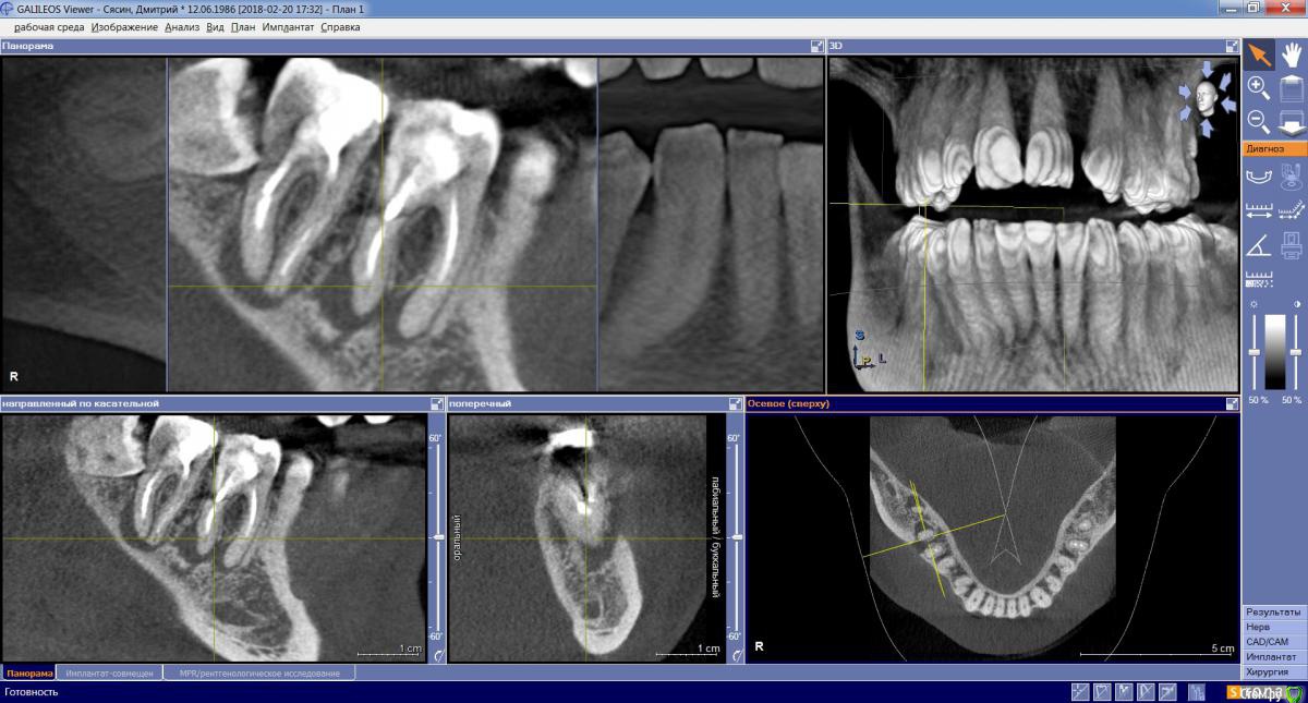
dims5 Опубликовано 21 февраля, 2018 Поделиться Опубликовано 21 февраля, 2018 Добрый день!Подскажите пожалуйста,если какая-либо надежда сохранить зубы 6-7? Зубы были пролечены несколько лет назад, не беспокоили длительное время и вот сейчас вылез свищ.Очень хочется сохранить зубы, а врач настаивает на удалении и постановке имплантов. Хотелось бы если есть хоть какая-то надежда попробовать из вылечить.Скриншоты сделал в разных нескольких разрезах чтобы лучше было видно состояние.Спасибо! Ссылка на комментарий
DmitrySH Опубликовано 21 февраля, 2018 Поделиться Опубликовано 21 февраля, 2018 Если судить только по снимку, то вполне нормальные шансы на сохранение зубов 6 и 7.А вот 8 надо убирать Ссылка на комментарий
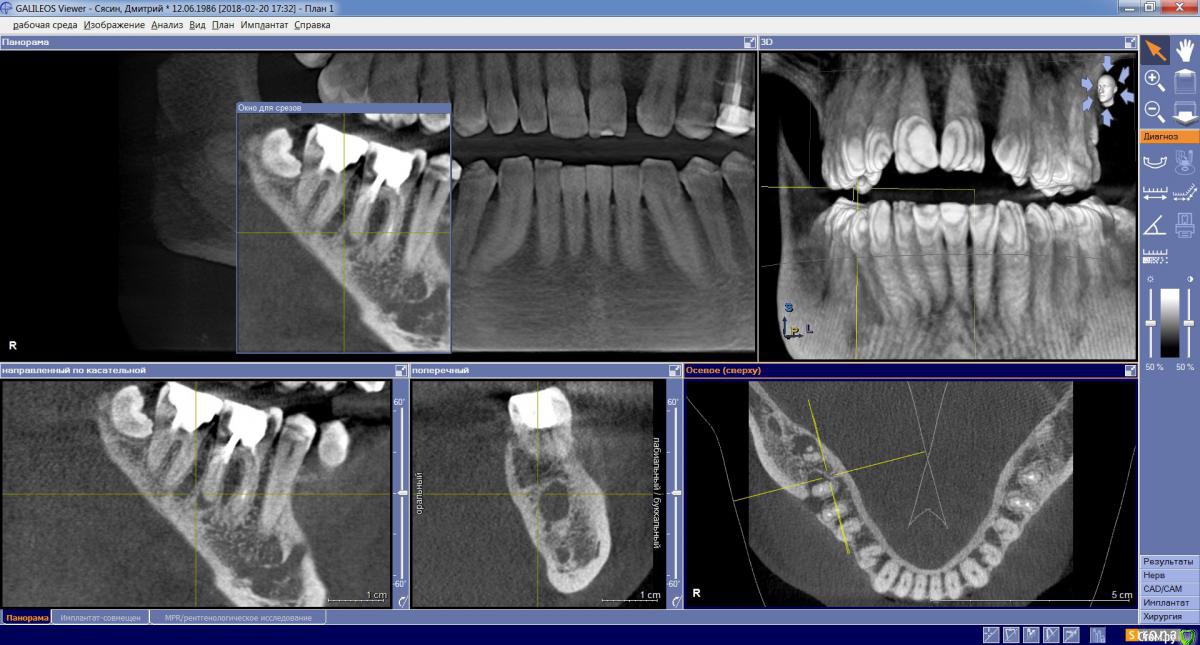
dims5 Опубликовано 21 февраля, 2018 Автор Поделиться Опубликовано 21 февраля, 2018 Если судить только по снимку, то вполне нормальные шансы на сохранение зубов 6 и 7.А вот 8 надо убирать Большое спасибо за мнение! А вы посмотрели на второй снимок(файл 1.jpg) на нем как раз видны размеры кист( воспаления) ? Ссылка на комментарий
St. Опубликовано 21 февраля, 2018 Поделиться Опубликовано 21 февраля, 2018 (изменено) +1 за лечение.Шансы есть, от Вас нужно время, терпение и найти доктора , плюс есть определенные финансовые риски( т.е. может быть так что старались, перелечили, но не помогло). Изменено 21 февраля, 2018 пользователем St. Ссылка на комментарий
DmitrySH Опубликовано 21 февраля, 2018 Поделиться Опубликовано 21 февраля, 2018 А вы посмотрели на второй снимок(файл 1.jpg) на нем как раз видны размеры кист( воспаления) ? Конечно, это не сильно принципиально Ссылка на комментарий
IvanK Опубликовано 22 февраля, 2018 Поделиться Опубликовано 22 февраля, 2018 бы если есть хоть какая-то надежда вероятность есть я бы удалил Ссылка на комментарий
Рекомендуемые сообщения
Для публикации сообщений создайте учётную запись или авторизуйтесь
Вы должны быть пользователем, чтобы оставить комментарий
Создать аккаунт
Зарегистрируйте новый аккаунт в нашем сообществе. Это очень просто!
Регистрация нового пользователяВойти
Уже есть аккаунт? Войти в систему.
Войти