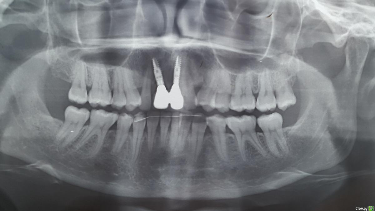
Lady-Kisa Опубликовано 31 марта, 2018 Поделиться Опубликовано 31 марта, 2018 Добрый день! Подскажите пожалуста правильное ли положение у моих имплантов Densply 3,0?Проблема в том, что 2 раза уже ломались абатменты из диоксида циркония.Один врач говорит, что дело в положении имплантов (криво установлены) нужно заново делать имплантацию.Другой говорит решение проблемы - поставить титановые абатменты и ломаться ничего не будет.Боюсь снова выкинуть деньги на ветер. Ссылка на комментарий
колесников Опубликовано 31 марта, 2018 Поделиться Опубликовано 31 марта, 2018 Брекеты только на нижней челюсти были? Ссылка на комментарий
Lady-Kisa Опубликовано 31 марта, 2018 Автор Поделиться Опубликовано 31 марта, 2018 (изменено) И на верхней тоже были. Ретейнер установлен только на нижней челюсти. Капы не рекомендовали носить. Изменено 31 марта, 2018 пользователем Lady-Kisa Ссылка на комментарий
колесников Опубликовано 31 марта, 2018 Поделиться Опубликовано 31 марта, 2018 Есть вопросы к тактике проведённого ортодонтичесеого лечения на верхней челюсти. Ссылка на комментарий
Lady-Kisa Опубликовано 31 марта, 2018 Автор Поделиться Опубликовано 31 марта, 2018 Зубы на верхней челюсти уходят назад по немногу 5 лет назад сняла брекеты. Сейчас от их нагрузки как я понимаю треснул ретейнер снизу есть рецедив. Новый врач ортодонт требует обязательное изготовление кап на обе челюсти после рационального протезирования. Ссылка на комментарий
krokomot Опубликовано 31 марта, 2018 Поделиться Опубликовано 31 марта, 2018 где клыки?, требуется анализ положения зубов на верхней челюсти. Ссылка на комментарий
Lady-Kisa Опубликовано 1 апреля, 2018 Автор Поделиться Опубликовано 1 апреля, 2018 Клыки удалены были ранее лечения брекетами и имплантации.Что нужно для анализа положения- КТ или достаточно фото? Ссылка на комментарий
колесников Опубликовано 1 апреля, 2018 Поделиться Опубликовано 1 апреля, 2018 Кт , диагностические модели и очная консультация ортодонта и ортопеда Ссылка на комментарий
krokomot Опубликовано 1 апреля, 2018 Поделиться Опубликовано 1 апреля, 2018 По снимку я бы предположил, что протребуется повторное ортодонтическое лечение, но вам же не нужны предположения, для достоверной оценки требуется сделать то что написал коллега выше. Ссылка на комментарий
Bier Опубликовано 2 апреля, 2018 Поделиться Опубликовано 2 апреля, 2018 титановые скорее всего не сломаются Ссылка на комментарий
Рекомендуемые сообщения
Для публикации сообщений создайте учётную запись или авторизуйтесь
Вы должны быть пользователем, чтобы оставить комментарий
Создать аккаунт
Зарегистрируйте новый аккаунт в нашем сообществе. Это очень просто!
Регистрация нового пользователяВойти
Уже есть аккаунт? Войти в систему.
Войти