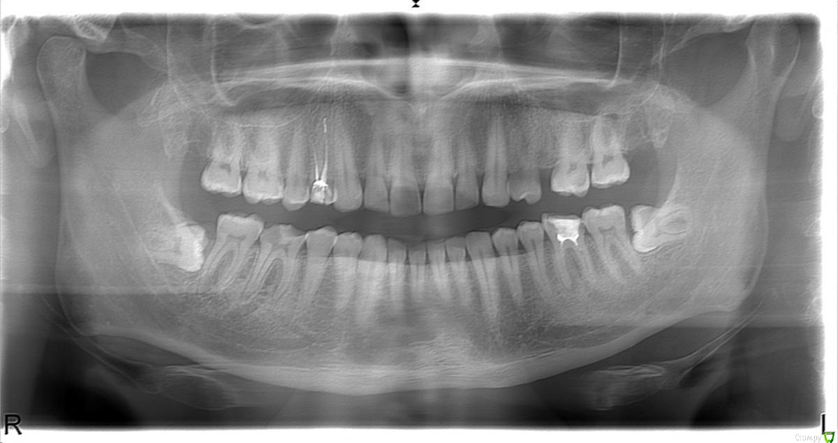
максим83 Опубликовано 4 февраля, 2018 Поделиться Опубликовано 4 февраля, 2018 (изменено) советуют удалить. Какова сложность, местные хирурги не берутся - так ли это (фото прилагаю)... Изменено 4 февраля, 2018 пользователем максим83 Ссылка на комментарий
red_butler Опубликовано 4 февраля, 2018 Поделиться Опубликовано 4 февраля, 2018 Зубы мудрости удалять. Финансовые вопросы на форуме не обсуждаются. Ссылка на комментарий
Борис80 Опубликовано 5 февраля, 2018 Поделиться Опубликовано 5 февраля, 2018 8е удалять, сложность , если можно применить такое слово, не запредельная. Вполне рабочая ситуация Ссылка на комментарий
Irouil Опубликовано 5 февраля, 2018 Поделиться Опубликовано 5 февраля, 2018 Правый зуб я бы не удалял, левый безусловно убирать. Удаление сложное, но все относительно. Сложнее всего обеспечить спокойное заживление после удаления. 2 Ссылка на комментарий
Bier Опубликовано 7 февраля, 2018 Поделиться Опубликовано 7 февраля, 2018 я за удаление обоих зубов, сложность между легкой и средней. Ссылка на комментарий
Рекомендуемые сообщения
Для публикации сообщений создайте учётную запись или авторизуйтесь
Вы должны быть пользователем, чтобы оставить комментарий
Создать аккаунт
Зарегистрируйте новый аккаунт в нашем сообществе. Это очень просто!
Регистрация нового пользователяВойти
Уже есть аккаунт? Войти в систему.
Войти