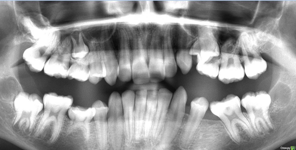
Garrus Опубликовано 1 февраля, 2018 Поделиться Опубликовано 1 февраля, 2018 Пациент 14 лет,ортодонт направил раскрыть 2.5 зуб.Подскажите,каков на ваш взгляд прогноз у зуба? Какой доступ предпочтительнее?Между орто и прицельным ~5 мес Ссылка на комментарий
Brigita Опубликовано 1 февраля, 2018 Поделиться Опубликовано 1 февраля, 2018 По снимку не понятно, где он лежит, но похоже вестибулярно? Если так, открывайте вестибулярно , делайте хороший доступ - побольше, и выпиливайте кость, не жалейте. и не слушайте хирургов, которые скажут делать отверстие по диаметру кнопки .Доступ должен быть таким, чтобы приклеить ее как можно выше, тогда движение пойдет. Ссылка на комментарий
red_butler Опубликовано 2 февраля, 2018 Поделиться Опубликовано 2 февраля, 2018 Нужно щупать или делать Кт Ссылка на комментарий
Kazankov.Egor Опубликовано 2 февраля, 2018 Поделиться Опубликовано 2 февраля, 2018 По снимку не понятно, где он лежит, но похоже вестибулярно? Если так, открывайте вестибулярно , делайте хороший доступ - побольше, и выпиливайте кость, не жалейте. и не слушайте хирургов, которые скажут делать отверстие по диаметру кнопки .Доступ должен быть таким, чтобы приклеить ее как можно выше, тогда движение пойдет.что на счёт стадии формирования и тракции? Ссылка на комментарий
Brigita Опубликовано 2 февраля, 2018 Поделиться Опубликовано 2 февраля, 2018 что на счёт стадии формирования и тракции?О, да. Беру свои слова обратно!!! Стыд-позор за невнимательность Ссылка на комментарий
Рекомендуемые сообщения
Для публикации сообщений создайте учётную запись или авторизуйтесь
Вы должны быть пользователем, чтобы оставить комментарий
Создать аккаунт
Зарегистрируйте новый аккаунт в нашем сообществе. Это очень просто!
Регистрация нового пользователяВойти
Уже есть аккаунт? Войти в систему.
Войти