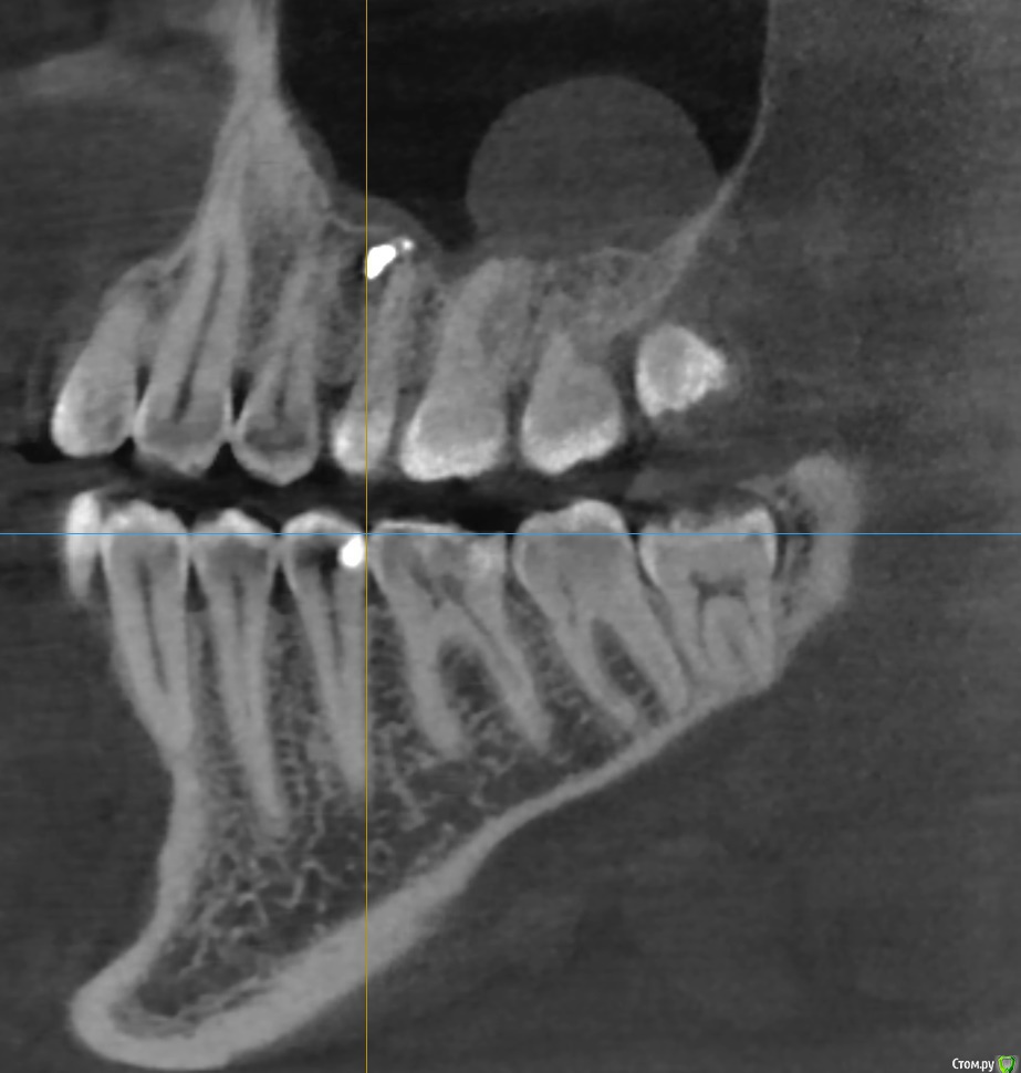
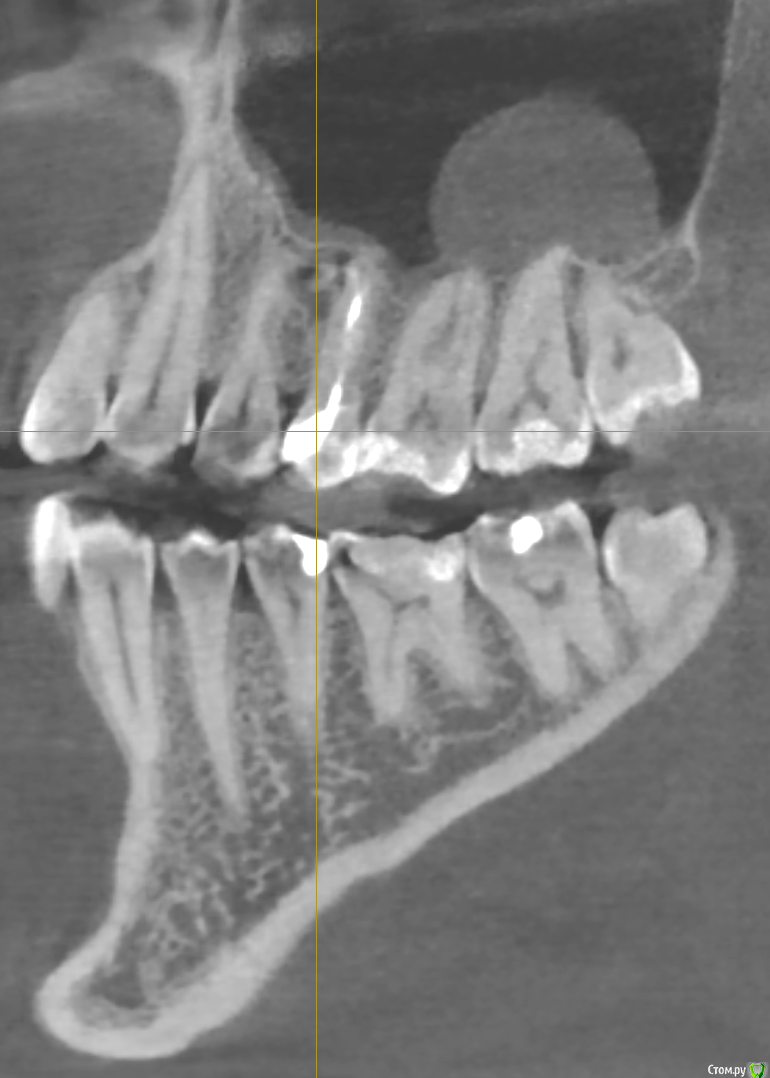
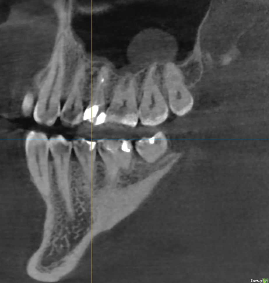
tmporaries Опубликовано 22 марта, 2018 Поделиться Опубликовано 22 марта, 2018 Стоматолог отослал к ЛОРу, мол, зубы тут не при чём.ЛОР говорит, что показаний к удалению кисты нет, идите обратно к стоматологу, лечите зубы, вызвавщие кисту.Кому верить и что делать? Ссылка на комментарий
Irouil Опубликовано 22 марта, 2018 Поделиться Опубликовано 22 марта, 2018 Она до обнаружения как-то Вас беспокоила? Проверьте на витальность 6-ой и 7-ой зубы. Есть специальный тест - электро-одонто-метрия. Ссылка на комментарий
Bier Опубликовано 23 марта, 2018 Поделиться Опубликовано 23 марта, 2018 Если зубы витальные, то подобные образования в лечении не нуждаются. Определите живые ли зубы особенно 7й. Если да, то живите себе спокойно, если нет, то нужно пролечить каналы. У вас есть какая то проблема в области 4-5 зубов, срез КТ стоит нечетко и подробнее не ответить. Ссылка на комментарий
tmporaries Опубликовано 23 марта, 2018 Автор Поделиться Опубликовано 23 марта, 2018 Спасибо за ответы.Киста никак не беспокоит, обнаружили её случайно на КТ.5-ый зуб сверху был перелечен год назад. Ссылка на комментарий
Рекомендуемые сообщения
Для публикации сообщений создайте учётную запись или авторизуйтесь
Вы должны быть пользователем, чтобы оставить комментарий
Создать аккаунт
Зарегистрируйте новый аккаунт в нашем сообществе. Это очень просто!
Регистрация нового пользователяВойти
Уже есть аккаунт? Войти в систему.
Войти