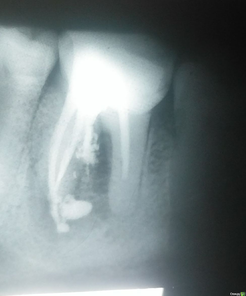
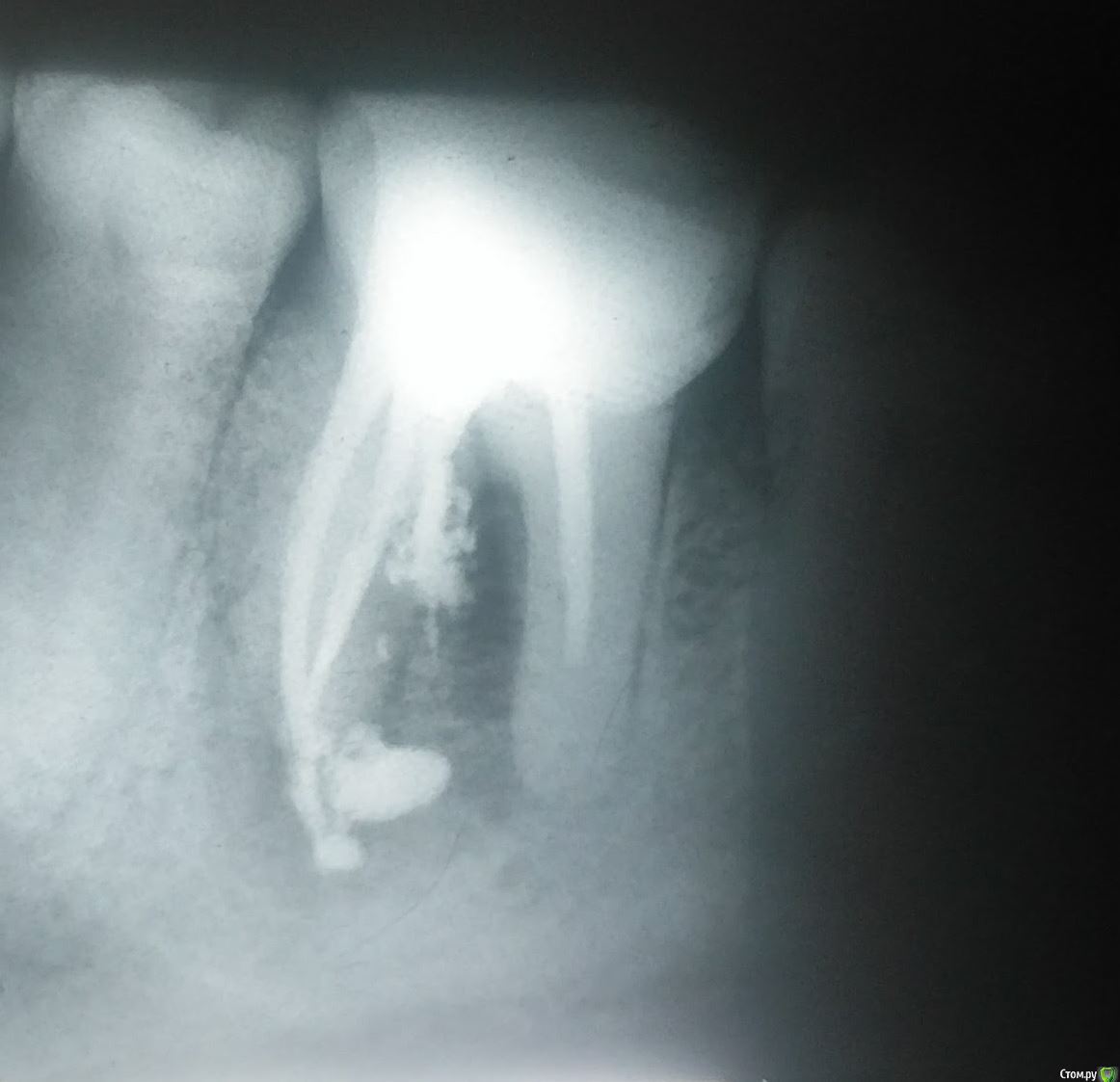
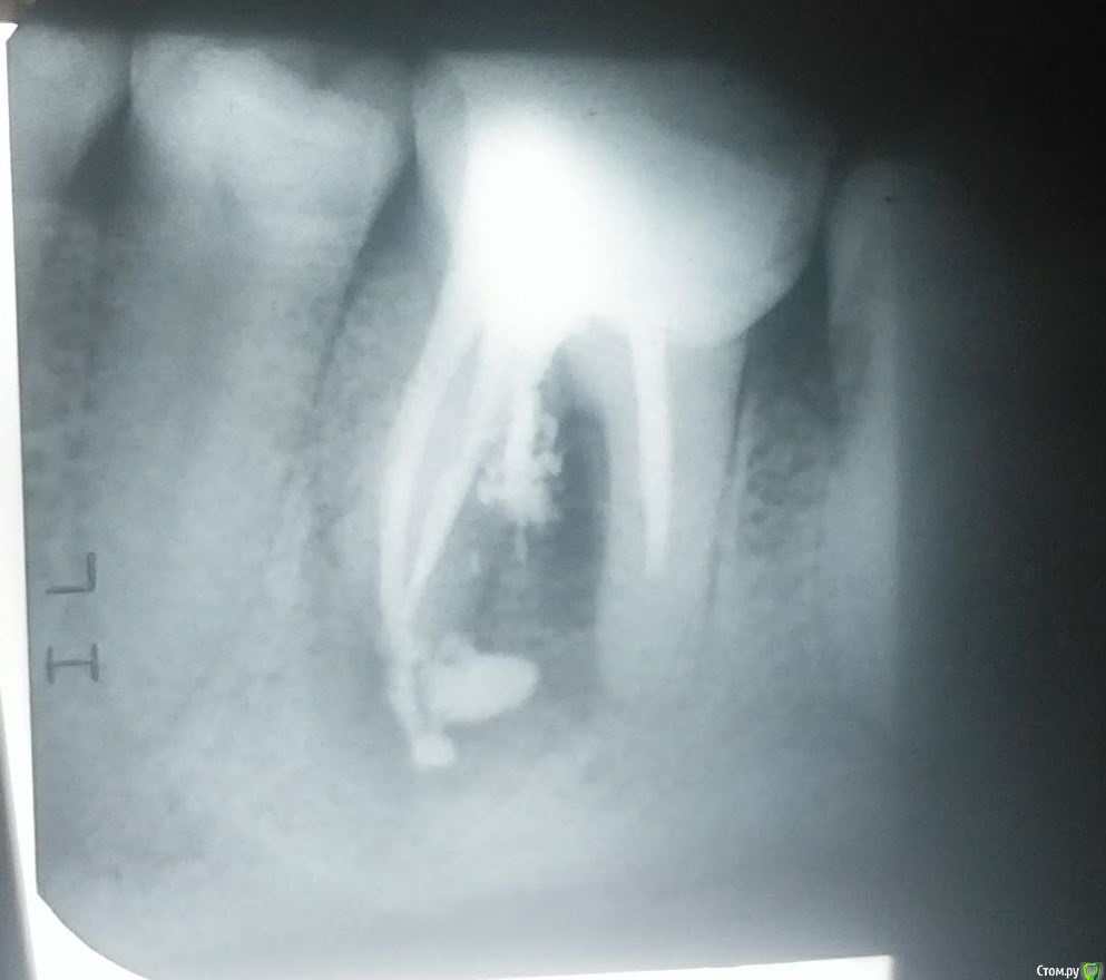
pru2009 Опубликовано 21 февраля, 2018 Поделиться Опубликовано 21 февраля, 2018 Три года тому назад были удалены нервы и установлена пломба на зуб и все было хорошо, но неделю тому назад стало болеть. При обследовании сказали что киста. Стоматолог предложил удаление зуба, но после просьб все-таки заложил лекарство для лечения кисты. Пару дней сильно болело, сейчас боль ушла, опухлость почти прошла, хотя и есть, предлагает на следующей неделе достать лекарство и запломбировать - потом под наблюдение для лечения. Сегодня делал рентген и консультировался с другим стоматологом, он категорически рекомендует удалять зуб и ставить имплант. Посмотрите снимки (это сегодня, лекарство все еще внутри зуба), какое ваше мнение стоит удалять или все-таки можно лечить? Просто жалко зуб удалять если можно вылечить. Ссылка на комментарий
red_butler Опубликовано 21 февраля, 2018 Поделиться Опубликовано 21 февраля, 2018 Удалять, без вариантов 2 Ссылка на комментарий
DmitrySH Опубликовано 21 февраля, 2018 Поделиться Опубликовано 21 февраля, 2018 Конечно удалять 1 Ссылка на комментарий
IvanK Опубликовано 22 февраля, 2018 Поделиться Опубликовано 22 февраля, 2018 +1 Ссылка на комментарий
pru2009 Опубликовано 23 февраля, 2018 Автор Поделиться Опубликовано 23 февраля, 2018 Спасибо за ответы, я просто почему сомневаюсь - боль-то прошла и вроде как и говорил первый стоматолог можно лекарство убрать и уже нормальную пломбу поставить, или все-таки убирать чтобы не было последствий? Ссылка на комментарий
Bier Опубликовано 23 февраля, 2018 Поделиться Опубликовано 23 февраля, 2018 если перфорацию надежно закрыть, то еще постоит. Не будьте столь кровожадны )) Ссылка на комментарий
pru2009 Опубликовано 23 февраля, 2018 Автор Поделиться Опубликовано 23 февраля, 2018 если перфорацию надежно закрыть, то еще постоит. Не будьте столь кровожадны )) Меня второй стоматолог напугал тем что на снимке видно что лекарство вытекло в десну, и это якобы ведет к повреждению кости, он меня вообще чуть ли не срочно отправлял на удаление зуба, только стоматолог-хирург к которому направили не взял телефон (видимо готовился к праздникам) поэтому я все еще с зубом.Но сейчас прочитал про перформацию - а получится ли ее закрыть, это ведь получится нужно сейчас убрать лекарство которое вытекло и закрыть канал так чтобы пломбирующий материл тоже не вытек, это без вскрытия десны и операции возможно ли? имею в виду только работая сверху зуба через каналы? или требуется какая-то специфическая операция? Ссылка на комментарий
St. Опубликовано 23 февраля, 2018 Поделиться Опубликовано 23 февраля, 2018 Удалять, закрытие перфорации не решит проблему воспаления между корнями. Если оставить ничего не делая может разболеться в любой неподходящий момент и тогда придется удалять по скорой 1 Ссылка на комментарий
Bier Опубликовано 26 февраля, 2018 Поделиться Опубликовано 26 февраля, 2018 лекарство жить не мешает, оно и рассосаться может постепенно.Если перфорацию надежно закрыть (если это возможно конечно) то и проблема "между корнями" заживет. Ссылка на комментарий
Рекомендуемые сообщения
Для публикации сообщений создайте учётную запись или авторизуйтесь
Вы должны быть пользователем, чтобы оставить комментарий
Создать аккаунт
Зарегистрируйте новый аккаунт в нашем сообществе. Это очень просто!
Регистрация нового пользователяВойти
Уже есть аккаунт? Войти в систему.
Войти