Витторио Орлионе Опубликовано 20 марта, 2018 Поделиться Опубликовано 20 марта, 2018 Месяц назад поменял формирователи на временные коронки, десна была в норме,при посадке она сильно побледнела поэтому сделел разрез. вчера пришла на слепки под абатменты, а там всё кровит и на коронках много налёта, всё под десной. Помогите разобраться что пошло не так и как этого не допустить Ссылка на комментарий
Freelancer1981 Опубликовано 20 марта, 2018 Поделиться Опубликовано 20 марта, 2018 фото вышлите как выглядят коронки субгингивально.мне не нравится я что места под сосчек нет,все залито пластмассой 1 Ссылка на комментарий
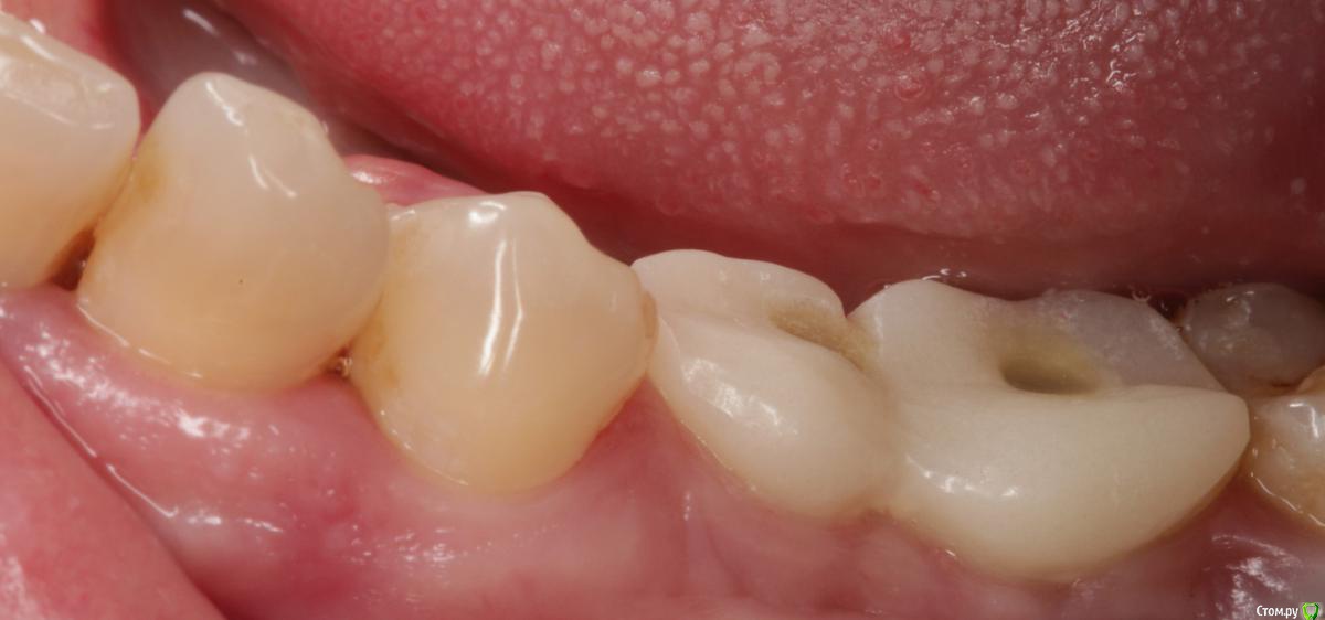
Витторио Орлионе Опубликовано 20 марта, 2018 Автор Поделиться Опубликовано 20 марта, 2018 фото вышлите как выглядят коронки субгингивально.мне не нравится я что места под сосчек нет,все залиток сожалению фото нет, это весь фотоматериалтут ещё и коронка 3.5 не досела, десна наплыла, но это уже вторично Ссылка на комментарий
chervoncevdaniil Опубликовано 20 марта, 2018 Поделиться Опубликовано 20 марта, 2018 Мне кажется профиль поддесневой некорректный плюс раз вы говорите коронка недосела-отсюда и такая картина Ссылка на комментарий
Pavel-Pskov Опубликовано 20 марта, 2018 Поделиться Опубликовано 20 марта, 2018 Похоже абатмент недосажен. Ссылка на комментарий
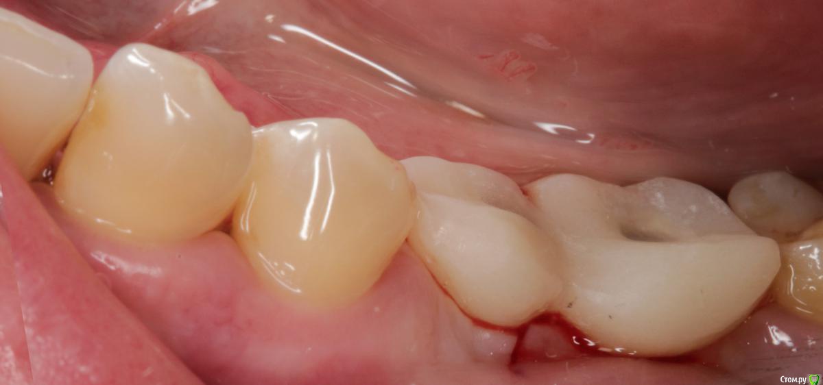
Витторио Орлионе Опубликовано 5 апреля, 2018 Автор Поделиться Опубликовано 5 апреля, 2018 вот так это выглядет. На этот раз всё досело но вся равно много налёта и десна кровила Ссылка на комментарий
RuStom Опубликовано 5 апреля, 2018 Поделиться Опубликовано 5 апреля, 2018 я бы отполировал поддесневую частьь... Ссылка на комментарий
Витторио Орлионе Опубликовано 5 апреля, 2018 Автор Поделиться Опубликовано 5 апреля, 2018 (изменено) заполировывал...прям до блеска и через две недели вот опять Изменено 5 апреля, 2018 пользователем Витторио Орлионе Ссылка на комментарий
Freelancer1981 Опубликовано 8 апреля, 2018 Поделиться Опубликовано 8 апреля, 2018 вот так это выглядет. На этот раз всё досело но вся равно много налёта и десна кровилаКак по мне-это жесть..неудивительно если под "этим"все кровит.Вы сами коронки делали? 1 Ссылка на комментарий
chervoncevdaniil Опубликовано 8 апреля, 2018 Поделиться Опубликовано 8 апреля, 2018 Верните на место формирователи,пусть десна после таких временных коронок заживет,а потом сразу снимайте оттиск и пусть техник на модели чуть гравирнет десну и сделает индивидуальный абатмент.Заниматься возней с временными коронками в боковом отделе особого смысла нет,уже многие врачи об этом говорят,абатмент у вас все равно сядет и проблем никаких не будет,а вот от таких времянок проблемы могут появиться 1 Ссылка на комментарий
dok1 Опубликовано 8 апреля, 2018 Поделиться Опубликовано 8 апреля, 2018 С платформы иипланта расширение широковато на мой взгляд. Шейку бы сформировать ка рюмочку. 3 Ссылка на комментарий
chervoncevdaniil Опубликовано 8 апреля, 2018 Поделиться Опубликовано 8 апреля, 2018 С платформы иипланта расширение широковато на мой взгляд. Шейку бы сформировать ка рюмочку.Точно Ссылка на комментарий
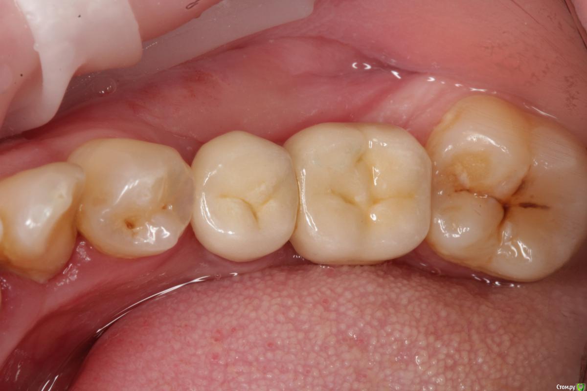
Витторио Орлионе Опубликовано 25 мая, 2018 Автор Поделиться Опубликовано 25 мая, 2018 Снял временные коронки, неделю проходила с формирователями, пока изготавливались абатменты. после примерки абатментов временные коронки зафиксировал обратно, но на этот раз посколупливал с них весь композит, остлась только лабораторная пластмасса и произошло чудо, через две недели десна стала под ними такой какой и должна была быть и ни крупинки налёта. Закончен этот случай, выкладываю результат для объективной критики, буду всем очень признателен. Ссылка на комментарий
DoctorT Опубликовано 25 мая, 2018 Поделиться Опубликовано 25 мая, 2018 Снял временные коронки, неделю проходила с формирователями, пока изготавливались абатменты. после примерки абатментов временные коронки зафиксировал обратно, но на этот раз посколупливал с них весь композит, остлась только лабораторная пластмасса и произошло чудо, через две недели десна стала под ними такой какой и должна была быть и ни крупинки налёта. Закончен этот случай, выкладываю результат для объективной критики, буду всем очень признателен.Я бы такие коронки вернул технику, неужели нельзя, хотя бы, элементарное прилегание края коронки к абатменту сделать? Ссылка на комментарий
Дмитрий Л. Опубликовано 25 мая, 2018 Поделиться Опубликовано 25 мая, 2018 Снял временные коронки, неделю проходила с формирователями, пока изготавливались абатменты. после примерки абатментов временные коронки зафиксировал обратно, но на этот раз посколупливал с них весь композит, остлась только лабораторная пластмасса и произошло чудо, через две недели десна стала под ними такой какой и должна была быть и ни крупинки налёта. Закончен этот случай, выкладываю результат для объективной критики, буду всем очень признателен.Спасибо за кейс.Что за композит? Ссылка на комментарий
Витторио Орлионе Опубликовано 25 мая, 2018 Автор Поделиться Опубликовано 25 мая, 2018 filtek flow. От техника коронки пришли вообще убогие без контура прорезывания и придавливали десну,обточил и местами показалось что узко вышло черезчур, долил композитом и заполировал, и судя по всему на нём и стал собираться налёт Ссылка на комментарий
Nazim_NV86 Опубликовано 27 мая, 2018 Поделиться Опубликовано 27 мая, 2018 С платформы иипланта расширение широковато на мой взгляд. Шейку бы сформировать ка рюмочку.Вот на этот пост обратите хоть внимание. Ссылка на комментарий
Dr.Smile91 Опубликовано 28 мая, 2018 Поделиться Опубликовано 28 мая, 2018 Снял временные коронки, неделю проходила с формирователями, пока изготавливались абатменты. после примерки абатментов временные коронки зафиксировал обратно, но на этот раз посколупливал с них весь композит, остлась только лабораторная пластмасса и произошло чудо, через две недели десна стала под ними такой какой и должна была быть и ни крупинки налёта. Закончен этот случай, выкладываю результат для объективной критики, буду всем очень признателен.ИМХО через 2-3 года начнутся проблемы с ДМ- трансгингивальная часть коронок выполнена некорректно, да и сама техничка в этом месте оставляет желать лучшего... Ссылка на комментарий
Витторио Орлионе Опубликовано 1 июня, 2018 Автор Поделиться Опубликовано 1 июня, 2018 ИМХО через 2-3 года начнутся проблемы с ДМ- трансгингивальная часть коронок выполнена некорректно, да и сама техничка в этом месте оставляет желать лучшего...вы имеете ввиду всё таки широкие абатменты или какие-то другие моменты, а то так интригующе написали слово некорректно, расшифруйте пожалуйста что вы имели ввиду Ссылка на комментарий
Рекомендуемые сообщения
Для публикации сообщений создайте учётную запись или авторизуйтесь
Вы должны быть пользователем, чтобы оставить комментарий
Создать аккаунт
Зарегистрируйте новый аккаунт в нашем сообществе. Это очень просто!
Регистрация нового пользователяВойти
Уже есть аккаунт? Войти в систему.
Войти