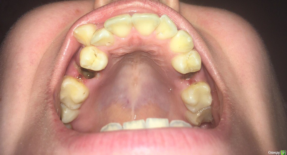
SvetlanaDem Опубликовано 25 февраля, 2018 Поделиться Опубликовано 25 февраля, 2018 (изменено) Всем привет. 22 февраля удалили 15 и 25 зуб. В одной лунке был хороший сгусток,во второй почти нет. Сегодня начала беспокоить лунка от зуба где не было сгустка,ощущаю дискомфорт и отекла десна(на фото слева). Похоже это ли на альвеовит?к врачу только завтра... Изменено 25 февраля, 2018 пользователем SvetlanaDem Ссылка на комментарий
St. Опубликовано 25 февраля, 2018 Поделиться Опубликовано 25 февраля, 2018 Да, обязательно покажитесь своему хирургу. До завтра ничего критично не поменяется. Ссылка на комментарий
Рекомендуемые сообщения
Для публикации сообщений создайте учётную запись или авторизуйтесь
Вы должны быть пользователем, чтобы оставить комментарий
Создать аккаунт
Зарегистрируйте новый аккаунт в нашем сообществе. Это очень просто!
Регистрация нового пользователяВойти
Уже есть аккаунт? Войти в систему.
Войти