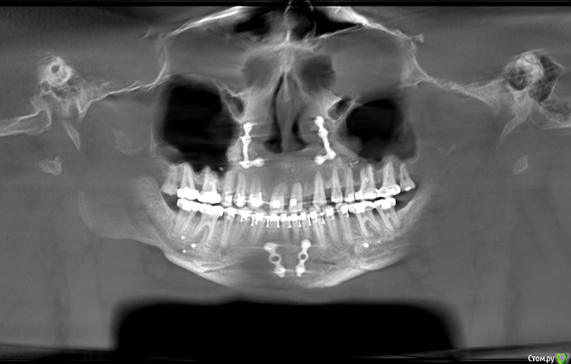
Silver80 Опубликовано 9 марта, 2018 Поделиться Опубликовано 9 марта, 2018 Добрый день, уважаемые стоматологи! Ситуация такая: от природы был глубокий дистальный прикус, отсутствуют вторые резцы. С целью исправления прикуса и освобождения места для имплантации отсутствующих 2-к проходил ортодонтическое лечение+ортогнатическая хирургия. В процессе ортогнатической ОП хирург перестарался с выдвижением нижней челюсти вперед и теперь соотношение челюстей, как при прямом прикусе. т.о. нижние резцы буквально "выдавливают" верхие, что верхние как бы под углом к горизонту. Ортодонт говорит, что она свою работу практически закончила, чтобы я искал имплантолога для имплантации отсутствующих 2-к. она хочет выслушать пожелания имплантолога. сходив на консу в ближайшую стоматологию, мне сказали, что места для имплантов не хватает. орт же утверждает, что там по 0.7 мм с обеих сторон и этого вполне достаточно. Я проходил это лечение 2-х ортодонтов, 4 года. очень хотелось иметь наконец красивые зубы. ясно, что никакой повторной ОП я делать не буду, да и орт выставил все задние зубы по прикусу и никуда ничего уже наверное не подвинешь. 8-ки за все время лечения так никто и не предложил удалить-ни 2 орта, ни хирург ЧЛХ. Возможно, если бы сразу удалили 8-ки можно было бы освободить больше места для 2-к-сдвинув назад весь зубной ряд(возможно и нет, я не знаю, я не ортодонт). очень бы хотелось иметь красивый фронт. можно ли этого добиться с помощью имплантации 2-к? хватает ли там места и кости в высоту, либо придется ее наращивать? можно ли установить виниры на 1-ки и 3-ки (и как можно скорректировать выпирающие теперь вперед 1-ки )? или сделать вместо имплантации навесные 2-ки? но так не хочется умерщвлять 1-ки и 3-ки. подскажите пожалуйста оптимальный план наведения красоты во фронте(чтобы зубы не выглядели как подушки орбит) http://my-files.ru/fwslschttp://my-files.ru/7w1qxohttp://my-files.ru/h2na2xhttp://my-files.ru/n803ao Ссылка на комментарий
колесников Опубликовано 9 марта, 2018 Поделиться Опубликовано 9 марта, 2018 Визуально сложности в протезировании не должно возникнуть. Дайте срезы кт в боковой проекции в участках адентии. Ссылка на комментарий
Bier Опубликовано 10 марта, 2018 Поделиться Опубликовано 10 марта, 2018 я бы поставил имплантаты, сегодня есть штрауман 2.9 он идеально подойдет. Ссылка на комментарий
Silver80 Опубликовано 10 марта, 2018 Автор Поделиться Опубликовано 10 марта, 2018 я бы поставил имплантаты, сегодня есть штрауман 2.9 он идеально подойдет. Bier, подскажите, а кости мне хватает - можно сразу вкручивать импланты или надо будет наращивать предварительно? из всех имплантационных систем мне надо искать врача кто именно с штрауман работает? в других имплантах есть такой диаметр? и еще такой момент- при первом орт лечении, ортодонт вытянул мне центральные резцы вниз из кости (*так получилось), и еще у них немного корни рассосались. сейчас они немного подшатываются. не сильно, но я ощущаю когда трогаю. скажите, можно ли на них клеить виниры? и если со временем они выпадут, но уже будут стоять импланты штрауман 2.9 на 2-ках, можно ли будет сделать конструкцию на этих двойках что-то типа моста с подвесными единицами, или надо будет еще и единицы имплантировать? Ссылка на комментарий
Bier Опубликовано 10 марта, 2018 Поделиться Опубликовано 10 марта, 2018 Bier, подскажите, а кости мне хватает - можно сразу вкручивать импланты или надо будет наращивать предварительно? из всех имплантационных систем мне надо искать врача кто именно с штрауман работает? в других имплантах есть такой диаметр? и еще такой момент- при первом орт лечении, ортодонт вытянул мне центральные резцы вниз из кости (*так получилось), и еще у них немного корни рассосались. сейчас они немного подшатываются. не сильно, но я ощущаю когда трогаю. скажите, можно ли на них клеить виниры? и если со временем они выпадут, но уже будут стоять импланты штрауман 2.9 на 2-ках, можно ли будет сделать конструкцию на этих двойках что-то типа моста с подвесными единицами, или надо будет еще и единицы имплантировать? толщину гребня мне не видно, надо срез КТ смотреть. Наклеить виниры можно. Возможно зубы еще укрепятся. Мосты на имплантаты 2.9 нежелательно ставить, скорее всего придется еще единицы имплантировать.Есть еще размер 3.0 у ряда систем (Астра-тек) например. Но у Штрауман более прочный сплав титана.Мне кажется надо просто найти адекватного доктора, Штрауман не является основной системой в моей клинике, но когда ко мне попал пациент с подобным случаем, я решил эту проблему. Ссылка на комментарий
Silver80 Опубликовано 10 марта, 2018 Автор Поделиться Опубликовано 10 марта, 2018 значит мне подойдут только премиум импланты? осстем, необитех - не стоит рассматривать?никто так и не сказал по поводу верхних 8-к. надо их удалять или пусть стоят? Ссылка на комментарий
Bier Опубликовано 10 марта, 2018 Поделиться Опубликовано 10 марта, 2018 значит мне подойдут только премиум импланты? осстем, необитех - не стоит рассматривать?никто так и не сказал по поводу верхних 8-к. надо их удалять или пусть стоят?у этих систем минимальный диаметр 3.5, у вас такая ситуация, где каждые 0,5мм - важны. Грубо говоря эти 0,5 мм - это ваша сохраненная (не высверленная под имплантат) кость, которую очень важно сохранить у соседних зубов, как для эстетики, так и для функции.8ки надо удалить. Ссылка на комментарий
Silver80 Опубликовано 11 марта, 2018 Автор Поделиться Опубликовано 11 марта, 2018 у этих систем минимальный диаметр 3.5, у вас такая ситуация, где каждые 0,5мм - важны. Грубо говоря эти 0,5 мм - это ваша сохраненная (не высверленная под имплантат) кость, которую очень важно сохранить у соседних зубов, как для эстетики, так и для функции.8ки надо удалить.Bier , большое спасибо, что отвечаете. Меня еще мучает вопрос - можно ли как-то ортопедически скорректировать наклон передних резцов? просто я прям чувствую. как нижние зубы давЯт на верхние и боюсь, что они их вконец расшатают и вывихнут. еще опасаюсь что будет такое же давление на импланты после их установки вместе с коронкой. я просто в полной прострации щас нахожусь. 4 года лечения и понимаю, что результат всего этого не совсем тот, который бы хотелось. и ОП теперь не переделаешь. что можно сделать, чтоб и фронт был красивым и наклон и давление этих зубов изменить (на ум приходит поднятие высоты на всех жевательных зубах, но это прям совсем крайняя мера для меня, очень бы не хотелось трогать здоровые зубы под коронки). дайте совет - что делать в этой ситуации. мб что-то ортодонта попросить еще скорректировать? вот ТРГ последнее Ссылка на комментарий
колесников Опубликовано 11 марта, 2018 Поделиться Опубликовано 11 марта, 2018 Штрауман не является основной системой в моей клинике, но когда ко мне попал пациент с подобным случаем, я решил эту проблему. Каким образом? Портретика на 2.9 пока недоступна в Москве. Поделитесь контактами. Ссылка на комментарий
Bier Опубликовано 12 марта, 2018 Поделиться Опубликовано 12 марта, 2018 Bier , большое спасибо, что отвечаете. Меня еще мучает вопрос - можно ли как-то ортопедически скорректировать наклон передних резцов? просто я прям чувствую. как нижние зубы давЯт на верхние и боюсь, что они их вконец расшатают и вывихнут. еще опасаюсь что будет такое же давление на импланты после их установки вместе с коронкой. я просто в полной прострации щас нахожусь. 4 года лечения и понимаю, что результат всего этого не совсем тот, который бы хотелось. и ОП теперь не переделаешь. что можно сделать, чтоб и фронт был красивым и наклон и давление этих зубов изменить (на ум приходит поднятие высоты на всех жевательных зубах, но это прям совсем крайняя мера для меня, очень бы не хотелось трогать здоровые зубы под коронки). дайте совет - что делать в этой ситуации. мб что-то ортодонта попросить еще скорректировать? вот ТРГ последнееПо этому вопросу лучше все же консультироваться с ортодонтами и ортогнатическими хирургами. Не моя область. Ссылка на комментарий
Рекомендуемые сообщения
Для публикации сообщений создайте учётную запись или авторизуйтесь
Вы должны быть пользователем, чтобы оставить комментарий
Создать аккаунт
Зарегистрируйте новый аккаунт в нашем сообществе. Это очень просто!
Регистрация нового пользователяВойти
Уже есть аккаунт? Войти в систему.
Войти