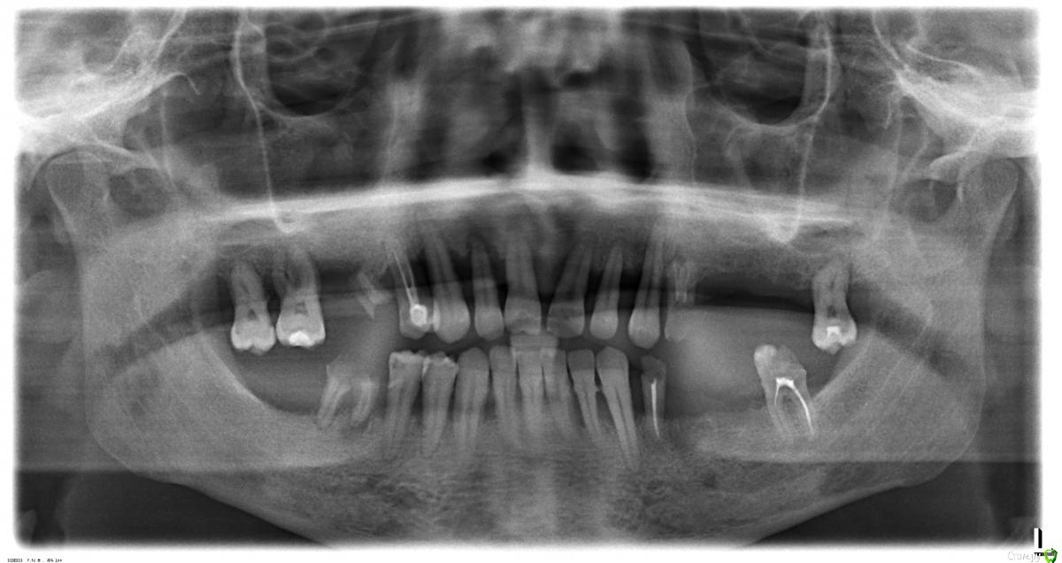
Пациент1 Опубликовано 24 марта, 2018 Поделиться Опубликовано 24 марта, 2018 Всем привет.Есть значительная подвижность верхних зубов, подскажите пожалуйста, какие возможны варианты в данном случае? Ссылка на комментарий
Irouil Опубликовано 24 марта, 2018 Поделиться Опубликовано 24 марта, 2018 Удалять все зубы и тотальное протезирование проводить. От 4 до 8 имплантатов на челюсть. 2 Ссылка на комментарий
red_butler Опубликовано 24 марта, 2018 Поделиться Опубликовано 24 марта, 2018 Вариантов много. Другой вопрос что хочется и можется ... 1 Ссылка на комментарий
Irouil Опубликовано 24 марта, 2018 Поделиться Опубликовано 24 марта, 2018 Вариантов много. Другой вопрос что хочется и можется ...Да, согласен, я радикальненько сказал. Можно перефразировать: мое предложение кажется мне самым рациональным с точки зрения средне и долгосрочных перспектив. Но, мое мнение - не приговор. Ссылка на комментарий
red_butler Опубликовано 25 марта, 2018 Поделиться Опубликовано 25 марта, 2018 http://forum.stom.ru/user/54688-patcient1/, Вы сами чего хотите? Ссылка на комментарий
Пациент1 Опубликовано 25 марта, 2018 Автор Поделиться Опубликовано 25 марта, 2018 Суть вопроса - выбор оптимального варианта, нужно зубы сделать.1. Имплантация с одномоментной нагрузкой(за 1 неделю) или классическая(удалить-пауза несколько месяцев-имплантация-пауза несколько месяцев-протезирование)?2. Центральная зубы снизу оставить, по краям два моста, каждый на двух имплантах?3. Марка имплантов с хорошей приживаемостью?4. Необходимость синус-лифтингов сверху? Ссылка на комментарий
red_butler Опубликовано 26 марта, 2018 Поделиться Опубликовано 26 марта, 2018 Суть вопроса - выбор оптимального варианта, нужно зубы сделать.1. Имплантация с одномоментной нагрузкой(за 1 неделю) или классическая(удалить-пауза несколько месяцев-имплантация-пауза несколько месяцев-протезирование)?2. Центральная зубы снизу оставить, по краям два моста, каждый на двух имплантах?3. Марка имплантов с хорошей приживаемостью?4. Необходимость синус-лифтингов сверху? Я имел ввиду какую конструкцию Вы бы хотели, съемную, частично съемную, не съемную. Какие сроки рассматриваете. Ссылка на комментарий
Пациент1 Опубликовано 26 марта, 2018 Автор Поделиться Опубликовано 26 марта, 2018 Конструкцию не съемную, сроки чем быстрее тем лучше, но в приоритете чтобы правильно и оптимально, минимизировав всевозможные риски. Ссылка на комментарий
red_butler Опубликовано 27 марта, 2018 Поделиться Опубликовано 27 марта, 2018 Конструкцию не съемную, сроки чем быстрее тем лучше, но в приоритете чтобы правильно и оптимально, минимизировав всевозможные риски.тогда удаление всех зубов с одномоментной имплантацией 4 - 6 имплантов на каждую челюсть Ссылка на комментарий
Пациент1 Опубликовано 28 марта, 2018 Автор Поделиться Опубликовано 28 марта, 2018 В чем тогда плюсы классической имплантации?и что насчет рисков при одномоментной имплантации в случае имеющегося воспалении десен? Ссылка на комментарий
Irouil Опубликовано 28 марта, 2018 Поделиться Опубликовано 28 марта, 2018 (изменено) Это слишком общие вопросы. Чтобы говорить о возможности имплантации вообще надо бы КТ смотреть. Одномоментная имплантация сокращает сроки реабилитации, помогает сохранить поддерживающие имплантат ткани для надёжности долгосрочных прогнозов на протезирование (в сочетании с другими методами консервации этих тканей), позволяет получить несъёмные протезы с первых дней после удаления зубов (в большинстве случаев). Преимущества отсроченной имплантации в основном состоят в простоте ее выполнения с технической точки зрения, что повышает ее предсказуемость. Чтобы подробнее высказаться нужны бы фотографии во рту и та самая Компьютерная Томограмма о которой я писал выше Изменено 28 марта, 2018 пользователем Irouil 1 Ссылка на комментарий
Пациент1 Опубликовано 5 апреля, 2018 Автор Поделиться Опубликовано 5 апреля, 2018 КТ есть, а что значит сохранение поддерживающих имплантат тканей для надёжности долгосрочных прогнозов на протезирование?То что сразу зубы и сроки меньше это конечно существенные плюсы, но и минусы, в индивидуальных случаях, похоже тоже существенные, иначе бы на классическую имплантацию вообще бы не было желающих?То что не все доктора рекомендуют одномоментную имплантацию, это чаще всего из-за того что им неохота связываться с большими рисками в лечении при сложных случаях или все-таки при сложных случаях, некоторым категорически не подходит одномоментная имплантация?Плюс понятно что одномоментная имплантация выгоднее для доктора в плане дохода за более короткий срок, что возможно, тоже имеет дополнительный вес в чашу весов при рекомендациях в выборе лечения... Ссылка на комментарий
Irouil Опубликовано 5 апреля, 2018 Поделиться Опубликовано 5 апреля, 2018 (изменено) Долгосрочный прогноз зависит от способности челюсти удерживать имплантат и способности десны защищать имплантат и кость, удерживающую его. Одномоментная имплантация позволяет частично или полностью изолировать рану (с помощью временного протезирования, индивидуальных формирователей десны или мягкотканной трансплантации) после удаления зуба, ускорив ее заживление. Рана заживает быстрее->больше тканей сохраняются->лучше прогноз на будущее. Минусы, в индивидуальных случаях, безусловно существенные. Имплантат должен крепко сидеть в челюсти пока не заживёт рана, но после удаления зуба рана обычно больше, чем сам имплантат, и обеспечить его неподвижность сложнее. Кроме того, костная рана заживает от костных стенок, если одной и более стенок нет, то имплантат перекрывает собой направление для роста костной ткани в одном или более направлениях, затрудняя его. Для избежания пустых советов и нужно смотреть КТ. Доктор доктору рознь. Не ищите методику, ищите врача. Кто-то владеет неплохо одномоментной имплантацией и добивается с ней хороших результатов, другой довёл до совершенства протокол отсроченной имплантации и способен надёжно и уверенно привести Вас к получению желаемого. Если результат Вам подходит, то не важно как его достигнет Ваш хирург. Главное обсудить свои ожидания и способность врача их исполнить на консультации. Финансовые аспекты лечения тут не принято обсуждать, но подумайте вот о чем: отсроченная имплантация позволяет врачу заработать на консервации лунки и последующей имплантации выполнив обе процедуры в суммарно более короткие сроки, чем проведя все одномоментно, по крайней мере в моем случае. При одномоментной имплантации некоторые доктора удаляют зубы бесплатно, хотя нормальное удаление может стоить до 4-5 тысяч рублей и составлять 20% стоимости от всего хирургического вмешательства. Наверное, все же, дело не в деньгах? Изменено 5 апреля, 2018 пользователем Irouil Ссылка на комментарий
Пациент1 Опубликовано 6 апреля, 2018 Автор Поделиться Опубликовано 6 апреля, 2018 "Обсудить способность врача"...Объем работы не маленький, поэтому врачей заявляющих о собственной неспособности практически нет...Кто-то из врачей, которые с знакомы с ситуацией после консультации, советует одномоментную, а кто-то классическую, везде есть и плюсы и минусы, поэтому и очень сложно определиться...Можно конечно наверно сходить и на 10 консультаций к разным врачам и выбрать способ типа методом голосования, но будет ли наиболее популярная у врачей методика, оптимальным выбором в конкретно моей клинической ситуации?Общий прайс на одномоментную ниже (отсутствие стоимости синусов и съемных временных), и все проходит намного быстрее, но подсознательно, очень напрягает простая житейская истина про быстрее и дешевле... а русский менталитет тянется к быстрым срокам и более низкой стоимости... но здравый смысл говорит, не спеши! ... тупик вообщем...Врачам то насоветовать проще простого что угодно, так как особо конкретной ответственности за свою работу у них нет...у меня у знакомого, импланты повыпадали, ему сказали ну не прижились и вроде по условиям могут еще раз сделать, но он уже сам не хочет к этому мастеру...Вообщем хотелось бы конечно после лечения не возвращаться к этому вопросу повторно... 2 Ссылка на комментарий
Irouil Опубликовано 6 апреля, 2018 Поделиться Опубликовано 6 апреля, 2018 Без комментариев Ссылка на комментарий
red_butler Опубликовано 6 апреля, 2018 Поделиться Опубликовано 6 апреля, 2018 Врачам то насоветовать проще простого что угодно, так как особо конкретной ответственности за свою работу у них нет... тогда не понятен смысл вашей темы 1 Ссылка на комментарий
Пациент1 Опубликовано 7 апреля, 2018 Автор Поделиться Опубликовано 7 апреля, 2018 Смысл темы, в получении компетентной информации от незаинтересованных источников, о плюсах и минусах обоих методов имплантации.Так и не понял,большинство специалистов тут за классический метод или одномоментный?"Врачам то насоветовать проще простого что угодно" - имелось ввиду, заинтересованным врачам, которые имеют цель склонить к более удобному(прибыльному) для них самих способу лечения.? Вопрос практикам, по вашему опыту, имплант лучше приживается:1.когда его с большим усилием довкручивают на финише в десну (после установки, имплант люфта практически не имеет)2.когда большое усилие вообще не применяют, а вкручивают не превышая определенный момент (после установки имплант имеет незначительный люфт в десне) Ссылка на комментарий
red_butler Опубликовано 7 апреля, 2018 Поделиться Опубликовано 7 апреля, 2018 А с чего Вы взяли что мы не заинтересованные... Ссылка на комментарий
Пациент1 Опубликовано 7 апреля, 2018 Автор Поделиться Опубликовано 7 апреля, 2018 Расстояние имеет значение, из моего города никто не отвечает в данной теме Ссылка на комментарий
Irouil Опубликовано 7 апреля, 2018 Поделиться Опубликовано 7 апреля, 2018 Как бьются незаинтересованность и ответственность в Вашей голове мне, честно сказать, непонятно. Ссылка на комментарий
Пациент1 Опубликовано 7 апреля, 2018 Автор Поделиться Опубликовано 7 апреля, 2018 Врач к которому я пришел на консультацию в реале - заинтересованный финансово.Врач в другом городе через интернет - незаинтересованный финансово и может сказать про реальные минусы.Что не так?Предположим, Вы составляете план лечения с учетом ситуации клиента, говорите пациенту что все будет ок, у меня большой опыт, импланты приживутся если следовать моей методике, оплачивайте и приступаем... потом оказывается что импланты не прижились... готовы ли Вы будете вернуть деньги в полном объеме? Думаю что нет, это и называется отсутствие ответственности. Доктора, большая просьба, ответьте пожалуйста на вопрос.Имплант лучше приживается:1.когда его с большим усилием довкручивают на финише в десну (после установки, имплант люфта практически не имеет)2.когда большое усилие вообще не применяют, а вкручивают не превышая определенный момент (после установки имплант имеет незначительный люфт в десне) Ссылка на комментарий
dok1 Опубликовано 8 апреля, 2018 Поделиться Опубликовано 8 апреля, 2018 Врач к которому вы пришли видит ситуацию целиком. Мы же всей картины не видим. Бывает в процессе спланированной заранее операции тактика меняется кординально. Со всеми финансово-временными последствиями. Неужели вы первым делом подумаете, что вас обманывают? Врач никоим образом не должен нести ответственность за уровень проблемы, с которой вы пришли. Ссылка на комментарий
Пациент1 Опубликовано 8 апреля, 2018 Автор Поделиться Опубликовано 8 апреля, 2018 Врач к которому вы пришли видит ситуацию целиком. Мы же всей картины не видим. Бывает в процессе спланированной заранее операции тактика меняется кординально. Со всеми финансово-временными последствиями. Неужели вы первым делом подумаете, что вас обманывают? Врач никоим образом не должен нести ответственность за уровень проблемы, с которой вы пришли.Как тогда можно объяснить, что, из двух врачей с большим опытом, один рекомендует одномоментную а другой классическую, причем оба, при желании, могут сделать и то и другое, вот как быть в такой ситуации клиенту? Ссылка на комментарий
Irouil Опубликовано 8 апреля, 2018 Поделиться Опубликовано 8 апреля, 2018 Клиенту надо стать пациентом. Станет сильно проще. Ссылка на комментарий
dok1 Опубликовано 8 апреля, 2018 Поделиться Опубликовано 8 апреля, 2018 Как тогда можно объяснить, что, из двух врачей с большим опытом, один рекомендует одномоментную а другой классическую, причем оба, при желании, могут сделать и то и другое, вот как быть в такой ситуации клиенту?Уровень навыков. Философия. Не ищите проблему там, где её нет. 1 Ссылка на комментарий
Рекомендуемые сообщения
Для публикации сообщений создайте учётную запись или авторизуйтесь
Вы должны быть пользователем, чтобы оставить комментарий
Создать аккаунт
Зарегистрируйте новый аккаунт в нашем сообществе. Это очень просто!
Регистрация нового пользователяВойти
Уже есть аккаунт? Войти в систему.
Войти