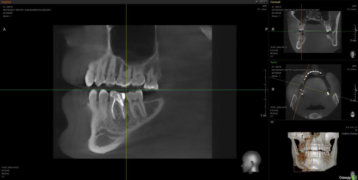
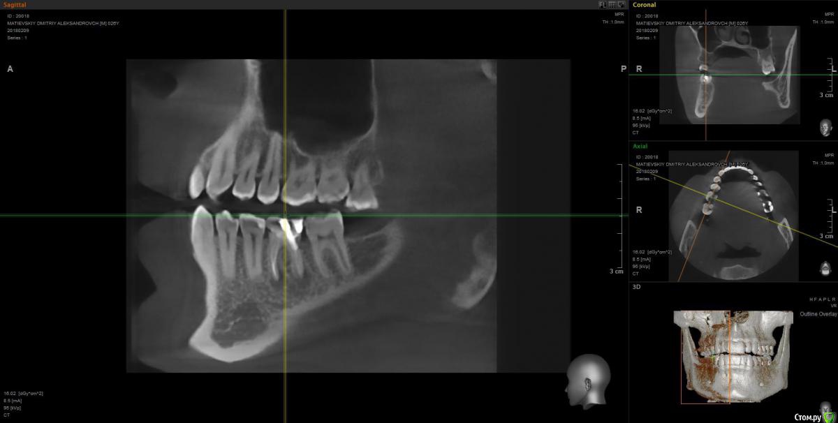
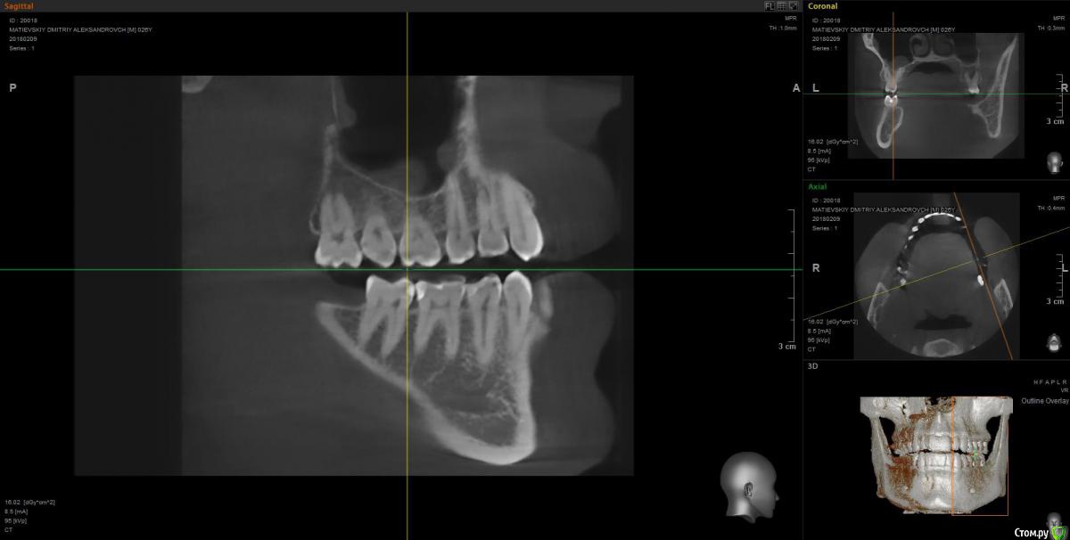
Dmitry91 Опубликовано 13 февраля, 2018 Поделиться Опубликовано 13 февраля, 2018 Добрый день, уважаемые доктора и знатоки! Прошу вашей помощи или мнения по ситуации. Есть проблемный 6й зуб на правой нижней челюсти с огромной пломбой на штифте.Внизу у корней круглые образования (кисты). Под пломбой, похоже, кариес. Стоит ли удалять зуби ставить имплант? Или есть возможность сохранить зуб? Что посоветуете? Если имплант, то какой лучше? Второй вопрос. Нужно ли удалять верхние зубы мудрости (нижних нет)? Похоже рядом с ними на 7ках естьконтактный кариес из-за того, что между зубами мудрости и 7ками застревает пища. Приложил скрины КТ и само 3D КТ в архиве, ссылка ниже. https://yadi.sk/d/kfX43ds43SMxCo Если нужно посмотреть фото с другой стороны, могу сделать. Кто поможет, заранее спасибо!) Ссылка на комментарий
Irouil Опубликовано 13 февраля, 2018 Поделиться Опубликовано 13 февраля, 2018 Удалять восьмерку (вижу только одну) - ОБЯЗАТЕЛЬНО! Удалять шестёрку? Я перспективы лечения не вижу. Какой имплант ставить? Самый надёжный, без оглядки на эстетику. Ссылка на комментарий
DmitrySH Опубликовано 13 февраля, 2018 Поделиться Опубликовано 13 февраля, 2018 ? Или есть возможность сохранить зуб? Если хотите гарантий, то удаляйтеЕсли есть желание сохранить зуб, то можно перелечить. Очаги воспаления скорее всего пройдут, но зуб будет достаточно хрупкий и ненадежный. Соответственно без гарантии. А по стоимости примерно равносильно имплантации Ссылка на комментарий
колесников Опубликовано 14 февраля, 2018 Поделиться Опубликовано 14 февраля, 2018 6ка удаляется. Желательно одномоментно поставить Имплант. Рекомендую Astra tech. Из дополнительных манипуляций будут:формирователь,0,5г костного материала, пластика десны. Верхняя восьмерка ,с этой стороны , так же удаляется. Ссылка на комментарий
Dmitry91 Опубликовано 19 февраля, 2018 Автор Поделиться Опубликовано 19 февраля, 2018 Спасибо большое! А подскажите, имплант лучше ставить сразу или через несколько месяцев? Ссылка на комментарий
колесников Опубликовано 19 февраля, 2018 Поделиться Опубликовано 19 февраля, 2018 Лучше сразу ставить Ссылка на комментарий
IvanK Опубликовано 22 февраля, 2018 Поделиться Опубликовано 22 февраля, 2018 Спасибо большое! А подскажите, имплант лучше ставить сразу или через несколько месяцев?Это решит Ваш ВрачВозможны оба варианта Ссылка на комментарий
Рекомендуемые сообщения
Для публикации сообщений создайте учётную запись или авторизуйтесь
Вы должны быть пользователем, чтобы оставить комментарий
Создать аккаунт
Зарегистрируйте новый аккаунт в нашем сообществе. Это очень просто!
Регистрация нового пользователяВойти
Уже есть аккаунт? Войти в систему.
Войти