дашутка Опубликовано 12 марта, 2018 Поделиться Опубликовано 12 марта, 2018 Здраствуйте! У меня такой вопрос, 08.03 мне удалили имплант, причина переимплантит, резорбция костной ткани, зуб двойка. Дефект кости после удаления очень большой. После удаления доктор проводил чистку кости бором, промывал физ.раствором, засыпал костный материал.Есть ли причины опасаться за рядом стоящие зубы и как понять, что воспалительный процесс закончился. На данный момент (прошло четыре дня) из раны есть выделения гноя с костным материалом, а ещё ощущение в кости, как будто реакция зуба на гарячее, холодное (не знаю как правильно описать это), что было и раньше, когда стоял имплантант. Ссылка на комментарий
red_butler Опубликовано 12 марта, 2018 Поделиться Опубликовано 12 марта, 2018 http://forum.stom.ru/topic/20613-sovety-patcientam-obiazatelno-k-prochteniiu/ Ссылка на комментарий
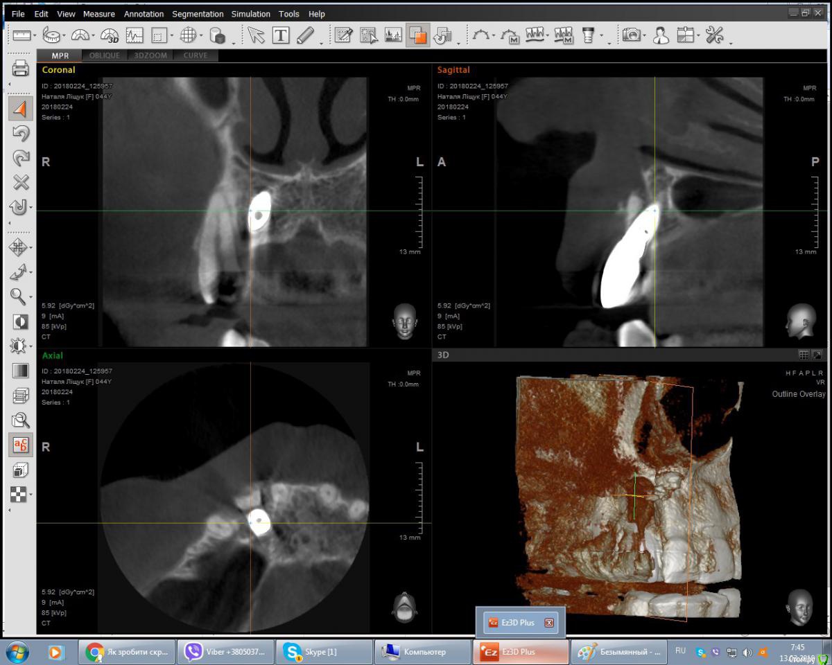
дашутка Опубликовано 13 марта, 2018 Автор Поделиться Опубликовано 13 марта, 2018 (изменено) Прикрепляю скрин КТ Изменено 13 марта, 2018 пользователем дашутка Ссылка на комментарий
red_butler Опубликовано 13 марта, 2018 Поделиться Опубликовано 13 марта, 2018 Снимки нужны актуальные в настоящее время, то есть без импланта, и фото покажите Ссылка на комментарий
дашутка Опубликовано 13 марта, 2018 Автор Поделиться Опубликовано 13 марта, 2018 Кт делала за неделю до удаления, после удаления снимок не делали. Фотку, попробую завтра сделать днём, чтобы качество было получше. Ссылка на комментарий
Рекомендуемые сообщения
Для публикации сообщений создайте учётную запись или авторизуйтесь
Вы должны быть пользователем, чтобы оставить комментарий
Создать аккаунт
Зарегистрируйте новый аккаунт в нашем сообществе. Это очень просто!
Регистрация нового пользователяВойти
Уже есть аккаунт? Войти в систему.
Войти