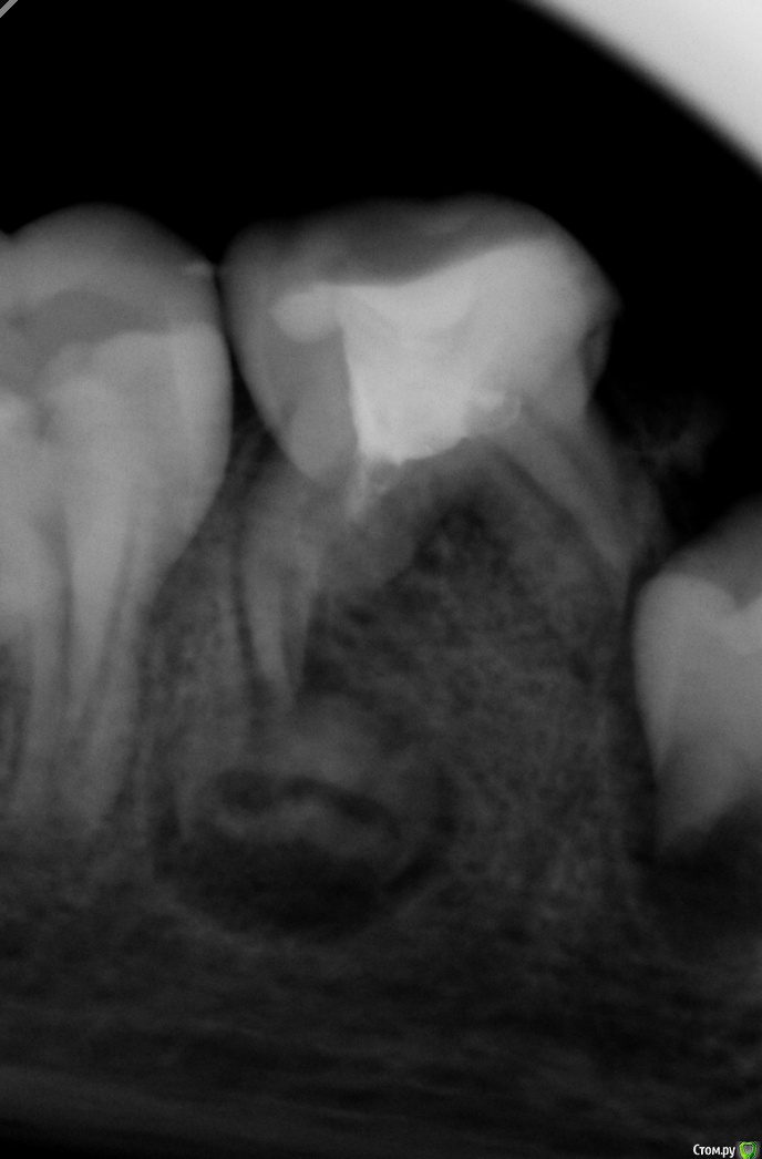
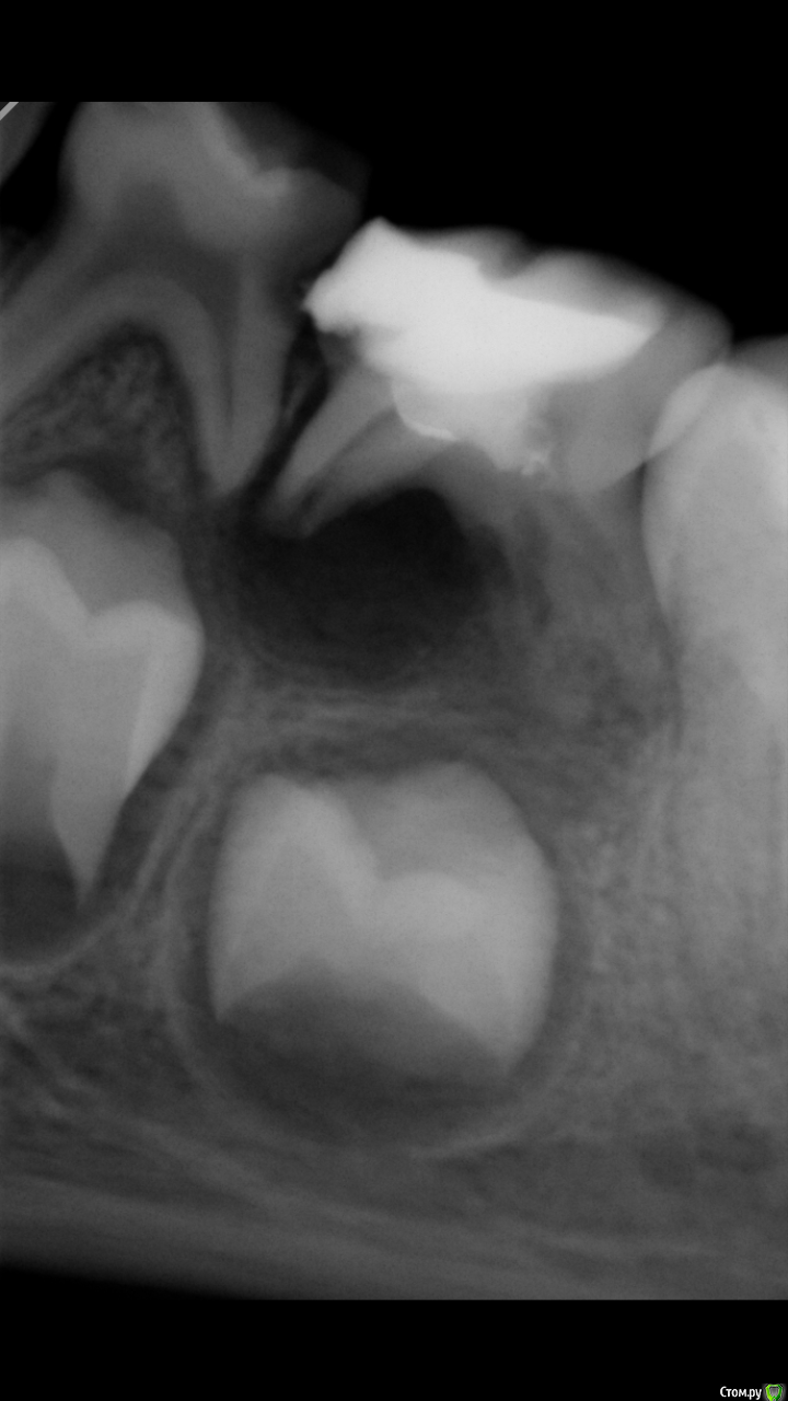
Усина Опубликовано 22 марта, 2018 Поделиться Опубликовано 22 марта, 2018 (изменено) Коллеги, подкажите как часто сталкивались с иволюцией зачатка постоянного зуба?тактика ведения таких больных?девочка 7,5 лет пришла с радиксом 8.4 зуба, на диагностическом снимке обнаружено инволюция зачатка постоянного зуба(8.5-лечен рф- методом)надо ли удалять 8.5? Изменено 22 марта, 2018 пользователем Усина Ссылка на комментарий
Kazankov.Egor Опубликовано 27 марта, 2018 Поделиться Опубликовано 27 марта, 2018 Не причина ли здесь в инфекции от молочного зуба? Ссылка на комментарий
ЕленаВалерьевна Опубликовано 2 апреля, 2018 Поделиться Опубликовано 2 апреля, 2018 Коллеги, подкажите как часто сталкивались с иволюцией зачатка постоянного зуба?тактика ведения таких больных?девочка 7,5 лет пришла с радиксом 8.4 зуба, на диагностическом снимке обнаружено инволюция зачатка постоянного зуба(8.5-лечен рф- методом)надо ли удалять 8.5? я бы пока не удаляла, но понаблюдала. это двухмерный снимок, может там всё не так плохо как изначально кажется. Ссылка на комментарий
Усина Опубликовано 3 апреля, 2018 Автор Поделиться Опубликовано 3 апреля, 2018 Спасибо за совет!!!сравните развитие 4.4 и 4.5- мне кажется, мало вероятно, что 4.5 сформируется!на курсах А.Гецман рассказвала о инволюции зачатка постоянного зуба, думаю здесь именно это и происходит Ссылка на комментарий
сирена Опубликовано 3 апреля, 2018 Поделиться Опубликовано 3 апреля, 2018 А снимок контрлатерального зуба не делали? Ссылка на комментарий
Усина Опубликовано 3 апреля, 2018 Автор Поделиться Опубликовано 3 апреля, 2018 Нет, но завтра сделаю) Ссылка на комментарий
сирена Опубликовано 8 апреля, 2018 Поделиться Опубликовано 8 апреля, 2018 Что ж ей так не повезло то с пятёрками ((На мой взгляд,надо попробовать перелечить 85 и всё таки понаблюдать.Но я не детский стоматолог! Ссылка на комментарий
Рекомендуемые сообщения
Для публикации сообщений создайте учётную запись или авторизуйтесь
Вы должны быть пользователем, чтобы оставить комментарий
Создать аккаунт
Зарегистрируйте новый аккаунт в нашем сообществе. Это очень просто!
Регистрация нового пользователяВойти
Уже есть аккаунт? Войти в систему.
Войти