Перейти к содержанию
Стоматология для всех

Затянутое лечение периодонтита


tineola

Рекомендуемые сообщения

Здравствуйте, уважаемые стоматологи!

Пол женский, 32 года.

 

1) Около двух лет назад проведено эндолечение 26 зуба:

1 посещение: мех-и мед- обработка 3 из 4 к/к: гипохлорит натрия + ЭДТА, поставлена метапаста.

2 посещение (спустя 6 дней, зуб еще болел): оставшийся 4 к/к аналогично мех- и мед- обработан, все 4 канала обтурированы гуттаперчей, временная пломба.

2) Спустя неделю после пломбировки каналов зуб стал беспокоить небольшой ноющей болью. Неоднократно обращения по этому поводу к лечащему врачу не помогали -  тянул время, говорил, что это нормально и надо подождать, перелечивать отказывался. 

Снимок сделан спустя месяц после пломбировки к/к:

post-50922-0-77771600-1517779998_thumb.jpg

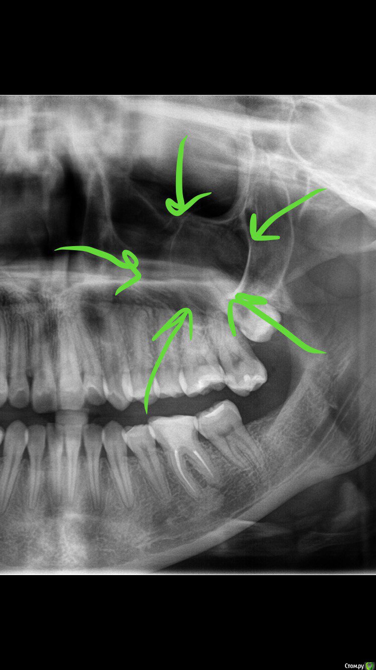
3) Через несколько месяцев после пломбировки к/к боль усилилась, я сделала дентальную КТ, на которой была обнаружена киста гайморовой пазухи и небольшое разряжение у корней зуб (также оказалось, что на по ОПТГ, сделанной перед самой пломбировкой к/к киста была уже в пазухе, но стоматолог не увидел ее на снимке).

Киста на ОПТГ

post-50922-0-18250400-1517780019_thumb.jpg

киста на КТ

post-50922-0-15482100-1517781260_thumb.jpg

4) Обратилась к лорам, отправили к ЧЛХ. Диагноз ЧЛХ: хр.периодонтит 26 зуба, одонтогенный гайморит, ретенция и дистопия 28. Была проведена операция: цистогайморотомия, удален 28 зуб (была вероятность, что от него киста).

5) Спустя несколько месяцев после удаления кисты по КТ в пазухе небольшая гипертрофия слизистой в дне пазухи, сохранялись болевые ощущения в области 26 зуба.

Снимок спустя 1,5 месяца после цистогайморотомии.

post-50922-0-04327700-1517780426_thumb.jpg

В связи с чем я начала перелечивать каналы 26 зуба у нового стоматолога. Врач предупредила, что лечение таких зубов с хр.периодонтитом долгое, и окончательная пломбировка к/к будет произведена только тогда, когда зуб перестанет болеть на лечебной пасте.

Лечение:

1 посещение - 4 канала распломбировали, м/а, поставили на 2 недели септомиксин.

2 посещение - на 1,5 месяца поставили абсцесс ремеди.

3 посещение - метапекс на 2 месяца.

4 посещение - абсцесс ремеди с которым хожу до сегодняшнего дня (около 1,5 месяцев).

За 5 месяцев такого лечения зуб беспокоит и активно болит в течение 2-3 дней после постановки каждой пасты, умеренно в отдельные дни и сильнее к окончанию срока хождения с пастой.

Отсутствия боли в зубе хотя бы в течение недели не было ни разу. Также болевых ощущений добавляет пазуха - любая простуда с насморком сразу дает боль в зубе. Хождение с пастами 1,5 и 2 месяца было связано с моим отъездом и во второй раз с отпуском врача (по ее словам, в этом ничего страшного нет, пасты все равно работают).

 

Уважаемые врачи, подскажите, пожалуйста, насколько оправдано такое длительное лечение периодонтита, смена паст? Появились нехорошие мысли уже насчет качества лечения, длительности и правильности (каждое посещение, естественно, оплата за обтурацию каналов пастой). Врач стоматолог довольно известная в Москве (многие с одонтогенными гайморитами и за повторным эндолечением к ней обращаются).

Помогите, пожалуйста, хочется и зуб не потерять, и, наконец, забыть про боль и нормально жить с 26 зубом. Буду также благодарна советам в личные сообщения, к кому из толковых врачей-эндодонтистов стоит обратиться в г. Москве, если проводимое в моем случае лечение не нормально, на ваш взгляд.

Заранее благодарю за внимание, комментарии и помощь!

Изменено пользователем tineola
Ссылка на комментарий

Для публикации сообщений создайте учётную запись или авторизуйтесь

Вы должны быть пользователем, чтобы оставить комментарий

Создать аккаунт

Зарегистрируйте новый аккаунт в нашем сообществе. Это очень просто!

Регистрация нового пользователя

Войти

Уже есть аккаунт? Войти в систему.

Войти
×
×
  • Создать...
Вверх