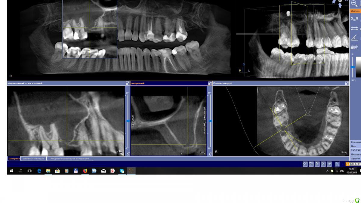
EEcho Опубликовано 7 марта, 2018 Поделиться Опубликовано 7 марта, 2018 Доброго времени суток. 3 месяца назад пациентка обратилась с целью поставить имплант в области 15.На КТ нарисовалась такая картинка, инородное тело и возможен гайморит без жалоб. была направлена к ЛОР. ЛОР сделал ревизию.прошло 2 месяца , сделали повторный КТ и сейчас картина такая. Что делать, ждать или отправить опять к ЛОР, или что-то можно уже делать? Ссылка на комментарий
Карен Аванесов Опубликовано 7 марта, 2018 Поделиться Опубликовано 7 марта, 2018 Для начала, уделить внимание соседним зубам, молярам, Какая картина в противоположенной пазухе? Лично я, делал синус при таком утолщении слизистой с хорошими результатами, но если сомневаетесь, торопиться не надо. 1 Ссылка на комментарий
АнтонТЛТ Опубликовано 7 марта, 2018 Поделиться Опубликовано 7 марта, 2018 +1 на счет соседних зубов. 6-ка случаем не дохлая? 1 Ссылка на комментарий
Zubnik86rus Опубликовано 8 марта, 2018 Поделиться Опубликовано 8 марта, 2018 Незнаю как вставить картинку, но 6ка видно полость кариозную сообщающующуюся с полостью зуба и дистальный щечный корень в пазухе, имхо вот и виновник такой слизистой Ссылка на комментарий
TIGER Опубликовано 10 марта, 2018 Поделиться Опубликовано 10 марта, 2018 Это грибы...К ЛОРу отправляйте 1 Ссылка на комментарий
Карен Аванесов Опубликовано 10 марта, 2018 Поделиться Опубликовано 10 марта, 2018 Тигран. тогда интересно что ЛОР делал первый раз? Ссылка на комментарий
TIGER Опубликовано 11 марта, 2018 Поделиться Опубликовано 11 марта, 2018 Тигран. тогда интересно что ЛОР делал первый раз?Ничего....как мы видим на снимках Ссылка на комментарий
Bier Опубликовано 12 марта, 2018 Поделиться Опубликовано 12 марта, 2018 про грибы согласен. Ссылка на комментарий
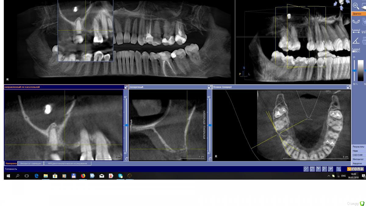
EEcho Опубликовано 13 марта, 2018 Автор Поделиться Опубликовано 13 марта, 2018 Я то же сначала подумал о 16, но ЭОД показала норму, 17 резорциненый уже много лет и без изменений в апикальных тканях.снимки противоположной пазухи прилагаю. Про грибы как то не подумал, с ними ни разу не сталкивался, Спасибо!!! Ссылка на комментарий
Bier Опубликовано 14 марта, 2018 Поделиться Опубликовано 14 марта, 2018 надо чтобы лор материал из пазухи удалил. Ссылка на комментарий
red_butler Опубликовано 14 марта, 2018 Поделиться Опубликовано 14 марта, 2018 Вроде последние снимки без пломбировочного Ссылка на комментарий
Irouil Опубликовано 14 марта, 2018 Поделиться Опубликовано 14 марта, 2018 Судя по всему материал удалил, грибковое тело оставил. Доставать ннннада Ссылка на комментарий
EEcho Опубликовано 14 марта, 2018 Автор Поделиться Опубликовано 14 марта, 2018 То то и оно, материал он удалил, но почему то остальное оставил. Хотя со слов пациентки, как ей сказал ЛОР , материал и все остальное он выскоблил. Или, за 2 месяца это все наросло по новой???Раньше отправлял туда же и таких проблем не было. Ссылка на комментарий
Irouil Опубликовано 14 марта, 2018 Поделиться Опубликовано 14 марта, 2018 Не до конца грибковое тело если убрать то дальше скобли-не скобли... Ссылка на комментарий
EEcho Опубликовано 15 марта, 2018 Автор Поделиться Опубликовано 15 марта, 2018 Коллеги Спасибо Большое за помощь. Ссылка на комментарий
Рекомендуемые сообщения
Для публикации сообщений создайте учётную запись или авторизуйтесь
Вы должны быть пользователем, чтобы оставить комментарий
Создать аккаунт
Зарегистрируйте новый аккаунт в нашем сообществе. Это очень просто!
Регистрация нового пользователяВойти
Уже есть аккаунт? Войти в систему.
Войти