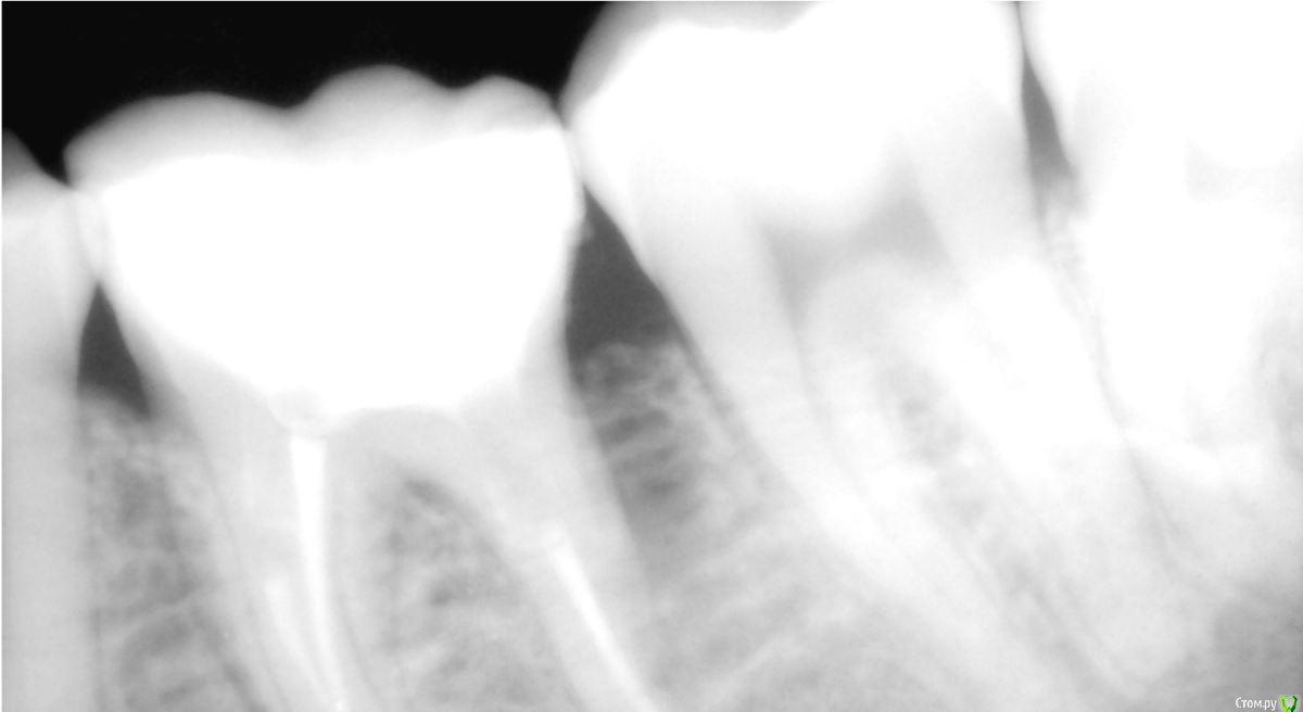
Melancholia Опубликовано 13 февраля, 2018 Поделиться Опубликовано 13 февраля, 2018 Депульпировали зуб месяц назад, нижняя 6 ка. Под временной пломбой откололась стенка зуба ниже уровня десны и началось воспаление десны, там где была эта стенка. Поставили постоянную пломбу которая очень большая(от моего зуба остался корень и одна стеночка), воспаление усилилось, температура 37,2, красная десна, кровоточивость,карман между десной и зубом, если надавить чуточка гноя, странные зудящие ощущения в десне, при ходьбе как будто пульс в этой десне. Пошла к другому врачу, сказали пломба нависающая, контактный пункт плохой и пломба недостаточно широкая из-за этого карман и все пр.Переделали большую часть пломбы. Было это две недели назад. Но воспаление не ушло. Карман ушел, сильная опухлость и покраснение десны ушли, но вечерами температура 37,2 , сбоку по краю зуба из десны торчит что-то красное, ощущения неприятные, но несильные, если нажать чуть-чуть, то десна в этом месте, где красное чуть чуть отходит и оттуда кровит немножко, откуда то будто изнутри, ощущения зуда вокруг зуба несильные. Гноя вроде нет, контактные пункты хорошие, нить проходит как надо. Полоскаю хлоргексидином, фурацилином, мажу Холисалом, временами ощущения легче, но до конца не проходит. Неделю назад показала своему стоматологу он сказал что стало лучше и что десна со временем пройдет. Никогда не было проблем с деснами, и нигде кроме этого места проблем нет. Сколько ждать? Почти месяц десна воспалена. Прилагаю рентген, до того как переделали нависающую пломбу, чтоб показать каналы, мало ли что.. нового снимка еще не делала, т.к. сказали что каналы норм и дело не в них. Зуб не болит, но поутру ощущение что он мешается, будто за ночь стал выше. Ссылка на комментарий
red_butler Опубликовано 13 февраля, 2018 Поделиться Опубликовано 13 февраля, 2018 Под временной пломбой откололась стенка зуба ниже уровня десны и началось воспаление десны, там где была эта стенка. прогноз зуба плохой 2 Ссылка на комментарий
Melancholia Опубликовано 13 февраля, 2018 Автор Поделиться Опубликовано 13 февраля, 2018 прогноз зуба плохой Я понимаю, что такая конструкция долго не простоит. То есть лучше сейчас вырвать зуб и не мучать десну? Ссылка на комментарий
red_butler Опубликовано 13 февраля, 2018 Поделиться Опубликовано 13 февраля, 2018 Я понимаю, что такая конструкция долго не простоит. То есть лучше сейчас вырвать зуб и не мучать десну?Для ответа нужен очный осмотр Ссылка на комментарий
Melancholia Опубликовано 19 февраля, 2018 Автор Поделиться Опубликовано 19 февраля, 2018 В итоге сходила к парадонтологу, он сказал надо делать уже открытый кюретаж резать десну и выгребать всю инфекцию, т.к. карман глубокий и это красное это грануляционная ткань и костная ткань уже убывает. В общем, если у кого чтото-то похожее не сидите как я и не ждите что десна сама пройдет, если за 4 дня не прошла, то надо идти к пародонтологу хорошему.Вот как выглядит это сейчас. Ссылка на комментарий
Рекомендуемые сообщения
Для публикации сообщений создайте учётную запись или авторизуйтесь
Вы должны быть пользователем, чтобы оставить комментарий
Создать аккаунт
Зарегистрируйте новый аккаунт в нашем сообществе. Это очень просто!
Регистрация нового пользователяВойти
Уже есть аккаунт? Войти в систему.
Войти