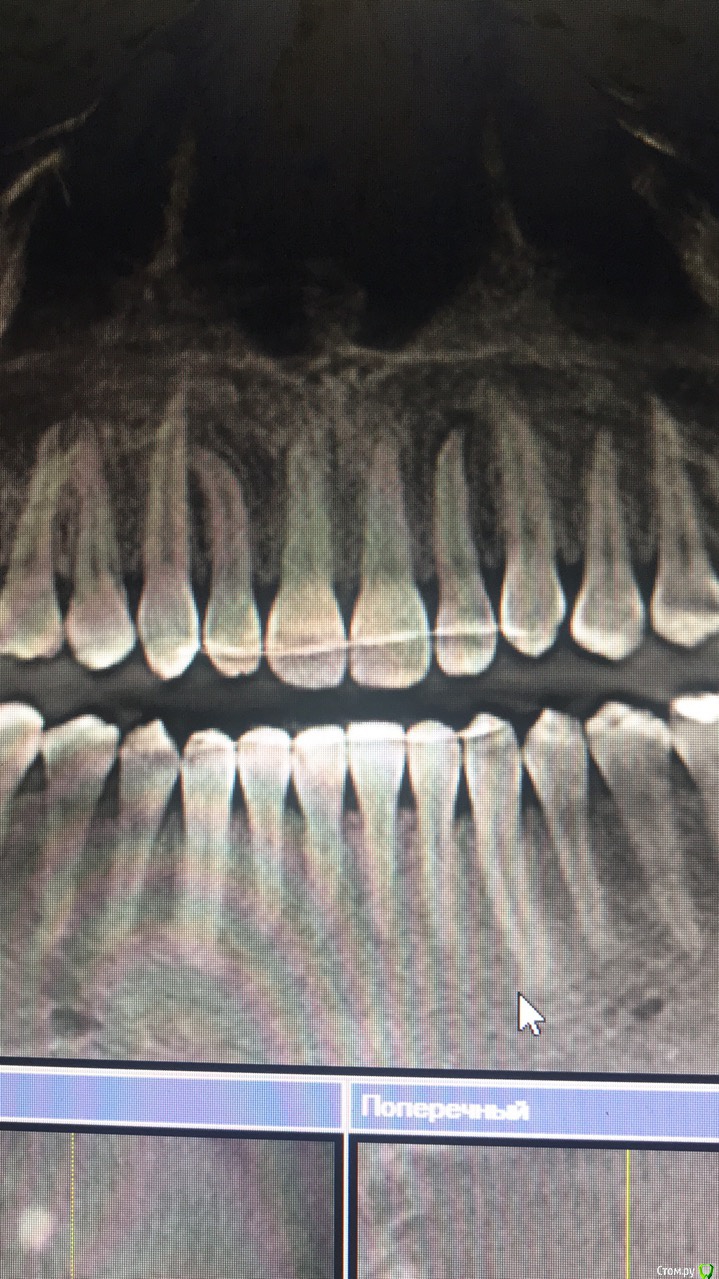
figboass Опубликовано 30 марта, 2018 Поделиться Опубликовано 30 марта, 2018 (изменено) Зуб 2.2, не лечен, никак не беспокоит , на Rg периодонтит. Месяц назад ушиб 1.1 был . Из -за этого? Что делать ? Изменено 30 марта, 2018 пользователем figboass Ссылка на комментарий
St. Опубликовано 30 марта, 2018 Поделиться Опубликовано 30 марта, 2018 На всякий случай проверить температурными пробами действительно ли нерв умер. 99% что да.А так стандартное лечение канала.Что касается причины вариантов несколько - травма, трещина, ортодонтия Ссылка на комментарий
Паращук Роман Опубликовано 30 марта, 2018 Поделиться Опубликовано 30 марта, 2018 Зуб 2.2, не лечен, никак не беспокоит , на Rg периодонтит. Месяц назад ушиб 1.1 был . Из -за этого? Что делать ?проверить термопробами на предмет живой ли,далее по ситуации. Ссылка на комментарий
figboass Опубликовано 1 апреля, 2018 Автор Поделиться Опубликовано 1 апреля, 2018 живой , реагируетчто далее?)) Ссылка на комментарий
Паращук Роман Опубликовано 1 апреля, 2018 Поделиться Опубликовано 1 апреля, 2018 живой , реагируетчто далее?))как проверяли и на что реагирует? Ссылка на комментарий
dentikl Опубликовано 2 апреля, 2018 Поделиться Опубликовано 2 апреля, 2018 живой , реагируетчто далее?))сделать кт Ссылка на комментарий
Рекомендуемые сообщения
Для публикации сообщений создайте учётную запись или авторизуйтесь
Вы должны быть пользователем, чтобы оставить комментарий
Создать аккаунт
Зарегистрируйте новый аккаунт в нашем сообществе. Это очень просто!
Регистрация нового пользователяВойти
Уже есть аккаунт? Войти в систему.
Войти