martynyukm Опубликовано 14 марта, 2018 Поделиться Опубликовано 14 марта, 2018 Здравствуйте,уважаемые знатоки.В кратце живу не в России и посещение стоматолага обходится в копеечку. На снимке вижу что 2 з.мудрости растут вбок и подпирают уже соседей. Местные врачи настаивают на удалении тк испортятся соседние зубы. По приезду в Россию местный врач сказал,что особо не видит у меня мотивации для удаления.тк ничего не беспокоит. Так же описал возможные осложнения,что 2 недель моих каникул в России может не хватить на лечение. Вопрос:стоит ли удалять "без причины" ,просто чтобы "потом не беспокоили"? Ссылка на комментарий
Bier Опубликовано 14 марта, 2018 Поделиться Опубликовано 14 марта, 2018 снимок давайте ) 2 Ссылка на комментарий
red_butler Опубликовано 14 марта, 2018 Поделиться Опубликовано 14 марта, 2018 http://forum.stom.ru/topic/20613-sovety-patcientam-obiazatelno-k-prochteniiu/ Ссылка на комментарий
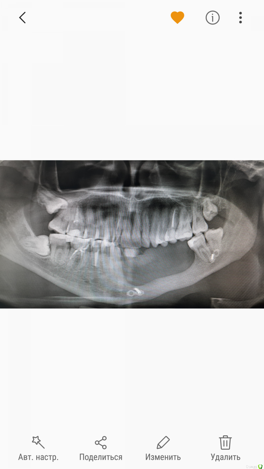
martynyukm Опубликовано 15 марта, 2018 Автор Поделиться Опубликовано 15 марта, 2018 (изменено) Снимок Изменено 15 марта, 2018 пользователем martynyukm Ссылка на комментарий
Irouil Опубликовано 15 марта, 2018 Поделиться Опубликовано 15 марта, 2018 Да, удалять нужно все 1 Ссылка на комментарий
Bier Опубликовано 15 марта, 2018 Поделиться Опубликовано 15 марта, 2018 я бы удалил Ссылка на комментарий
колесников Опубликовано 16 марта, 2018 Поделиться Опубликовано 16 марта, 2018 Расскажите предысторию адентии на нижней челюсти. 1 Ссылка на комментарий
martynyukm Опубликовано 17 марта, 2018 Автор Поделиться Опубликовано 17 марта, 2018 Расскажите предысторию адентии на нижней челюсти.Была то ли остеоблостома,то ли кластома забыла название. Вырезали кусок кости с зубами,позже нарастили кость из ребра,потом еще нарастили из бедра. Вот так в Москве делали. Ношу зуб.протез Ссылка на комментарий
Bier Опубликовано 17 марта, 2018 Поделиться Опубликовано 17 марта, 2018 Была то ли остеоблостома,то ли кластомаостеобластокластомаили амелобластома Не думали восстановить несъемные зубы? Можем посоветовать в Москве доктора, кто делает такие операции. 1 Ссылка на комментарий
martynyukm Опубликовано 17 марта, 2018 Автор Поделиться Опубликовано 17 марта, 2018 остеобластокластомаили амелобластомаПервое Не думали восстановить несъемные зубы? Можем посоветовать в Москве доктора, кто делает такие операции.Ну в свое время сказали,что кости не достаточно для имплантов Ссылка на комментарий
Bier Опубликовано 17 марта, 2018 Поделиться Опубликовано 17 марта, 2018 Ну в свое время сказали,что кости не достаточно для имплантовнаращивают. Ссылка на комментарий
red_butler Опубликовано 18 марта, 2018 Поделиться Опубликовано 18 марта, 2018 Да, удалять нужно все я бы удалил+ 1 Ссылка на комментарий
Рекомендуемые сообщения
Для публикации сообщений создайте учётную запись или авторизуйтесь
Вы должны быть пользователем, чтобы оставить комментарий
Создать аккаунт
Зарегистрируйте новый аккаунт в нашем сообществе. Это очень просто!
Регистрация нового пользователяВойти
Уже есть аккаунт? Войти в систему.
Войти