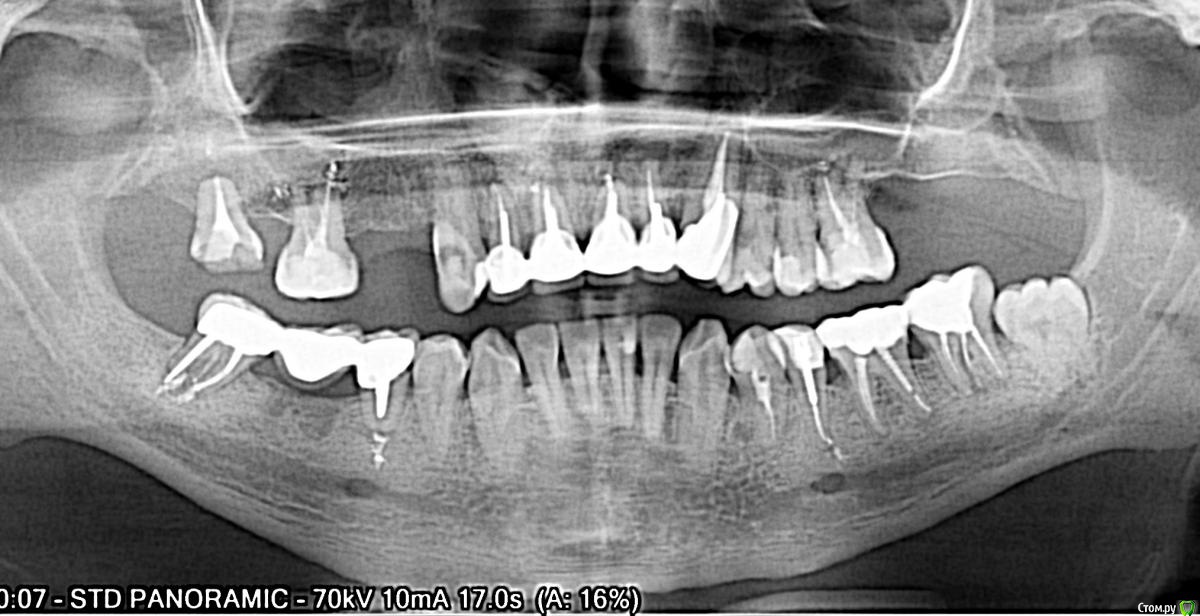
Илья1986 Опубликовано 3 апреля, 2018 Поделиться Опубликовано 3 апреля, 2018 Здравствуйте, подскажите как правильно поступить и подобрать план лечения, а так же хорошего врача. С раннего возраста начались проблемы с зубами, удалили множество нервов из зубов в школьном возрасте,потом зубы стали быстро разрушаться, ставил коронки на разрушенные зубы, их хватало на год или на два.4 года назад откололся передний зуб, в клинике поставили 5 коронок на передние верхние зубы. Перед установкой коронок перелечивал. 2 года назад стали болеть зубы когда простываю, сделал КТ и обнаружились кисты. Мне 31 год и я продолжаю терять зубы с большей скоростью. В мае 2017 года поставили коронки с 45-47, но неделю назад пришлось удалить 45, тк. половина корня рассосалась. Врач одномоментно вкрутил 45,46, но 45 не прижился. Помогите обрести веру в себя и в современную стоматологию, заранее спасибоснимки прилагаю. Ссылка на 3Д снимок https://yadi.sk/d/LVKZiOWR3Tdc39 Ссылка на комментарий
Борис80 Опубликовано 4 апреля, 2018 Поделиться Опубликовано 4 апреля, 2018 ну с зубами и их лечением проблем немало, но это вряд ли зависит от организма, надо просто всё приводить в порядок Ссылка на комментарий
Илья1986 Опубликовано 12 апреля, 2018 Автор Поделиться Опубликовано 12 апреля, 2018 Все же какие рекомендации будут? Все верхние удалить, если склонны к кистообразованию или оставить? нужна ли подсадка кости и синуслифтинг? Ссылка на комментарий
Irouil Опубликовано 12 апреля, 2018 Поделиться Опубликовано 12 апреля, 2018 Нет зубов, склонных к кистообразованию. Лучше всего сделайте скриншоты с КТ, качать всю томограмму навряд кто стане Синус лифты с очень большой долей вероятности потребуются Ссылка на комментарий
Bier Опубликовано 12 апреля, 2018 Поделиться Опубликовано 12 апреля, 2018 с большой долей вероятности зубы придется удалить. Ссылка на комментарий
Илья1986 Опубликовано 18 апреля, 2018 Автор Поделиться Опубликовано 18 апреля, 2018 Еще очень интересует вопрос - делать одномоментную или двухэтапную имплантацию передних зубов? Десна при улыбке не видна. Врач предлагает установку 2х имплантов вместо 4х передних зубов. Будет ли в этом случае уходить десна и кость в тех местах, где нет имплантов? Ссылка на комментарий
Bier Опубликовано 19 апреля, 2018 Поделиться Опубликовано 19 апреля, 2018 правильное решение 2 вместо 4х зубов. Если есть возможность - ставьте одномоментно. Ссылка на комментарий
Рекомендуемые сообщения
Для публикации сообщений создайте учётную запись или авторизуйтесь
Вы должны быть пользователем, чтобы оставить комментарий
Создать аккаунт
Зарегистрируйте новый аккаунт в нашем сообществе. Это очень просто!
Регистрация нового пользователяВойти
Уже есть аккаунт? Войти в систему.
Войти