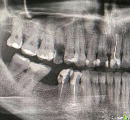
Леголич Опубликовано 2 марта, 2018 Поделиться Опубликовано 2 марта, 2018 Доброго времени суток! Ситуация такова, что с 15 зубом надо мне прощаться без вариантов. И мне на выбор предложили 2 пути. 1. Имплантолог: Поставить имплант с синуслифтингом. Доводы: одномоментно убрали, поставили. Воспаление? Кюретаж нам в помощь.2. Ортодонт: ставим брекеты ( в планах по любому это было- ровняю верхние зубы глобально), после удаляем и на лунку зубы сместятся быстро. Доводы: все зубы живые(18,17,16,14,13,11) двигаются легко и никаких имплантов, к тому же он может помешать изменению прикуса.Посоветуйте, как на Ваш взгляд, что лучше? Имплантация или ортодонтия в моем случае? Спасибо! Ссылка на комментарий
red_butler Опубликовано 2 марта, 2018 Поделиться Опубликовано 2 марта, 2018 http://forum.stom.ru/topic/20613-sovety-patcientam-obiazatelno-k-prochteniiu/ Ссылка на комментарий
Леголич Опубликовано 2 марта, 2018 Автор Поделиться Опубликовано 2 марта, 2018 Снимок Ссылка на комментарий
red_butler Опубликовано 2 марта, 2018 Поделиться Опубликовано 2 марта, 2018 Санация, ортодонтия, имплантация, протезирование Ссылка на комментарий
Рекомендуемые сообщения
Для публикации сообщений создайте учётную запись или авторизуйтесь
Вы должны быть пользователем, чтобы оставить комментарий
Создать аккаунт
Зарегистрируйте новый аккаунт в нашем сообществе. Это очень просто!
Регистрация нового пользователяВойти
Уже есть аккаунт? Войти в систему.
Войти