LeoRuss Опубликовано 20 февраля, 2018 Поделиться Опубликовано 20 февраля, 2018 (изменено) Здравствуйте уважаемые метры, в очередной раз обращаюсь к вам за советом.Чуть меньше года назад эндодонтическим методом в полном соответствии с вашими рекомендациями была пролечена киста 26.( http://forum.stom.ru/topic/34508-podsadka-kosti-pri-kiste-nuzhna-li-v-dannom-slucha/ ) При вскрытии зуба выявилась неприятная картина: оба титановых штифта в далеком ‘94м были завернуты мимо корневых каналов прямо в челюсть ;(Док все демонтировал, прочистил под микроскопом и каналы и дыры от штифтов и замуровал МТА : спустя 8 месяцев - 10/2017 : И вроде бы все чудесно, но пару раз за это время десна вокруг зуба воспалялась, и зуб становился более подвижным, но все проходило после 2-3-5 дневного интенсивного полоскания хлоргексидином. Три недели назад была наконец то установлена коронка на соседний 27й, десна с внутренней стороны 26ки тогда была тоже припухшей и протезист посоветовал сходить на контроль к эндодонтисту. Напросился и сходил через неделю, десна за это время еще чуть распухла (только со стороны языка), стало больно при легком нажатии на десну в районе верхушки корня ближнего к 25ке и при покачивании зуба. Док сделал снимок, сказал что все чисто и он понятия не имеет почему все надулось. Вариант удаления забраковал, сказал что по его мнению все хорошо, и можно уже ставить коронку. А вот в импланте смысла никакого, тем более что кости для него пока недостаточно, тк межкорневая область еще не дозаросла. Посоветовал терпеть и.. поставить коронку, тк нагрузка на зуб при жевании должна активировать заживление.Но жевать на этой стороне я стал почти месяц назад, сразу после установки временной коронки на 27, вот с тех пор с 26кой все хуже и хуже. За последние полнедели опухоль сильно увеличилась, и между 25/26, и в сторону нёба, дергает в ритме пульса. Появились отголоски боли в носоглотке и в заглазье.Терпеть уже плохо получается, да и смысла не вижу. Вижу два варианта:1. Удалять 26 чтоб не мучаться, с последующей имплантацией, но как быть с нехваткой кости?2. Вскрыть каналы и прочистить еще раз, но даст ли это хоть что то, да и возможно ли в принципе? В любом случае хотел бы узнать ваше мнение, спасибо ! Изменено 20 февраля, 2018 пользователем LeoRuss Ссылка на комментарий
Bier Опубликовано 20 февраля, 2018 Поделиться Опубликовано 20 февраля, 2018 надо на КТ оценить размер разрушений. И возможность резекции верхушки корня. Либо удалять.Кость можно нарастить. Ссылка на комментарий
red_butler Опубликовано 20 февраля, 2018 Поделиться Опубликовано 20 февраля, 2018 1. Удалять 26 чтоб не мучаться, с последующей имплантацией да но как быть с нехваткой кости? это не проблема Ссылка на комментарий
LeoRuss Опубликовано 20 февраля, 2018 Автор Поделиться Опубликовано 20 февраля, 2018 (изменено) Спасибо! В случае удаления,имеет ли смысл сразу заложить что то в лунку (альвостаз губка, PRF сгусток, ..?), в плане наращивания кости/улучшения заживления? Правда при сильном покачивании зуба у меня ощущение что между ним и десной потихоньку начал сочиться гной, но это только вкусовые ощущения, визуально подтвердить не удается. Изменено 20 февраля, 2018 пользователем LeoRuss Ссылка на комментарий
LeoRuss Опубликовано 20 февраля, 2018 Автор Поделиться Опубликовано 20 февраля, 2018 (изменено) С резекцией увы уже нереально, док и в прошлый раз сказал, что если бы знал что там внутри, то ни за чтобы не взялся за лечение. Так что никто за меня тут уже не берется кроме хирурга-фрезеровщика (я в прошлый раз даже билет заказал до Гарриевича, только в предпоследний день перед вылетом через хирурга знакомого продавили по случаю к местному светиле в области эндодонтии).Сейчас стараюсь в авральном порядке попасть к своему дантисту. Идти к дежурному на срочное удаление все таки ещё не дозрел. Изменено 20 февраля, 2018 пользователем LeoRuss Ссылка на комментарий
red_butler Опубликовано 20 февраля, 2018 Поделиться Опубликовано 20 февраля, 2018 Спасибо! В случае удаления,имеет ли смысл сразу заложить что то в лунку (альвостаз губка, PRF сгусток, ..?), в плане наращивания кости/улучшения заживления? Правда при сильном покачивании зуба у меня ощущение что между ним и десной потихоньку начал сочиться гной, но это только вкусовые ощущения, визуально подтвердить не удается.Для ответа нужна Кт и очный осмотр, но возможно консервация лунки позволит не делать синуслифтинг Ссылка на комментарий
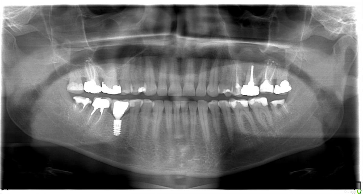
LeoRuss Опубликовано 20 февраля, 2018 Автор Поделиться Опубликовано 20 февраля, 2018 Как вы и говорили сделали томограмму и все прояснилось: киста зажила наполовину но.. по вертикали, та часть кисты что со стороны щеки затянулась, а вот со стороны языка, только чуть. Видимо повлияла перфорация челюсти штифтом, или МТА туда просто не попало. Увы, теперь уже только удаление. Еще раз огромное спасибо ! Ссылка на комментарий
колесников Опубликовано 21 февраля, 2018 Поделиться Опубликовано 21 февраля, 2018 Удалять с консервацией лунки костным материалом. Киста сделала синуслифтинг в виде купола,надо его сохранить. Если просто удалите зуб-через 3 мес все это исчезнет и для имплантации придётся делать костную пластику. Ссылка на комментарий
LeoRuss Опубликовано 21 февраля, 2018 Автор Поделиться Опубликовано 21 февраля, 2018 (изменено) Удалять с консервацией лунки костным материалом. Киста сделала синуслифтинг в виде купола,надо его сохранить. Если просто удалите зуб-через 3 мес все это исчезнет и для имплантации придётся делать костную пластику.Уже удалил сегодня утром ;(Попросил чтобы сунули туда альвостаз губку. Ее сунули, но через пару часов она выпала и больше там держаться не желает. Теперь там просто дырка, пролазит свободно карандаш. Костный материал дантист класть отказался, потому как был гной и мочалка от кисты, и он опасается инфекции. Если была инфекция, то решение о костной пластике принимают отсрочено.. или де факто это не всегда так? Изменено 21 февраля, 2018 пользователем LeoRuss Ссылка на комментарий
LeoRuss Опубликовано 21 февраля, 2018 Автор Поделиться Опубликовано 21 февраля, 2018 Да и нет у него никаких костей, он просто терапевт, хирург с сегодняшнего дня в отпуске, передал меня вчера по этапу на удаление и смылся. Будет через 2 недели. Но боюсь через 2 недели досыпать кость будет уже поздно? Ссылка на комментарий
red_butler Опубликовано 21 февраля, 2018 Поделиться Опубликовано 21 февраля, 2018 Теперь только ждать Ссылка на комментарий
Рекомендуемые сообщения
Для публикации сообщений создайте учётную запись или авторизуйтесь
Вы должны быть пользователем, чтобы оставить комментарий
Создать аккаунт
Зарегистрируйте новый аккаунт в нашем сообществе. Это очень просто!
Регистрация нового пользователяВойти
Уже есть аккаунт? Войти в систему.
Войти