Перейти к содержанию
Стоматология для всех

Сомнения в правильности в выбранном плане лечения


Мария Тверь

Рекомендуемые сообщения

Добрый вечер. Просим оказать консультативную помощь при лечении брекетов:

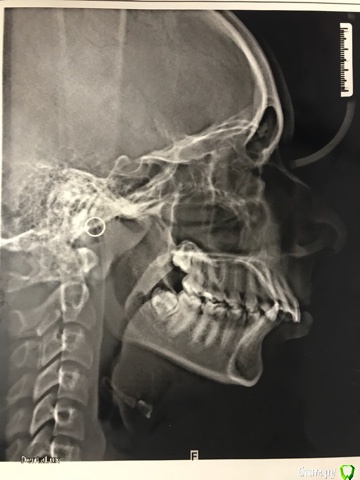
В возрасте 7-8 лет ребенок носил пластинку на нижную челюсть для ее расширения, ТК был поставлен диагноз - травмирующий прикус. В 7 лет сделали операцию на уздечке верхней губы. В 9 лет пластинку отменили и сказали, ждать подросткового возраста для установки брекетов. В 14 лет снова обратились в поликлинику для установки брекетов, смотрели два доктора и сказали о необходимости удалить 4 премоляра. Но наш лечащий доктор посоветовал съездить на консультацию в Москву, ТК она сама не береться лечить с удалением 4 зубов.

В 15 лет поехали на консультацию в ФГУ ЦНИИСиЧЛХ, диагноз: сочетанная скелетная деформация челюстей, верхняя прогнатия, нижняя ретромикрогнатия, дистальная оклюзия, глубокая резцовая дизокклюзия, сагитальная щель 10 мм, сужение деформация зубоальвеолярных дуг, скученное положение зубов, протрузия резцов, аномалия положения зачатков 8 моляров, уздечки нижней губы, мелкое предверие рта, индивидуальная макродентия.

Рекомендовано: консультация хирурга по поводу 8 моляров, уздечки нижней губы, мелкого предверия; консультация челюстно-лицевого хирурга; решение вопроса о комплексном лечении.

В Москве на консультации вопрос ортодонтического лечения конкретно не обсуждался, но было рекомендовано 4зуба не удалять, ТК это ухудшит форму лица. Боковые зубы стоят правильно по 1 классу, образовавшаяся щель только из-за положения передних резцов и удлинения альвеолярных дуг. Как вариант, выдвинуть нижную челюсть вперёд аппаратами типа гербста или форсуса.

 

По возвращению домой, сделали операции - уздечка под языком и углубление нижнего предверия. Трое Ортодонтов по месту жительства отнеслись к московской консультации с недоверием, ТК консультация это устное обследование и конкретный план лечения не составлялся. К предверию и уздечке отнеслись безразлично. Возможный вариант лечения - только через удаление. С аппаратами не работают.

Два других ортодонта предложили лечение без удаления, остановились на этом.

Брекеты носим два года, прочитав информацию в интернете, понимаю, что у нас прямо взаимоисключающие показатели, предложенное лечение - компромисс. При дефиците места на нижней челюсти лечение без удаления чревато осложнениями.

Через два месяца планируется снятие брекетов. На выходе имеем: профиль лица выпуклый, некрасивый, но по сравнению с тем, что было улучшен. Сагитальная щель 3мм. На нижней челюсти оголились корни передних резцов. Были на консультации у хирургов, назначили день операции по уздечке нижней губы, которая даёт натяжение, но в день операции проводить не стали, сказали - лучше после снятия брекетов, чтобы не травмировать десну перед снятием. Озвучили про подвижность нижних зубов и выход корней из костной ткани. Рекомендовано удаление 8-к.

Вопрос следующий, может я не всю ситуацию охватывают, но беспокоит ситуация с нижними передними зубами. Снимать ли брекеты или восстанавливать нижние зубы в кости? Не потеряет ли дочка нижние зубки, сейчас возраст 17,5 лет, после снятия брекетов? Морально готовы перелечиваться с удалением, но уже в более взрослом возрасте, после поступления в институт и если сама захочет, исправлять профиль.

Прошу помочь оценить ситуацию.

post-50119-0-13764800-1519502761_thumb.jpeg

post-50119-0-39846900-1519502838_thumb.jpeg

post-50119-0-50238900-1519502849_thumb.jpeg

post-50119-0-45662100-1519502904_thumb.jpeg

post-50119-0-70535000-1519502919_thumb.jpeg

post-50119-0-87236400-1519502930_thumb.jpeg

post-50119-0-75616700-1519502945_thumb.jpeg

post-50119-0-30514200-1519502973_thumb.jpeg

post-50119-0-07321000-1519502986_thumb.jpeg

post-50119-0-34842700-1519503674_thumb.jpeg

post-50119-0-11510300-1519504254_thumb.jpeg

post-50119-0-29950800-1519504270_thumb.jpeg

post-50119-0-21412000-1519504279_thumb.jpeg

post-50119-0-55651800-1519504290_thumb.jpeg

post-50119-0-54989900-1519504299_thumb.jpeg

post-50119-0-90480500-1519505057_thumb.jpeg

Изменено пользователем Мария Тверь
Ссылка на комментарий

По поводу верхних резцов, до установки брекетов режущие края зубов были на одном уровне, видимо, ошибка в позиционировании брекетов, ТК в ходе лечения один верхний резец поднялся выше и отклонялся от вертикали, выровнять края не удалось, но ТК, как пишут, пациентов в первую очередь волнует косметика, дочка переживает, что очень бросается в глаза. Прочитала в интернете в блоге одного ортодонта, что такая ошибка исправляется либо изгибом дуги либо Переустановкой новых брекетов, поэтому он работает с брекетами средней ценовой категории и переустанавливает в случае отклонения. На этой неделе плановый прием у ортодонта, хочу предложить : переустановить на два верхних резца новые брекеты, а на нижней челюсти - принесу новый трг (прикреплен в предыдущем сообщении) и как-то надо решать проблему с выходом корней из кости, если такая действительно есть, ТК хирурги в направлении к ортодонту не написали такое, а только озвучили, а написали на консультацию по поводу удаления 8-к.

Изменено пользователем Мария Тверь
Ссылка на комментарий

В Москве в ФГУ челюстно-лицевого хирургии как возможный вариант лечения озвучивали сепарацию зубов на верхней челюсти, и одним из доводов против удаления зубов на верхней челюсти - тонкая кость и возможность отклонения верхней губы в сторону неба, что только ухудшит профиль.

По месту жительства про сепарацию зубов никто из докторов не предлагал, но наш лечащий врач произвела сепарацию двух верхних резцов и сказала, что надо бы ещё, но мы как-то боимся, ТК укрепление эмали после сепарации не проводилось.

Изменено пользователем Мария Тверь
Ссылка на комментарий
  • 2 недели спустя...

Добрый день, так никто и не ответил. Прочитала информацию в интернете, самостоятельно с помощью линейки и транспортира измерила углы SNA и SNB, точки определила на снимке ТРГ по описанию опять же в интернете. По измерениям получился угол SNA 85 градусов, угол SNB 80. Результат понимаю так, на грани нормы, но норма, нет скелетных отклонений для вывода о переднем положении верхней челюсти и заднем положении - нижний. Вывод патология - в зубоальвеолярных отростках. Чтобы бы быть спокойной в правильности лечения ребенка, приходится изучать информацию и пытаться ее переварить на дилетантские уровне.

Изменено пользователем Мария Тверь
Ссылка на комментарий

Для публикации сообщений создайте учётную запись или авторизуйтесь

Вы должны быть пользователем, чтобы оставить комментарий

Создать аккаунт

Зарегистрируйте новый аккаунт в нашем сообществе. Это очень просто!

Регистрация нового пользователя

Войти

Уже есть аккаунт? Войти в систему.

Войти
×
×
  • Создать...
Вверх