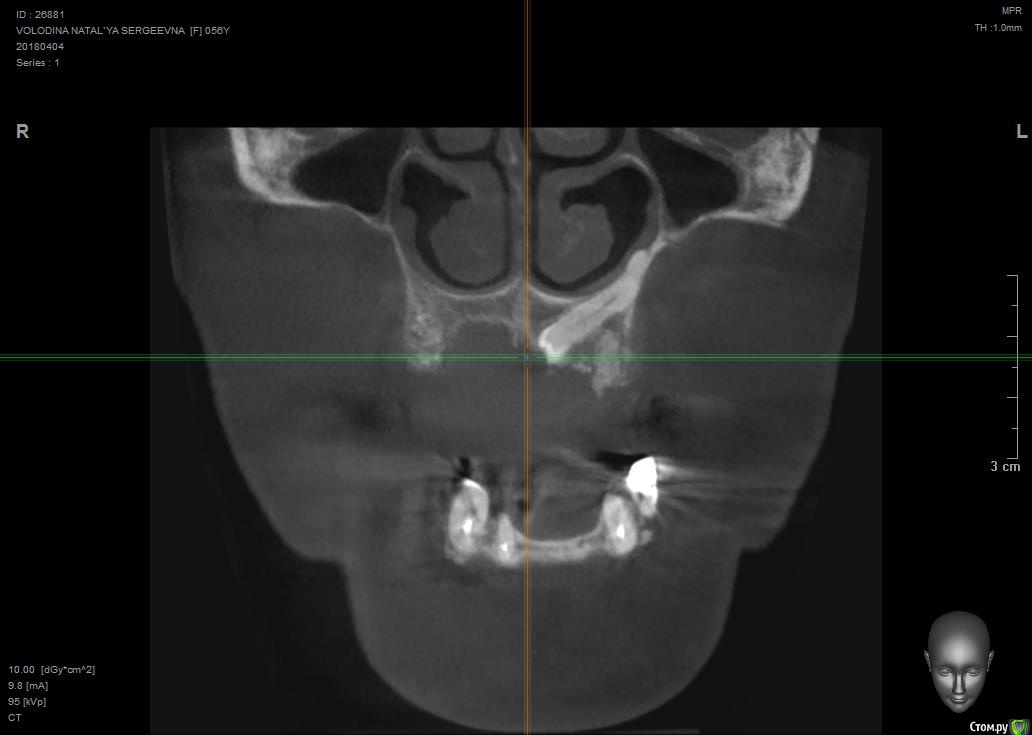
red_butler Опубликовано 9 апреля, 2018 Поделиться Опубликовано 9 апреля, 2018 срезы не информативны Ссылка на комментарий
kramer Опубликовано 9 апреля, 2018 Поделиться Опубликовано 9 апреля, 2018 да, покажите панорамный срез 1 Ссылка на комментарий
Kev Опубликовано 9 апреля, 2018 Поделиться Опубликовано 9 апреля, 2018 Так все тоже самое:Анестезия.Разрез.Декоронация.Удаление корня.Кюретаж.Швы.В нос провалитесь - плохо, но не страшно, будет кровать, тампонада носового хода. Ссылка на комментарий
Павел7809 Опубликовано 9 апреля, 2018 Автор Поделиться Опубликовано 9 апреля, 2018 Может так получше. Орто нет... Ссылка на комментарий
Irouil Опубликовано 9 апреля, 2018 Поделиться Опубликовано 9 апреля, 2018 Ради чего хирургия? 2 Ссылка на комментарий
Павел7809 Опубликовано 9 апреля, 2018 Автор Поделиться Опубликовано 9 апреля, 2018 Ради чего хирургия?Импланты крутить мешает))) Ссылка на комментарий
Павел7809 Опубликовано 9 апреля, 2018 Автор Поделиться Опубликовано 9 апреля, 2018 Так все тоже самое:Анестезия.Разрез.Декоронация.Удаление корня.Кюретаж.Швы.В нос провалитесь - плохо, но не страшно, будет кровать, тампонада носового хода.Я ведь правильно понимаю - сначала надо будет отрезать крючек со стороны щеки, сделав к нему окошко на уровне апексов 6 ки а потом удалить все остальное через небный доступ? Ссылка на комментарий
Борис80 Опубликовано 10 апреля, 2018 Поделиться Опубликовано 10 апреля, 2018 я бы вестибулярно делал, окно в области коронковой части, чуть апикальнее может, коронку отпилил, корень вывихнул Ссылка на комментарий
Рекомендуемые сообщения
Для публикации сообщений создайте учётную запись или авторизуйтесь
Вы должны быть пользователем, чтобы оставить комментарий
Создать аккаунт
Зарегистрируйте новый аккаунт в нашем сообществе. Это очень просто!
Регистрация нового пользователяВойти
Уже есть аккаунт? Войти в систему.
Войти