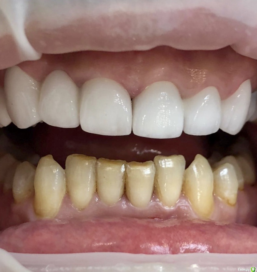
evgeny156 Опубликовано 22 марта, 2018 Поделиться Опубликовано 22 марта, 2018 Доброго времени суток! Верх протезирован металлокерамикой. Прошло примерно 3 месяца. Как видно, между единичками нет сосочка, вырастет ли он, и сколько может потребоваться на это времени? Ссылка на комментарий
Борис80 Опубликовано 23 марта, 2018 Поделиться Опубликовано 23 марта, 2018 Сосочек у Вас есть, может чуть меньшего объема, чем хотелось бы. Рентген есть этого участка? Ссылка на комментарий
evgeny156 Опубликовано 23 марта, 2018 Автор Поделиться Опубликовано 23 марта, 2018 Сосочек у Вас есть, может чуть меньшего объема, чем хотелось бы. Рентген есть этого участка?После протезирования нет, сделать? Ссылка на комментарий
red_butler Опубликовано 23 марта, 2018 Поделиться Опубликовано 23 марта, 2018 Да Ссылка на комментарий
Рекомендуемые сообщения
Для публикации сообщений создайте учётную запись или авторизуйтесь
Вы должны быть пользователем, чтобы оставить комментарий
Создать аккаунт
Зарегистрируйте новый аккаунт в нашем сообществе. Это очень просто!
Регистрация нового пользователяВойти
Уже есть аккаунт? Войти в систему.
Войти