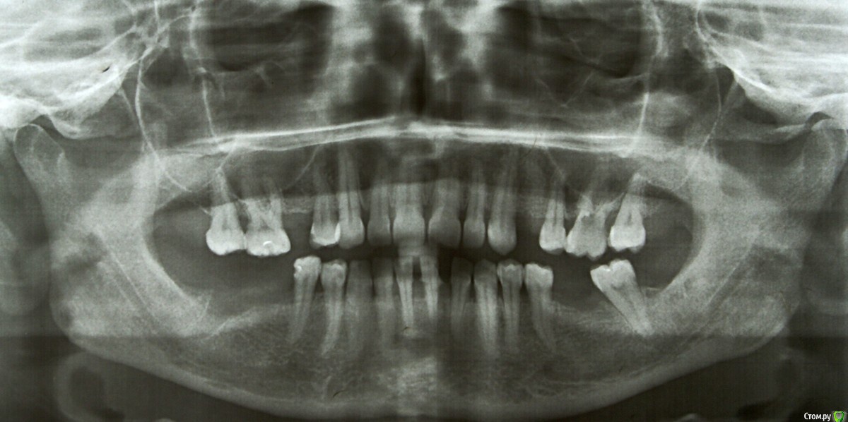
Shelly2000 Опубликовано 25 февраля, 2018 Поделиться Опубликовано 25 февраля, 2018 Здравствуйте! На консультациях у пародонтологов по приложенному панорамному снимку двое видят среднюю степень тяжести пародонтита, один - тяжелую.Подвижность зубов отсутствует. Подскажите, пожалуйста, какой диагноз правильный? Ссылка на комментарий
AndyAndy Опубликовано 25 февраля, 2018 Поделиться Опубликовано 25 февраля, 2018 По снимку все неплохо. Для определения тяжести процесса нужен очный осмотр с целью выявления глубины пародонтальных карманов, выделений из них, наличия зубных отложений, подвижности зубов (по снимку фронтальная группа снизу может быть подвижна) В целом, повторюсь, тяжелой формы я здесь не вижу, я даже генерализованной формы пародонтита не вижу 1 Ссылка на комментарий
Shelly2000 Опубликовано 25 февраля, 2018 Автор Поделиться Опубликовано 25 февраля, 2018 нужен очный осмотр с целью выявления глубины пародонтальных карманов, выделений из них, наличия зубных отложений, я даже генерализованной формы пародонтита не вижу Спасибо за ответ! Осмотры неоднократно были. Пародонтальные карманы на всех зубах по-разному - от 0,5 до 5. Выделений никаких нет. Зубные отложения снимаются при чистке ультразвуком. Диагноз может зависеть от того, пойти на осмотр до такой чистки или после? Если это не генерализованная форма, то какая тогда? Может, это вообще не пародонтит? Ссылка на комментарий
dentikl Опубликовано 25 февраля, 2018 Поделиться Опубликовано 25 февраля, 2018 двое видят среднюю степень тяжести пародонтита, один - тяжелую. что изменит степень тяжести?Чем Вас не устроили 3 парадонтолога? Ссылка на комментарий
AndyAndy Опубликовано 25 февраля, 2018 Поделиться Опубликовано 25 февраля, 2018 Спасибо за ответ! Осмотры неоднократно были. Пародонтальные карманы на всех зубах по-разному - от 0,5 до 5. Выделений никаких нет. Зубные отложения снимаются при чистке ультразвуком. Диагноз может зависеть от того, пойти на осмотр до такой чистки или после? Если это не генерализованная форма, то какая тогда? Может, это вообще не пародонтит?Выделяют локализованную и генерализованную. Повторюсь, исключительно по снимку, генерализованной тяжёлой формы не вижу. Есть участки где действительно могут быть вопросы, связанные с образованием карманов и потерей костной ткани. Наблюдаться у доктора пародонтолога необходимо регулярно по предписанию Ссылка на комментарий
Shelly2000 Опубликовано 25 февраля, 2018 Автор Поделиться Опубликовано 25 февраля, 2018 что изменит степень тяжести?Чем Вас не устроили 3 парадонтолога? В зависимости от степени назначают разное лечение. Тот пародонтолог, который сказал про тяжелую степень, говорил о том, что надо резать уздечки и делать вестибулопластику, Вот и хочу понять, действительно ли это нужно. Ссылка на комментарий
Shelly2000 Опубликовано 26 февраля, 2018 Автор Поделиться Опубликовано 26 февраля, 2018 Есть участки где действительно могут быть вопросы, связанные с образованием карманов и потерей костной ткани. Спасибо Вам за подробный ответ!А ещё по снимку один из врачей увидел в верхней левом шестом зубе какую-то перфорацию. Можете прокомментировать? Ссылка на комментарий
AndyAndy Опубликовано 26 февраля, 2018 Поделиться Опубликовано 26 февраля, 2018 Все верно, этому зубу надо как минимум сделать прицельный снимок. Не буду разбрасываться диагнозами, так как нечетко видно что это Ссылка на комментарий
Рекомендуемые сообщения
Для публикации сообщений создайте учётную запись или авторизуйтесь
Вы должны быть пользователем, чтобы оставить комментарий
Создать аккаунт
Зарегистрируйте новый аккаунт в нашем сообществе. Это очень просто!
Регистрация нового пользователяВойти
Уже есть аккаунт? Войти в систему.
Войти