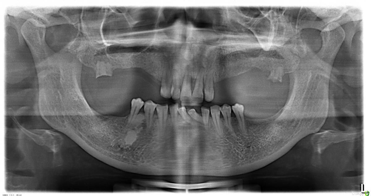
Tatyana_k Опубликовано 1 апреля, 2018 Поделиться Опубликовано 1 апреля, 2018 Пациентка женщина 30 лет нуждается в ортопедическом лечении. На ОПГ определяется рентгеноконтрастное образование на нижней челюсти справа. Уважаемые коллеги выскажите свои соображение по этому поводу. С остальным вроде все понятно. Спасибо заранее. Ссылка на комментарий
krokomot Опубликовано 1 апреля, 2018 Поделиться Опубликовано 1 апреля, 2018 похоже на кортикальную кость нужно кт. Ссылка на комментарий
Astronaft Опубликовано 2 апреля, 2018 Поделиться Опубликовано 2 апреля, 2018 Эностоз, костный островок, компактная остеома. 2 Ссылка на комментарий
Tatyana_k Опубликовано 2 апреля, 2018 Автор Поделиться Опубликовано 2 апреля, 2018 Весьма признательна за ответы. Направляю на КТ. Спасибо! Ссылка на комментарий
red_butler Опубликовано 2 апреля, 2018 Поделиться Опубликовано 2 апреля, 2018 Зачем Кт если в эту область не инсталлирется имплант? Ссылка на комментарий
dr.i Опубликовано 2 апреля, 2018 Поделиться Опубликовано 2 апреля, 2018 А каков будет план лечения при таком случае во время имплантации надо будет убрать этот эностоз или же туда лучше не лезть? Ссылка на комментарий
red_butler Опубликовано 2 апреля, 2018 Поделиться Опубликовано 2 апреля, 2018 А каков будет план лечения при таком случае во время имплантации надо будет убрать этот эностоз или же туда лучше не лезть?если есть возможность то обойти, если нет то ставить в него 2 Ссылка на комментарий
dr.i Опубликовано 2 апреля, 2018 Поделиться Опубликовано 2 апреля, 2018 если есть возможность то обойти, если нет то ставить ставить в негоБлагодарю. Ссылка на комментарий
inSight Опубликовано 2 апреля, 2018 Поделиться Опубликовано 2 апреля, 2018 (изменено) Эностоз? Сорь ответ был Изменено 2 апреля, 2018 пользователем inSight Ссылка на комментарий
masterdent Опубликовано 2 апреля, 2018 Поделиться Опубликовано 2 апреля, 2018 _20180330_5554.jpgПациентка женщина 30 лет нуждается в ортопедическом лечении. На ОПГ определяется рентгеноконтрастное образование на нижней челюсти справа. Уважаемые коллеги выскажите свои соображение по этому поводу. С остальным вроде все понятно. Спасибо заранее. остеома скорее всего. в лечении не нуждается Ссылка на комментарий
Tatyana_k Опубликовано 2 апреля, 2018 Автор Поделиться Опубликовано 2 апреля, 2018 остеома скорее всего. в лечении не нуждаетсяЕсли бы не предстоящее съемное протезирование, вопросов бы не было. В данном случае условия для протезирования и без того неблагоприятные, а тут еще эта типа – остеома? Надо дообследоваться, чтоб потом сюрпризов не было. Спасибо всем за высказанные полезные суждения. С уважением. Ссылка на комментарий
red_butler Опубликовано 2 апреля, 2018 Поделиться Опубликовано 2 апреля, 2018 Если бы не предстоящее съемное протезирование, вопросов бы не было. В данном случае условия для протезирования и без того неблагоприятные, а тут еще эта типа – остеома? Надо дообследоваться, чтоб потом сюрпризов не было. Спасибо всем за высказанные полезные суждения. С уважением. Какая связь съёмника участка остеосклерова???И вообще нафиг съемное в 30 лет??? Ссылка на комментарий
masterdent Опубликовано 2 апреля, 2018 Поделиться Опубликовано 2 апреля, 2018 Если бы не предстоящее съемное протезирование, вопросов бы не было. В данном случае условия для протезирования и без того неблагоприятные, а тут еще эта типа – остеома? Надо дообследоваться, чтоб потом сюрпризов не было. Спасибо всем за высказанные полезные суждения. С уважением. не будет никаких сюрпризов, сделайте кт, посмотрите расположение предполагаемой остеомы-если в губчатом слое - не обращайте внимания, если близко или впритык к компакту - наблюдение в динамике. даже представить не могу каких-либо осложнений съемного протезирования Ссылка на комментарий
Tatyana_k Опубликовано 3 апреля, 2018 Автор Поделиться Опубликовано 3 апреля, 2018 Какая связь съёмника участка остеосклерова???И вообще нафиг съемное в 30 лет???Жалобы пациентки на периодические боли в области этого участка, а также из анамнеза – пациентка вспомнила, что 5-6 лет назад врач обращал внимание на этот участок и речь шла о необходимости маленького хирургического вмешательства, с ее слов, но ничего не делали. Надо выяснить причину дискомфорта. Имплантация дорогое лечение и большинству просто недоступно, поэтому что подешевле. Ссылка на комментарий
Tatyana_k Опубликовано 3 апреля, 2018 Автор Поделиться Опубликовано 3 апреля, 2018 не будет никаких сюрпризов, сделайте кт, посмотрите расположение предполагаемой остеомы-если в губчатом слое - не обращайте внимания, если близко или впритык к компакту - наблюдение в динамике. Так и сделаем. даже представить не могу каких-либо осложнений съемного протезированияМои учителя говорили - съемное протезирование одно из самых сложных протезирований зубов. Возможно ли без осложнений?.. Когда пациент в итоге удовлетворен результатом лечения и его ничего не беспокоит, вопрос об осложнении не стоит. Я этого хочу добиться. Спасибо. Ссылка на комментарий
vse32 Опубликовано 11 апреля, 2018 Поделиться Опубликовано 11 апреля, 2018 (изменено) Коллеги, это тоже остеома/эностоз? На 46. Зуб витальный без симптоматики, снимок делался для определения положения нижних восьмых. Так же есть интересный 48 с 3-мя корнями. И если кто глазастый, в 25 медиально кариес и ли нет? В любом случае сделаю прикусной снимок. Изменено 11 апреля, 2018 пользователем vse32 Ссылка на комментарий
red_butler Опубликовано 11 апреля, 2018 Поделиться Опубликовано 11 апреля, 2018 Коллеги, это тоже остеома/эностоз? На 46. не похоже Ссылка на комментарий
Рекомендуемые сообщения
Для публикации сообщений создайте учётную запись или авторизуйтесь
Вы должны быть пользователем, чтобы оставить комментарий
Создать аккаунт
Зарегистрируйте новый аккаунт в нашем сообществе. Это очень просто!
Регистрация нового пользователяВойти
Уже есть аккаунт? Войти в систему.
Войти