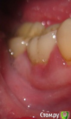
Sparrow Опубликовано 27 февраля, 2018 Поделиться Опубликовано 27 февраля, 2018 (изменено) Уважаемые специалисты.Прошу Вашего мнения относительно моей ситуации. 5 месяцев воспалена десна и сосочек между зубами.При надавливании на край десны из под десны появляются выделения белого цвета в небольшом количестве (буквально по 1 мм вдоль кромки десны). Боли нет ни в десне ни в зубе.Зуб не шатается. На зубе коронка со штифтами - ставили 14 лет назад.При обнаружении воспаления обратилась к стоматологу.Сделан снимок - на снимке ничего не обнаружено - вывод местное воспаление. К такому же выводу пришли впоследствии еще три специалиста - снимок делали еще 2 раза - ничего не находили . За это время (5 месяцев) было сделано 2 чистки - 1 локально - ультразвук под десной - сильно кровоточило и сосочек на следующий день "сдулся" до нормального размера,но выделения остались и через время десна снова увеличилась.Вторая чистка - полностью полость рта. Состояние десны осталось прежним.Выделения есть.Применила уже все возможные варианты полосканий - хлоргексидин-мирамистин-ромашка-сода-парадонтакс-стоматофит - полностью успокоить десну не удается. Обратилась снова к стоматологу. Сделали КТ. Киста на корне зуба и кариес корня под десной. Зуб удалять однозначно или есть еще минимальная возможность его спасти? (мне крайне неудобно показывать вам этот цветной налет на зубах - но это то,что вышло от применения супермягкой щетки Парадонтакс и ополаскивателя Парадонтакс-Экстра за полтора месяца после последней гигиенической чистки) Изменено 27 февраля, 2018 пользователем Sparrow Ссылка на комментарий
red_butler Опубликовано 27 февраля, 2018 Поделиться Опубликовано 27 февраля, 2018 Удалять 2 Ссылка на комментарий
red_butler Опубликовано 18 марта, 2018 Поделиться Опубликовано 18 марта, 2018 Тему можно закрывать? Ссылка на комментарий
Рекомендуемые сообщения
Для публикации сообщений создайте учётную запись или авторизуйтесь
Вы должны быть пользователем, чтобы оставить комментарий
Создать аккаунт
Зарегистрируйте новый аккаунт в нашем сообществе. Это очень просто!
Регистрация нового пользователяВойти
Уже есть аккаунт? Войти в систему.
Войти