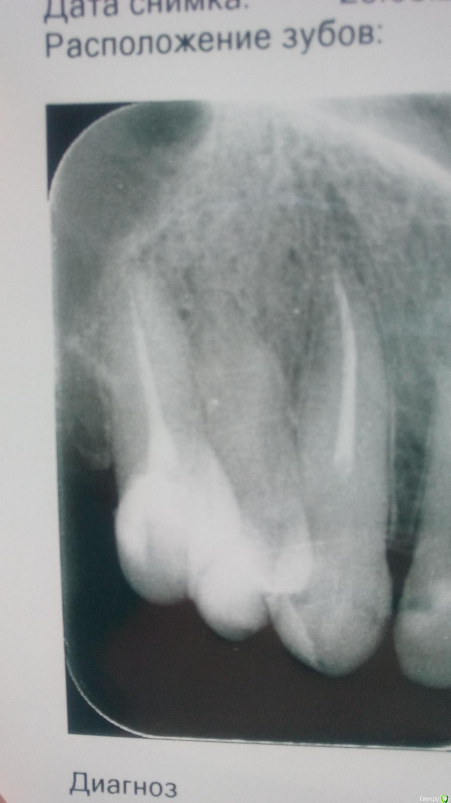
На7На Опубликовано 25 марта, 2018 Поделиться Опубликовано 25 марта, 2018 Здравствуете. Месяц назад была проведена операция цистэктомия, удаление 6, 7, 8 зубов. Киста была 28 мм х 23 мм. Перфорации не было как сказали, в пазуху не заходили. Киста ее прогибала. Зажило все хорошо. Швы сняли. Но больно нажимать на 5 зуб. Даже если языком сверху нажать больно. Не говоря уже что-то откусить. Сегодня сделала снимок. Зуб пролечен хорошо. Я не знаю что делать. Ссылка на комментарий
Irouil Опубликовано 25 марта, 2018 Поделиться Опубликовано 25 марта, 2018 (изменено) Все снимки в один день делали? Когда зуб подвергался лечению? Судя по первым, зуб нуждается в перелечивании. Чтобы говорить с максимальной уверенностью надо бы КТ сделать Изменено 25 марта, 2018 пользователем Irouil Ссылка на комментарий
На7На Опубликовано 25 марта, 2018 Автор Поделиться Опубликовано 25 марта, 2018 Все снимки в один день делали? Судя по первым, зуб нуждается в перелечивании. Чтобы говорить с максимальной уверенностью надо бы КТ сделатьДа снимки все сегодня. Перелечивать 5? Сегодня врач смотрел по снимку сказал хорошо пролечен, но он может давить на пазуху. Может поэтому боль? Ссылка на комментарий
Irouil Опубликовано 25 марта, 2018 Поделиться Опубликовано 25 марта, 2018 Да снимки все сегодня. Перелечивать 5? Сегодня врач смотрел по снимку сказал хорошо пролечен, но он может давить на пазуху. Может поэтому боль?Может, но месяц боли после операции - долговато. Реабилитация там должна была уже пройти. К сожалению плоскостные снимки обладают ограниченной информативностью. В такой ситуации как у Вас их можно интерпретировать двояко: не будь у Вас жалоб на боли, я бы тоже сказал, что наверное все хорошо. Я, все же, рекомендую 3д КЛ КТ. Верхнюю челюсть и верхнечелюстные пазухи, 12х8.5 хватит. Ссылка на комментарий
На7На Опубликовано 25 марта, 2018 Автор Поделиться Опубликовано 25 марта, 2018 Может, но месяц боли после операции - долговато. Реабилитация там должна была уже пройти. К сожалению плоскостные снимки обладают ограниченной информативностью. В такой ситуации как у Вас их можно интерпретировать двояко: не будь у Вас жалоб на боли, я бы тоже сказал, что наверное все хорошо. Я, все же, рекомендую 3д КЛ КТ. Верхнюю челюсть и верхнечелюстные пазухи, 12х8.5 хватит.Мне еще сегодня сказали что между пазухой и десной нет кости. Что ее надо закрывать . Надо ли это делать? Там же нарастает железистая ткань, заполняет эту пустоту. Ссылка на комментарий
Irouil Опубликовано 26 марта, 2018 Поделиться Опубликовано 26 марта, 2018 Мне еще сегодня сказали что между пазухой и десной нет кости. Что ее надо закрывать . Надо ли это делать? Если планируете имплантироваться дальше на месте удаленного зуба - надо. Ссылка на комментарий
Рекомендуемые сообщения
Для публикации сообщений создайте учётную запись или авторизуйтесь
Вы должны быть пользователем, чтобы оставить комментарий
Создать аккаунт
Зарегистрируйте новый аккаунт в нашем сообществе. Это очень просто!
Регистрация нового пользователяВойти
Уже есть аккаунт? Войти в систему.
Войти