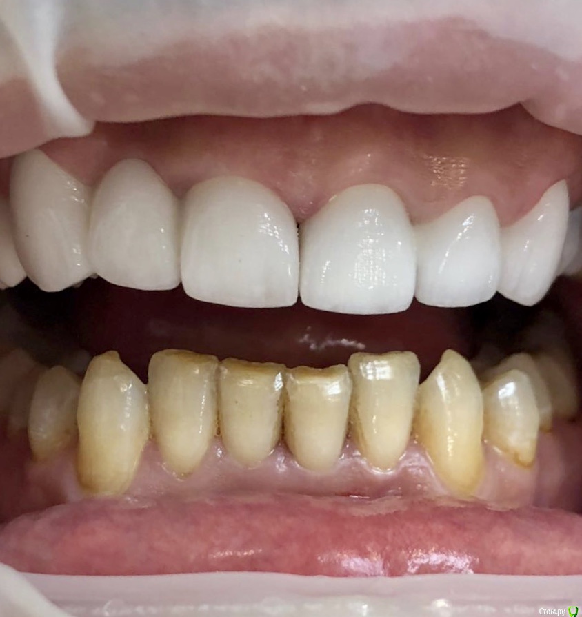
evgeny156 Опубликовано 17 марта, 2018 Поделиться Опубликовано 17 марта, 2018 Привет! Люблю и уважаю своего стоматолога, но интересно тем не менее, что другие стоматологи скажут про выполненный преп под виниры 360, E.Max. Все зубы витальные, без пломб. Ссылка на комментарий
dentikl Опубликовано 17 марта, 2018 Поделиться Опубликовано 17 марта, 2018 Привет.Интересно глянуть конечную улыбку. Ссылка на комментарий
krokomot Опубликовано 18 марта, 2018 Поделиться Опубликовано 18 марта, 2018 Преп достойный. 1 Ссылка на комментарий
evgeny156 Опубликовано 19 марта, 2018 Автор Поделиться Опубликовано 19 марта, 2018 Преп достойный. Спасибо! Вдохновили Ссылка на комментарий
red_butler Опубликовано 19 марта, 2018 Поделиться Опубликовано 19 марта, 2018 тему можно закрывать? Ссылка на комментарий
evgeny156 Опубликовано 19 марта, 2018 Автор Поделиться Опубликовано 19 марта, 2018 тему можно закрывать?А это прям принципиально?Может быть кто-то ещё ответит Ссылка на комментарий
evgeny156 Опубликовано 1 апреля, 2018 Автор Поделиться Опубликовано 1 апреля, 2018 Привет.Интересно глянуть конечную улыбку. Вот видео: https://my.mail.ru/mail/extreme/video/_myvideo/3.html Ссылка на комментарий
dentikl Опубликовано 1 апреля, 2018 Поделиться Опубликовано 1 апреля, 2018 Вот видео: https://my.mail.ru/mail/extreme/video/_myvideo/3.htmlхорошая работа Ссылка на комментарий
evgeny156 Опубликовано 4 апреля, 2018 Автор Поделиться Опубликовано 4 апреля, 2018 закрывайте ) Ссылка на комментарий
Рекомендуемые сообщения