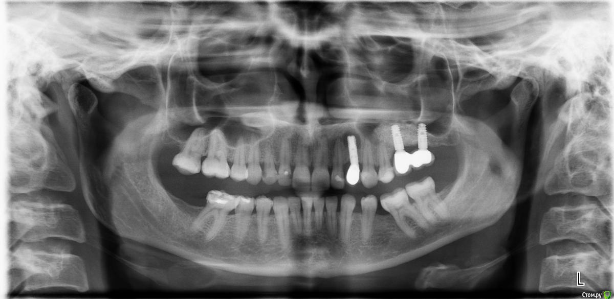
Ю.Ягн Опубликовано 30 марта, 2018 Поделиться Опубликовано 30 марта, 2018 (изменено) Добрый день!Спустя три года после имплантации, начался насморк и заложенность одной ноздри при выявлении причин насморка сделали снимок.Если нужно есть ещё КТ.Очень хочется понять отчего могло такое произойти, ведь есть ещё 2 импланта Изменено 30 марта, 2018 пользователем Ю.Ягн Ссылка на комментарий
Карен Аванесов Опубликовано 30 марта, 2018 Поделиться Опубликовано 30 марта, 2018 А что на снимке увидел ЛОР? Что говорит имплантолог? Срезы КЛКТ нужны. Ссылка на комментарий
Ю.Ягн Опубликовано 30 марта, 2018 Автор Поделиться Опубликовано 30 марта, 2018 А что на снимке увидел ЛОР? Что говорит имплантолог? Срезы КЛКТ нужны.Пазухи чистые, подождите секунду я и орто пока не могу прикрепить, сейчас разберусь и перейду к кт Ссылка на комментарий
Ю.Ягн Опубликовано 30 марта, 2018 Автор Поделиться Опубликовано 30 марта, 2018 (изменено) Имплантолог предполагал, что инфекция пошла от двойки, но связи не было обнаружено.Мне 30 лет2ое детейработаникаких серьезных хронических заболеванийВ декабре болела ангиной (очень тяжело - 2 курса антибиотиков), а феврале ОРВИ. тоже тяжело 6 дней т. 39. 5 потом бронхит и антибиотики.Стала чихать более сказать нечего. Имплантант ставили сразу после удаления шатающегося молочного зуба в 15 году, сейчас имплантант неподвиженКТкт 24.03.2018 юля орто.7z http://fayloobmennik.cloud/7235123 Изменено 30 марта, 2018 пользователем Ю.Ягн Ссылка на комментарий
Bier Опубликовано 31 марта, 2018 Поделиться Опубликовано 31 марта, 2018 так у вас ведь просто может быть риногенный гайморит. Так бывает. Ссылка на комментарий
колесников Опубликовано 31 марта, 2018 Поделиться Опубликовано 31 марта, 2018 Возможно просто длинный имплант,надо кт посмотреть Ссылка на комментарий
Ю.Ягн Опубликовано 31 марта, 2018 Автор Поделиться Опубликовано 31 марта, 2018 А КТ не получается скачать? Ссылка на комментарий
Карен Аванесов Опубликовано 31 марта, 2018 Поделиться Опубликовано 31 марта, 2018 Все же лучше не гадать, а обратиться к лечащему врачу и проверить жизнеспособность всех зубов верхней челюсти слева. И уже по результатам доктор решит что делать. Ссылка на комментарий
колесников Опубликовано 1 апреля, 2018 Поделиться Опубликовано 1 апреля, 2018 Вы разместили не кт,а панорамный снимок сделаный на 3д томографе. Ссылка на комментарий
Ю.Ягн Опубликовано 1 апреля, 2018 Автор Поделиться Опубликовано 1 апреля, 2018 (изменено) Меня уже прооперировали, подняли дену вычистили размягченную кость, за имплант было не зайти, поэтому разрезали небо, вычистили там, имплант и после этого был абсолютно неподвижен, положили "специальную белую тряпочку" зашили небо, со стороны губы насыпали Био Ос, на снимке после кость стала выглядеть идеально))) Теперь ждемссс.... Но врач не может сказать почему так случилось, что со стороны десны все идеально, пазухи чистые, вариант что три года назад занесли инфекцию во время имплантации и только сейчас она проявилась - практически невероятен, никакой связи с двойкой тоже не увидели. Поэтому я предполагала, что вы сможете предположить варианты, а я их скажу врачу и вместе подумаем, правда он мне уже рекомендовал обратиться к терапевту и провести диспансеризацию ))) У меня этот имплант фирмы Ankylos, а дальние Astra Tesh, беспокоюсь, вдруг у меня непереносимость - аллергия именно на этот имплант и все муки которые я сейчас переношу будут впустую... Изменено 1 апреля, 2018 пользователем Ю.Ягн Ссылка на комментарий
Ю.Ягн Опубликовано 1 апреля, 2018 Автор Поделиться Опубликовано 1 апреля, 2018 Вы разместили не кт,а панорамный снимок сделаный на 3д томографе.Вот ссылка кт 24.03.2018 юля орто.7z Ссылка на комментарий
колесников Опубликовано 1 апреля, 2018 Поделиться Опубликовано 1 апреля, 2018 Там в описании даже значится ОРТО. Это панорамный снимок,не кт Ссылка на комментарий
Ю.Ягн Опубликовано 1 апреля, 2018 Автор Поделиться Опубликовано 1 апреля, 2018 Там в описании даже значится ОРТО. Это панорамный снимок,не ктНо там же в начале написано КТ? Да я не должна была писать ОРТО, но мне так понятнее. Там КТ! Ссылка на комментарий
Bier Опубликовано 2 апреля, 2018 Поделиться Опубликовано 2 апреля, 2018 Эта проблема там давно, возникла еще при установке, другим имплантатам не страшно. До конца этиология таких процессов не раскрыта. Возможно перегрев кости или ее излишнее сдавление во время установки. Ссылка на комментарий
Ю.Ягн Опубликовано 2 апреля, 2018 Автор Поделиться Опубликовано 2 апреля, 2018 Эта проблема там давно, возникла еще при установке, другим имплантатам не страшно. До конца этиология таких процессов не раскрыта. Возможно перегрев кости или ее излишнее сдавление во время установки.Спасибо большое за мнение! Ссылка на комментарий
Рекомендуемые сообщения
Для публикации сообщений создайте учётную запись или авторизуйтесь
Вы должны быть пользователем, чтобы оставить комментарий
Создать аккаунт
Зарегистрируйте новый аккаунт в нашем сообществе. Это очень просто!
Регистрация нового пользователяВойти
Уже есть аккаунт? Войти в систему.
Войти