Перейти к содержанию
Стоматология для всех

Рекомендуемые сообщения

Здравствуйте.

 

Пишу подробно. Мне 18 лет, я молодая студентка, но - у меня всегда были проблемы с зубами. Все началось с моей боязни стоматологов, из-за которых я несколько лет не посещала стоматологический кабинет, и родители тоже не могут сильно похвастаться здоровыми зубами. Однако мой молодой возраст и наличие таких проблем сильно давит.

 

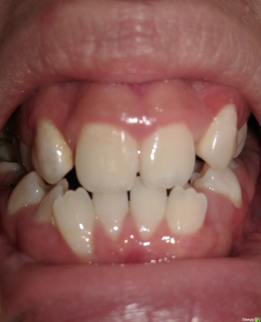
У меня искривленные зубы, о чем мне сообщили стоматологи. Кроме того, они добавили, что все лечимо пластинками для расширения челюсти (сзади верхних передних зубов есть еще два, которым нужно место), а после - брекетами для выравнивания зубов. Сколько бы я ни говорила о гингивите и ощущении 'сползания' десен, они уверяли, что у меня здоровые десна, мучает только гингивит на определенных зубах, необходимо пить таблетки (аскорутин) от кровотечения.

 

Все началось с того, что в один день мне показалось, словно зубы стали визуально длиннее. Конечно, я бросила тревогу. Забыла о своем страхе стоматологов, побежала в городскую стоматологию - мне сказали, что все в порядке, надо просто начать лечение зубов, в которое входит удаление некоторых, пластинка и брекеты. Попытались успокоить тем, что я 'слишком молодая'.

 

Я пошла ко второму стоматологу, уже в клинике. Стоматолог, которого называют специалистом, заверил, что мои десны почти здоровые, во всем виновата только скученность зубов, если заняться лечением у ортодонта - можно полностью решить проблемы с зубами. Расширить челюсть, поставить зубы на место. Я немного успокоилась.

 

На следующий день я отправилась в, опять же, городскую поликлинику. Другой стоматолог осмотрела мои зубы; на мои жалобы по поводу гингивита и удлинению в визуальном плане зубов отмахнулась тем, что это 'у многих подростков так' и записала завтра на прием к ортодонту. Возможно, завтра и сделают панорамный снимок.

 

Жалобы взялись все же не просто так. Иногда у меня бывает дискомфорт на деснах верхней челюсти, а именно над двумя передними зубами.

 

Маленькое подмечание - у меня была плохая гигиена, а именно неправильный способ чистки зубов. Сейчас я исправляюсь.

 

Конечно, я понимаю - лечение обязательно. Но вопрос - насколько у меня серьезно? Возможна ли рецессия зубов или все действительно улучшится, если я пойду к ортодонту, а не к пародонтологу? Влияет ли на все скученность?

 

Прикрепляю файлы зубов, которые больше всего меня сейчас беспокоят.

 

Очень надеюсь на ответы. Заранее спасибо!

post-54704-0-35990200-1522136297_thumb.jpg

post-54704-0-48614300-1522136587_thumb.jpg

post-54704-0-10121400-1522136650_thumb.jpg

Изменено пользователем kfoep
Ссылка на комментарий

Панорамный снимок будет завтра, подкину сразу же.
 
Хотела спросить еще. У меня на том месте, где два кривых зуба, есть твердая, очень твердая шишка. Не знаю, сколько она у меня - то ли недавно вышла, то ли давно. Я думала, что это возникло из-за неправильного расположения зубов, поэтому старалась о ней не думать. Если сильно надавить - не болит. Никакой красноты тоже нет. Если положить палец прямо под зуб, то можно запросто ее прочувствовать. Правильно ли мне казалось или тут может быть причина посерьезнее?

 

Стоматологи (я проходила осмотр и консультацию у четырех), когда проверяли десну, даже про нее не спрашивали. Не замечали. А мне думается, что зря не рассказала.

post-54704-0-21487400-1522156980_thumb.jpg

post-54704-0-47257400-1522157301_thumb.jpg

Ссылка на комментарий

Для публикации сообщений создайте учётную запись или авторизуйтесь

Вы должны быть пользователем, чтобы оставить комментарий

Создать аккаунт

Зарегистрируйте новый аккаунт в нашем сообществе. Это очень просто!

Регистрация нового пользователя

Войти

Уже есть аккаунт? Войти в систему.

Войти
×
×
  • Создать...
Вверх