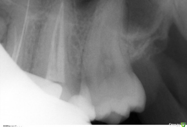
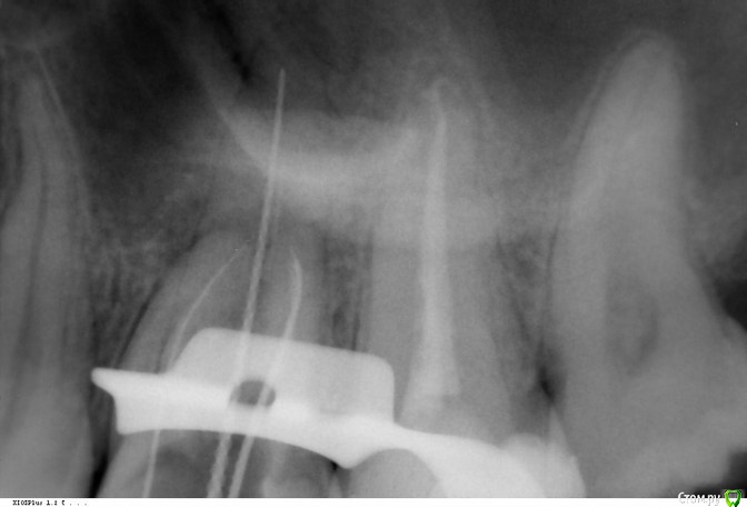
Викторри Опубликовано 16 февраля, 2018 Поделиться Опубликовано 16 февраля, 2018 Здравствуйте,уважаемые доктора и пациенты! Проблема 26 зуб, лечение по поводу пульпита в 2011г (если необходимо, могу прикрепить снимок).В ноябре 2017г обнаружена киста ,проявлявшаяся реакцией на горячее. В декабре 2017 за 3 сеасна открыты 3 и пройден 4 канал. В наст время готовлюсь к постоянной пломбировке (в каналах каласепт уже 8 недель). Меня смущает картина прохождения канала (вроде дистальный),к-ый самый длинный, а именно кажется,что не прошли его до верхушки.Вопросы :1. права ли я на счет не до конца пломбир. канала?Если да-что делать?2. необходимо ли нахождение Каалсепта такое длительное время в каналах? Очень жду ответа.Спасибо Ссылка на комментарий
red_butler Опубликовано 16 февраля, 2018 Поделиться Опубликовано 16 февраля, 2018 1. права ли я на счет не до конца пломбир. канала? нет Если да-что делать? Вы не доверяете своему врачу? Ссылка на комментарий
Викторри Опубликовано 16 февраля, 2018 Автор Поделиться Опубликовано 16 февраля, 2018 нет Вы не доверяете своему врачу?Здравствуйте,спасибо за ответ. Т.е. канал пройден до верхушки? На счет 2-го ?: ситуация след: этот доктор не мой постоянный (мой в другом городе), я пытаюсь ей верить, но я вот из-за такой же кисты уже потеряла 36 зуб и 26 перелечиваю из-за пропущенного и недолеченных каналов. Обжегшись на молоке - на воду дуешь Ссылка на комментарий
red_butler Опубликовано 16 февраля, 2018 Поделиться Опубликовано 16 февраля, 2018 Т.е. канал пройден до верхушки? да На счет 2-го ? стандартных сроков нет, переходите к постоянному пломбированию но я вот из-за такой же кисты уже потеряла 36 зуб все будет хорошо 1 Ссылка на комментарий
Викторри Опубликовано 16 февраля, 2018 Автор Поделиться Опубликовано 16 февраля, 2018 да стандартных сроков нет, переходите к постоянному пломбированию все будет хорошоСпасибо за участие Ссылка на комментарий
Викторри Опубликовано 17 февраля, 2018 Автор Поделиться Опубликовано 17 февраля, 2018 (изменено) Уважаемые доктора! Помогите прояснить ситуацию: может ли зуб с кистой(26) реагировать на горячее-теплое либо стоит искать проблему в другом зубе? боль в области 26-28. могу прикрепить кт. Спасибо.Также есть снимок 26-28 от 11.12.2017 Изменено 17 февраля, 2018 пользователем Викторри Ссылка на комментарий
DmitrySH Опубликовано 17 февраля, 2018 Поделиться Опубликовано 17 февраля, 2018 может ли зуб с кистой(26) реагировать на горячее-теплое может Ссылка на комментарий
Викторри Опубликовано 17 февраля, 2018 Автор Поделиться Опубликовано 17 февраля, 2018 может Cпасибо,а если за время нахождения каласепта в канале никак не меняется картина такой реакции, то значит менять лекарство или оно не действует? Ссылка на комментарий
DmitrySH Опубликовано 17 февраля, 2018 Поделиться Опубликовано 17 февраля, 2018 (изменено) Беспокоит чувствительность только на тепло?8 недель уже каласепт? Ничего не меняется? Изменено 17 февраля, 2018 пользователем DmitrySH Ссылка на комментарий
Викторри Опубликовано 18 февраля, 2018 Автор Поделиться Опубликовано 18 февраля, 2018 Беспокоит чувствительность только на тепло?8 недель уже каласепт? Ничего не меняется?Спасибо за ответ.На горячее-теплое, у меня впечатление,что не меняется. Каласепт уже 8 нед. Причем боль возникает не сразу при приеме горячего, а запоздало, постепенно расходится, как будто из эпицентра .Отчетливее всего она в 27 зубе,потом проходит. Мой лечащий врач утверждает,что реагирует выдвинувшийся 26 зуб именно у десны, моя постоянная врач говорит,что это 26 ,кто-то -за 28. Извините, что много ?. Насколько я поняла,при раскрытии кисты боль должна была пройти, но не прошла. Может ли быть причиной 28 зуб (там неск-ко врачей видели полость по рг) или все-таки проблема 26? На завтра мне назначена пломбировка 26 зуба. Насколько я поняла для пломбировки канал должен быть сухой ,соответственно если он не сухой, там есть проблем? м.б.,что каласепт не помог в течение такого времени или кисты могут долго болеть? Прикрепляю кт от 08.11.2107.Помогите разобраться: пломбироваться и ждать исчезновения болей или сейчас искать другой источник проблемы и после пломбир? Ответственность в принятии решения на мне, важно услышать ваше мнение. Спасибо. Ссылка на комментарий
Викторри Опубликовано 28 февраля, 2018 Автор Поделиться Опубликовано 28 февраля, 2018 Уважаемые доктора,здравствуйте! Прошу помощи в связи с новыми нюансами моего лечения:1) 19.02 за 2 часа до запланированного пломбирования каналов на постоянку мне позвонили из клиники и сказали,что врач сегодня не примет, у нее проблемы и когда примет выясняется. На след день сообщили,что док ушел из клиники и меня передают другому врачу.2)за 3 дня до этого 16.02 я взяла снимки,сделанные во время лечения,тока сейчас до меня дошло,что мне не вернули 1 снимок за 2ое посещение (когда открывали самый проблемный канал). Еще ?:если во время лечения я почувствовала сильную боль, могла ли это быть перфорация,о ко-ой умолчали? по словам дока,это она дошла до верхушки. Я поверила. Док лечила с микроскопом.3) док,лечивший меня трубку не берет,прекрасно понимая кто звонит. На след неделе иду в др.клинику.Если выяснится,что есть перфо,что делать? Спасибо Ссылка на комментарий
DmitrySH Опубликовано 1 марта, 2018 Поделиться Опубликовано 1 марта, 2018 Не часто сюда захожу, соответственно и не отвечал. На след неделе иду в др.клинику.Если выяснится,что есть перфо,что делать? На представленых снимках перфо не видно. Пусть очно посмотрят, там и будет понятно. если во время лечения я почувствовала сильную боль, могла ли это быть перфорация,о ко-ой умолчали? по словам дока,это она дошла до верхушки. Я поверила. болезненные ощущения могли быть и при обработке верхушки. Ссылка на комментарий
Викторри Опубликовано 3 марта, 2018 Автор Поделиться Опубликовано 3 марта, 2018 Не часто сюда захожу, соответственно и не отвечал. На представленых снимках перфо не видно. Пусть очно посмотрят, там и будет понятно. болезненные ощущения могли быть и при обработке верхушки. Спасибо,а перфо видны невооруженным взглядом или только под микросокпом? Ссылка на комментарий
DmitrySH Опубликовано 3 марта, 2018 Поделиться Опубликовано 3 марта, 2018 Спасибо,а перфо видны невооруженным взглядом или только под микросокпом? Зависит от расположения. С микроскопом конечно лучше. Но за изгибом канала микроскоп не позволяет видеть. Ссылка на комментарий
Викторри Опубликовано 3 марта, 2018 Автор Поделиться Опубликовано 3 марта, 2018 Зависит от расположения. С микроскопом конечно лучше. Но за изгибом канала микроскоп не позволяет видеть. Спасибо, такс а прокрашивание дает полную картину? Ссылка на комментарий
Викторри Опубликовано 5 марта, 2018 Автор Поделиться Опубликовано 5 марта, 2018 Уважаемые доктора!Оставшись без врача (почему см.выше), после консультаций с неск врачами, у меня Маячит следующая перспектива:1) заложить каласепт на 2 нед.2) через 2 нед. постоянная пломбировкаВ связи с этим у меня намечен план действий:1) идти в клинику с микроскопом на проверку наличия трещин и перфо,заложить лекарство2) потом пломбироваться у врача без микроскопаТ.е. совершить эти 2 действия у 2 разных врачей. Или раксошелиться и сделать все в одном месте? Насколько наличие микроскопа значимо при проведении постоянной пломбировки? Причина метаний деньги.Разница 20 тырСпасибо Ссылка на комментарий
red_butler Опубликовано 5 марта, 2018 Поделиться Опубликовано 5 марта, 2018 сделать все в одном месте? это лучший вариант 1 Ссылка на комментарий
Викторри Опубликовано 5 марта, 2018 Автор Поделиться Опубликовано 5 марта, 2018 это лучший вариант спасибо,а вообще как человеку,не сведущему в стоматологии, зачем микроскоп при постоянной пломбировке,если апекслокатор есть?интересно Ссылка на комментарий
red_butler Опубликовано 6 марта, 2018 Поделиться Опубликовано 6 марта, 2018 спасибо,а вообще как человеку,не сведущему в стоматологии, зачем микроскоп при постоянной пломбировке,если апекслокатор есть?интересноесть такая вещь как преемственность, что бы не искать потом кто крайний. При пломбировании каналов оптика может помощь при закрытии перфорации и создании "апикальной пробки"Главное нужно понимать что лечит не микроскоп а врач Ссылка на комментарий
Викторри Опубликовано 6 марта, 2018 Автор Поделиться Опубликовано 6 марта, 2018 есть такая вещь как преемственность, что бы не искать потом кто крайний. При пломбировании каналов оптика может помощь при закрытии перфорации и создании "апикальной пробки"Главное нужно понимать что лечит не микроскоп а врачспасибо,ясно Ссылка на комментарий
Гарриевич Опубликовано 12 марта, 2018 Поделиться Опубликовано 12 марта, 2018 Найдите себе врача хорошего, ответственного, честного и все вопросы отпалут Ссылка на комментарий
Викторри Опубликовано 12 марта, 2018 Автор Поделиться Опубликовано 12 марта, 2018 Найдите себе врача хорошего, ответственного, честного и все вопросы отпалутвот вы знаете,если бы я его нашла,я бы не писала. А критерии не подскажите как я его вычислю? по глазам,по голосу? серьезно. вот меня такие комменты бесят. извините,если резко. 1 2 Ссылка на комментарий
red_butler Опубликовано 12 марта, 2018 Поделиться Опубликовано 12 марта, 2018 А критерии не подскажите как я его вычислю? по глазам,по голосу? http://forum.stom.ru/topic/8621-kak-vybrat-vracha-kak-poniat-kto-profi-a-kto-stu/ Ссылка на комментарий
Рекомендуемые сообщения
Для публикации сообщений создайте учётную запись или авторизуйтесь
Вы должны быть пользователем, чтобы оставить комментарий
Создать аккаунт
Зарегистрируйте новый аккаунт в нашем сообществе. Это очень просто!
Регистрация нового пользователяВойти
Уже есть аккаунт? Войти в систему.
Войти