Great Teacher Опубликовано 7 апреля, 2018 Поделиться Опубликовано 7 апреля, 2018 Уважаемые врачи!Что бы Вы посоветовали сделать в данной ситуации (файл с КТ http://fayloobmennik.cloud/7240065).Была на приеме у двух специалистов: один говорит о том, что справа внизу атрофия костной ткани и возможны только маленькие импланты, но есть опасность близости к нерву, верх - только после эндоскопической гайротомии. Второй специалист утверждает, что внизу справа никаких проблем нет, и можно установить обычные импланты. Меня также очень интересует, возможно ли в данной ситуации поставить скуловые импланты зигома или all-on-three Trefoil с немедленной нагрузкой? С нетерпением жду совета специалистов и надеюсь на Вашу помощь! Ссылка на комментарий
Алексей Опубликовано 8 апреля, 2018 Поделиться Опубликовано 8 апреля, 2018 (изменено) Файлообменник заблокирован, запостите через другой ресурс. Доступ запрещен Доступ к веб-странице заблокирован.http://fayloobmennik.cloud/7240065 Страница находится в списке веб-сайтов с потенциально опасным содержимым. Изменено 8 апреля, 2018 пользователем Алексей 1 Ссылка на комментарий
Great Teacher Опубликовано 8 апреля, 2018 Автор Поделиться Опубликовано 8 апреля, 2018 Здравствуйте!Отправляю исходный документ исследования из центра Пикассоhttps://yadi.sk/d/eDkWCHA-3UAPdR Ссылка на комментарий
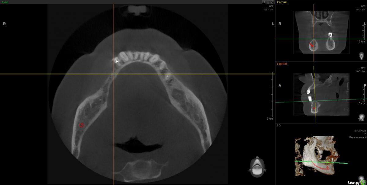
wladdX Опубликовано 9 апреля, 2018 Поделиться Опубликовано 9 апреля, 2018 Несколько скриншотов 2 Ссылка на комментарий
Борис80 Опубликовано 10 апреля, 2018 Поделиться Опубликовано 10 апреля, 2018 для точных ответов конечно же нужен очный осмотр, но я значительно больше поддерживаю мнение второго специалиста, из указанных вами 1 Ссылка на комментарий
Irouil Опубликовано 10 апреля, 2018 Поделиться Опубликовано 10 апреля, 2018 1. Внизу справа можно имплантироваться, мягкотканную пластику провести нужно будет только 2. В пазухе слева живёт грибок, надо удалять независимо от вида имплантации на верхней челюсти 3. Про зигомы надо ещё КТ самих скул 4. С трефоилом знаком только по наслышке, но он используется (вроде бы) только на нижней челюсти, там необходимости его я не вижу. Коллеги, что знакомы с ним лучше, могут поправить. 1 Ссылка на комментарий
Great Teacher Опубликовано 10 апреля, 2018 Автор Поделиться Опубликовано 10 апреля, 2018 Спасибо,уважаемые доктора,в пазухе слева дентин.А мягкотканная пластика проводится одновременно с установлением имплантов? Для установки имплантов внизу справа сколько их нужно и должны ли они быть меньшего размера из-за атрофии костной ткани? А импланты внизу слева- сколько их нужно- один или два? С нетерпением жду ответа. Ссылка на комментарий
Irouil Опубликовано 10 апреля, 2018 Поделиться Опубликовано 10 апреля, 2018 Спасибо,уважаемые доктора,в пазухе слева дентин.Там пломбировочный материал, возможно искусственный дентин, грибковое тело растет на немА мягкотканная пластика проводится одновременно с установлением имплантов?ДаДля установки имплантов внизу справа сколько их нужно и должны ли они быть меньшего размера из-за атрофии костной ткани?Меньшего чем что? Чем Ваша челюсть? безусловно. В остальном, по моему мнению, установить Вам имплантаты с покрывающими необходимости размерами особых препятствий нет. Нужно два имплантата установить. А импланты внизу слева- сколько их нужно- один или два? С нетерпением жду ответа.Зависит от того, сколько и что будет наверху. 1-2 1 Ссылка на комментарий
Great Teacher Опубликовано 10 апреля, 2018 Автор Поделиться Опубликовано 10 апреля, 2018 Спасибо-спасибо, а пазуху справа тоже надо чистить? Ссылка на комментарий
Irouil Опубликовано 10 апреля, 2018 Поделиться Опубликовано 10 апреля, 2018 Спасибо-спасибо, а пазуху справа тоже надо чистить?Зависит от того, что справа планируется. Если в нее ради имплантации лезть - лучше уж и почистить, по моему 1 Ссылка на комментарий
Great Teacher Опубликовано 11 апреля, 2018 Автор Поделиться Опубликовано 11 апреля, 2018 Спасибо очень большое.На ваш взгляд, лучше поэтапно работать? Сначала установка имплантов на нижней челюсти,затем чистка пазух- ожидание 2-3 месяца после эндоскопии или гайротомии,а потом уже верхняя челюсть импланты.Кстати,синус лифтинг при работе с верхней челюстью необходим? Или же вначале эндоскопия пазух,а потом сразу же установка имплантов на обеих челюстях.Общий наркоз не рассматриваю.Что целесообразнее,на ваш взгляд? Ссылка на комментарий
Bier Опубликовано 11 апреля, 2018 Поделиться Опубликовано 11 апреля, 2018 я бы думал про установку по паре имплантатов с каждой стороны на каждой челюсти. Слева внизу не вижу состояния зуба, скриншота нет.Внизу справа можно имплантировать, левую пазуху обязательно чистить.О зигомах или трефойле думать рановато, это радикальные вещи уже. Сначала пазуху почистить, потом поставить имплантаты внизу, потом заниматься верхом. 1 Ссылка на комментарий
Irouil Опубликовано 11 апреля, 2018 Поделиться Опубликовано 11 апреля, 2018 (изменено) Зря Вы наркоз не рассматриваете, левую пазуху без него навряд реально вылечить. Нужно КТ полностью смотреть, у меня его качать времени не было, но с большой долей вероятности надо будет через средний носовой ход идти и соустье расширять (если Вы на эндоскопию решитесь, что, безусловно, было бы оптимально), без наркоза это сделать практически невозможно. Там уже интраоперационно можно было бы решить - синусить и имплантироваться сразу или подождав полтора месяца. Если рассматривать классическую имплантацию (6-8 имплантатов на верхнюю челюсть), то синус лифты нужны с обеих сторон, но, опять таки, тут нужно КТ покрутить, может кто из коллег подскажет. Но есть варианты - все на 4 имплантатах, этот метод позволяет обойти верхнечелюстные пазухи, опять таки может кто из коллег подскажет, я им не обладаю. Что касается сроков, то это лучше со своим имплантологом обсуждать, тут зависит больше от Вашей готовности компоновать хирургические этапы. Я бы все по сторонам (правая/левая или наоборот) сделал с перерывом на 4-6 недель между ними и временными протезами, начиная с эндоскопии левой пазухи (ибо она может отложить имплантацию в этой области), но тут (опять и снова) надо полностью КТ глянуть и в рот тоже посмотреть. Изменено 11 апреля, 2018 пользователем Irouil 1 Ссылка на комментарий
wladdX Опубликовано 11 апреля, 2018 Поделиться Опубликовано 11 апреля, 2018 (изменено) 3-й квадрант Изменено 11 апреля, 2018 пользователем wladdX 1 Ссылка на комментарий
Bier Опубликовано 11 апреля, 2018 Поделиться Опубликовано 11 апреля, 2018 ну да, последний зуб слева я бы удалил. итого 4 имплантата, синуслифтинг на в/челюсти после санации пазухи. 3 Ссылка на комментарий
Great Teacher Опубликовано 11 апреля, 2018 Автор Поделиться Опубликовано 11 апреля, 2018 Добрый день! Искренняя Вам всем благодарность! По поводу удаления последнего зуба слева- это про верхнюю или нижнюю челюсть? Очень заинтересовал метод:все на 4 как возможность обойти пазухи и обойтись без эндоскопической операции,тем более,гаймориты меня не беспокоят.Отпишитесь,плиз,про метод:все на 4.С нетерпением буду ждать Ваших ответов! Ссылка на комментарий
Irouil Опубликовано 11 апреля, 2018 Поделиться Опубликовано 11 апреля, 2018 (изменено) Про нижнюю челюсть, слева. Левую пазуху В ЛЮБОМ СЛУЧАЕ надо оперировать. P.S. я тут так свободно про тотальное протезирование на верхней челюсти говорю, но у Вас же там передние зубы есть, простите, проглядел. Надо их состояние посмотреть, если в порядке то рассмотрите вариант который Олег Юрьевич описал - по два имплантата со стороны и мосты на них. Да, нужны будут синус лифты, но это высоко предсказуемые операции Изменено 11 апреля, 2018 пользователем Irouil Ссылка на комментарий
Bier Опубликовано 11 апреля, 2018 Поделиться Опубликовано 11 апреля, 2018 Добрый день! Искренняя Вам всем благодарность! По поводу удаления последнего зуба слева- это про верхнюю или нижнюю челюсть? Очень заинтересовал метод:все на 4 как возможность обойти пазухи и обойтись без эндоскопической операции,тем более,гаймориты меня не беспокоят.Отпишитесь,плиз,про метод:все на 4.С нетерпением буду ждать Ваших ответов!Для все на 4х придется удалить все оставшиеся зубы. А пазуху в любом случае нужно оперировать. Ссылка на комментарий
Great Teacher Опубликовано 11 апреля, 2018 Автор Поделиться Опубликовано 11 апреля, 2018 Низкий Вам всем поклон за ваши бесценные советы! Направьте,плиз,и по поводу выбора имплантолога и отоларинголога в Москве.Буду с нетерпением ждать ответа. Ссылка на комментарий
red_butler Опубликовано 11 апреля, 2018 Поделиться Опубликовано 11 апреля, 2018 Направьте,плиз,и по поводу выбора имплантолога http://forum.stom.ru/topic/16116-posovetujte-khirurgaimplantologa/ Ссылка на комментарий
Evikrol Опубликовано 11 апреля, 2018 Поделиться Опубликовано 11 апреля, 2018 От куда информация про Трифоил? Интересно. Не все врачи то знают эту методику. Как информация дошла до вас? 1 Ссылка на комментарий
Great Teacher Опубликовано 12 апреля, 2018 Автор Поделиться Опубликовано 12 апреля, 2018 Спасибо! Реальная помощь,так благодарна! Ссылка на комментарий
red_butler Опубликовано 12 апреля, 2018 Поделиться Опубликовано 12 апреля, 2018 От куда информация про Трифоил? Интересно. Не все врачи то знают эту методику. Как информация дошла до вас?тоже интересно Ссылка на комментарий
Great Teacher Опубликовано 12 апреля, 2018 Автор Поделиться Опубликовано 12 апреля, 2018 Спасибо! Реальная помощь,так благода Ссылка на комментарий
Great Teacher Опубликовано 12 апреля, 2018 Автор Поделиться Опубликовано 12 апреля, 2018 Про Трифоил откуда? Ну,я очень любознательная.Сижу в интернете и пытаюсь хоть в чем-то разобраться. 1 Ссылка на комментарий
Рекомендуемые сообщения
Для публикации сообщений создайте учётную запись или авторизуйтесь
Вы должны быть пользователем, чтобы оставить комментарий
Создать аккаунт
Зарегистрируйте новый аккаунт в нашем сообществе. Это очень просто!
Регистрация нового пользователяВойти
Уже есть аккаунт? Войти в систему.
Войти