Nick-ev Опубликовано 30 марта, 2018 Поделиться Опубликовано 30 марта, 2018 (изменено) В 30 лет начал лечение и прохожу его уже 4 года, последние пару лет у меня создается впечатление,что я ношу брекеты как украшение... Ситуация следующая, был мезиальный прикус, который за пару лет удалось изменить на правильный, после чего стало ясно, что места мало и необходимо удалить левый зуб мудрости на нижней челюсти.После удаления, немного корректировали ширину верхних зубов, а тем временем нижние зубы сильно сместились на свободное после удаления зуба мудрости место и возникла новая проблема, появился блок на правом зубе мудрости! В итоге было решено удалить и его... Далее, т.к. справа появилось место, было решено смещать нижние зубы и выставить их по центру чтобы я наконец смог нормально закрыть рот(( и тут началось, прошло два года, а зубы ни на сантиметр не сместились. Отсюда у меня вопрос, как происходит смещение зубов относительно центра? Возможно я не понимаю физику процесса, но я не ношу резинки натянутые от нижних к верхним зубов, а лишь цепочку или пружинку (от клыка до последнего коренного зуба) которые не дают появляться щелям между зубами. Брекет с клыка постоянно отламывается, вероятно потому, что нагрузка слишком велика, сначала лопалась цепочка, поставили пружинку оторвался брекет. В итоге я отлично вижу в зеркале, что зубы продолжают смещаться влево (противоположную от нужной сторону) нижние резцы даже наклонились... п.с.Я читал правила форума и знаю насчет снимков, но в данный момент не могу сделать ни одного снимка т.к. живу в деревне! Изменено 30 марта, 2018 пользователем Nick-ev Ссылка на комментарий
Kazankov.Egor Опубликовано 30 марта, 2018 Поделиться Опубликовано 30 марта, 2018 Механика перемещения центральной линии очень вариативна, зависит от причин, нужно смотреть фото/снимки (оптг хотя бы)/гипсовые модели. Ссылка на комментарий
red_butler Опубликовано 30 марта, 2018 Поделиться Опубликовано 30 марта, 2018 Нет снимков, нет темы... Ссылка на комментарий
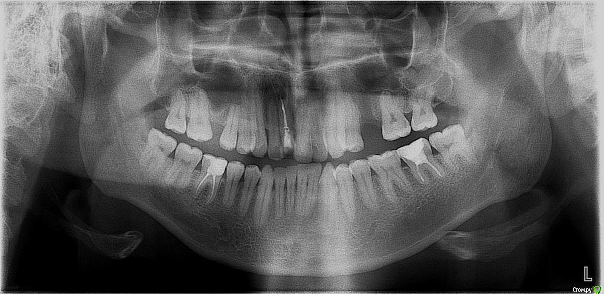
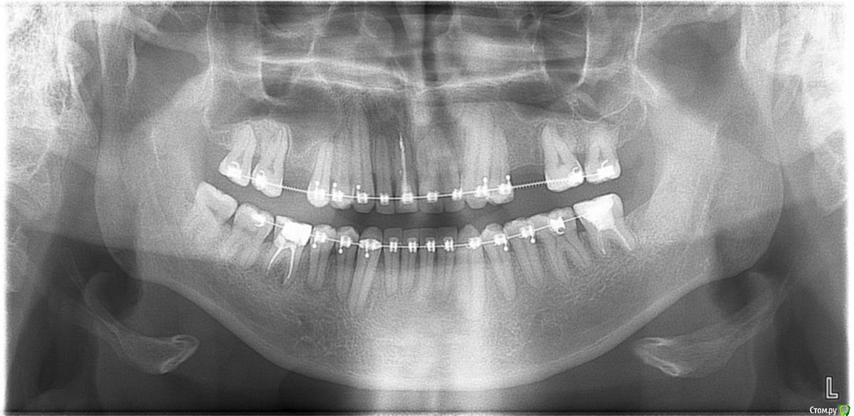
Nick-ev Опубликовано 31 марта, 2018 Автор Поделиться Опубликовано 31 марта, 2018 нужно смотреть фото/снимки Единственное что нашел май 2016 года, как раз удален левый зуб мудрости и зубы начали уходить в его сторону. а это что было до брекетов октябрь 2013 года... Ссылка на комментарий
red_butler Опубликовано 31 марта, 2018 Поделиться Опубликовано 31 марта, 2018 http://forum.stom.ru/topic/4655-patcientam/ Ссылка на комментарий
Nick-ev Опубликовано 5 апреля, 2018 Автор Поделиться Опубликовано 5 апреля, 2018 В общем помощи я не дождусь, все ясно. Ссылка на комментарий
red_butler Опубликовано 5 апреля, 2018 Поделиться Опубликовано 5 апреля, 2018 В общем помощи я не дождусь, все ясно.Вы правила раздела прочитали??? Ссылка на комментарий
Nick-ev Опубликовано 5 апреля, 2018 Автор Поделиться Опубликовано 5 апреля, 2018 Вы правила раздела прочитали???ну нет у меня сейчас возможности сделать фото, как Вам еще объяснить. все что есть под рукой это спутниковый интернет... Ссылка на комментарий
red_butler Опубликовано 5 апреля, 2018 Поделиться Опубликовано 5 апреля, 2018 ну нет у меня сейчас возможности сделать фото, как Вам еще объяснить. все что есть под рукой это спутниковый интернет...ок, тема закрыта до появления объективных данных, когда будете готовы напишите мне в личку, открою тему Ссылка на комментарий
Рекомендуемые сообщения