dr.Dre Опубликовано 24 февраля, 2018 Поделиться Опубликовано 24 февраля, 2018 Добрый день коллеги , много фото нахожу на просторах интернета все массово практикуют данную методику , поделитесь пожалуйста практикой как это делается какие плюсы и минусы? Ссылка на комментарий
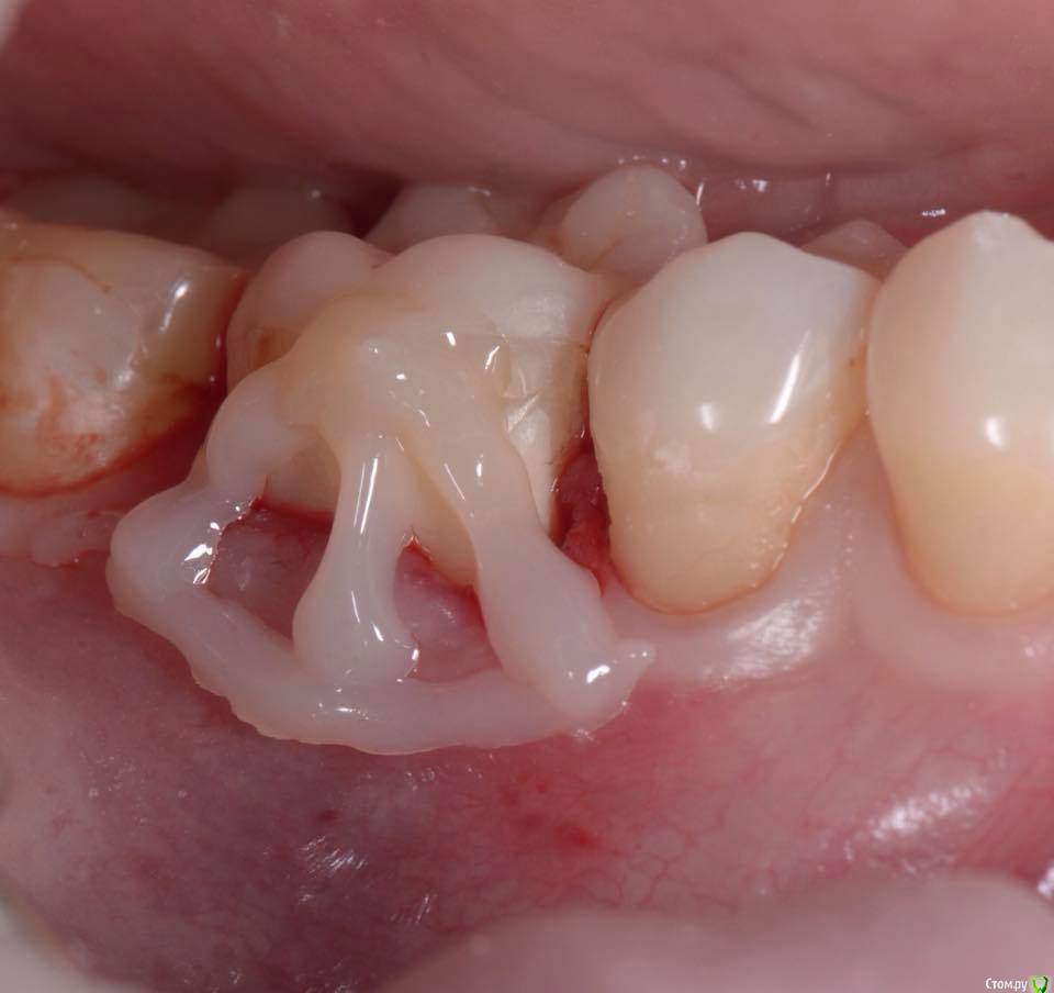
Дмитрий Л. Опубликовано 24 февраля, 2018 Поделиться Опубликовано 24 февраля, 2018 Если я правильно догадался, то лоскут фиксируется не швами, а прижиманием композитной самоделкой. Лазерная имплантация, etc. Ссылка на комментарий
Карен Аванесов Опубликовано 24 февраля, 2018 Поделиться Опубликовано 24 февраля, 2018 Удобно, быстро, экономно. Ссылка на комментарий
dr.Dre Опубликовано 24 февраля, 2018 Автор Поделиться Опубликовано 24 февраля, 2018 Удобно, быстро, экономно.опишите пожалуйста методику Ссылка на комментарий
Карен Аванесов Опубликовано 25 февраля, 2018 Поделиться Опубликовано 25 февраля, 2018 Когда основная работа выполнена, операционное поле высушить аккуратно и быстро прихватить или придавить композитом края лоскута. 2 Ссылка на комментарий
Doctor Vlad Опубликовано 19 мая, 2025 Поделиться Опубликовано 19 мая, 2025 это не метода для создания зкпд? Ссылка на комментарий
Рекомендуемые сообщения
Для публикации сообщений создайте учётную запись или авторизуйтесь
Вы должны быть пользователем, чтобы оставить комментарий
Создать аккаунт
Зарегистрируйте новый аккаунт в нашем сообществе. Это очень просто!
Регистрация нового пользователяВойти
Уже есть аккаунт? Войти в систему.
Войти