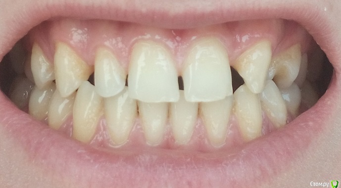
sergemiko Опубликовано 20 февраля, 2018 Поделиться Опубликовано 20 февраля, 2018 (изменено) Добрый день. Планирую ставить брекеты (на 2 года, самому 27 лет, муж.), но для полной красоты не хватает 12 зуба. Врач предложил сместить брекетами зубы друг к другу, либо, наоборот, раздвинуть для импланта на место отсутствующего 22 и коронки под 12 зуб. Вот, хочу посоветоваться, как лучше поступить.18 и 28 зубы уже удалены, собственно, я думаю, именно они, прорезываясь, сместили зубы в кривизну, но брекеты я решил ставить ещё до этого.37 зуб сделал доп.снимок, который показал, что воспаление не ярко выражено как на панорамном снимке, решили его не трогать.PS: немного смущают дёсна, кажется что оголились или это норма? Изменено 20 февраля, 2018 пользователем sergemiko Ссылка на комментарий
Дмитрий Л. Опубликовано 20 февраля, 2018 Поделиться Опубликовано 20 февраля, 2018 Вы наверное запутались с номерами зубов.Имплант лучше ставить подальше. Если есть возможность сместить ваш левый клык вперёд и запротезировать его под резец, а на место сдвинутого клыка поставить имплантат, то лучше делать так. В идеале фронт под виниры. По фото судить трудно, вашем врачу виднее ситуация. Ссылка на комментарий
sergemiko Опубликовано 20 февраля, 2018 Автор Поделиться Опубликовано 20 февраля, 2018 Вы наверное запутались с номерами зубов.Имплант лучше ставить подальше. Если есть возможность сместить ваш левый клык вперёд и запротезировать его под резец, а на место сдвинутого клыка поставить имплантат, то лучше делать так. В идеале фронт под виниры. По фото судить трудно, вашем врачу виднее ситуация.Да, перепутал, не хватает 22 зуба, а не 12. А почему именно левый клык сместить вперёд и запротезировать его под резец, а на место сдвинутого клыка поставить имплантат, а не поставить резец-имплантат, сместив клык назад или не принципиально важно? Ведь с правой стороны резец есть. И, кстати, на правый резец ставится коронка или винир? Ссылка на комментарий
Дмитрий Л. Опубликовано 20 февраля, 2018 Поделиться Опубликовано 20 февраля, 2018 Да, перепутал, не хватает 22 зуба, а не 12. А почему именно левый клык сместить вперёд и запротезировать его под резец, а на место сдвинутого клыка поставить имплантат, а не поставить резец-имплантат, сместив клык назад или не принципиально важно? Ведь с правой стороны резец есть. И, кстати, на правый резец ставится коронка или винир?На родном зубе проще добиться эстетики. На правый резец скорее всего коронка, но это не важно, коронка и винир одинаково эстетичны и изготавливаются из одних и тех же материалов.И снова, вашему врачу виднее как лучше. Ссылка на комментарий
Bier Опубликовано 22 февраля, 2018 Поделиться Опубликовано 22 февраля, 2018 Я бы все же ставил клык на свое место и имплантировал резец. Условия хорошие, если нормально сделать, все получится. 1 Ссылка на комментарий
Рекомендуемые сообщения
Для публикации сообщений создайте учётную запись или авторизуйтесь
Вы должны быть пользователем, чтобы оставить комментарий
Создать аккаунт
Зарегистрируйте новый аккаунт в нашем сообществе. Это очень просто!
Регистрация нового пользователяВойти
Уже есть аккаунт? Войти в систему.
Войти