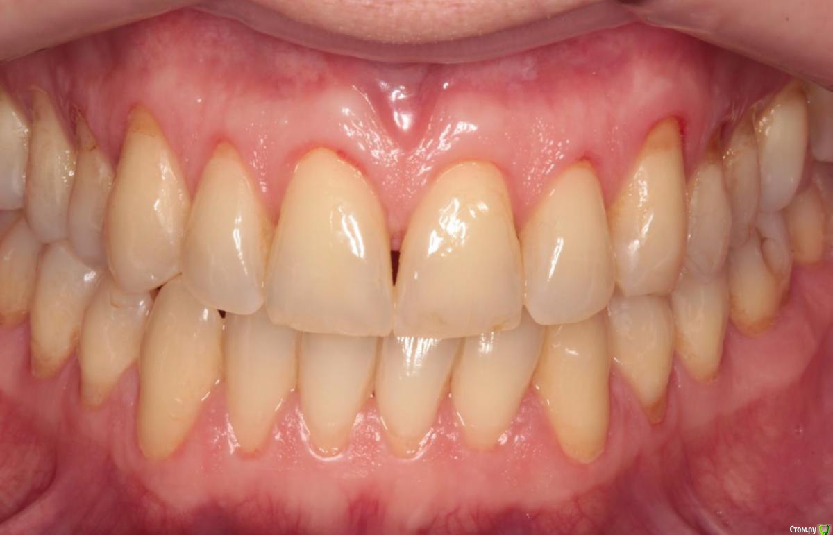
Stasik999 Опубликовано 29 января, 2018 Поделиться Опубликовано 29 января, 2018 Дорогие доктора, было ортодонтическое лечение (инвизиолайн, видимо неудачное, стало лучше, но нижние зубы частично вернулись в свое положение, так как, насколько я теперь понимаю, им банально не хватило места) теперь имею рецессию и убыль костной ткани (судя по уменьшившимся сосочкам, щелями между зубами) несколько раз консультировался, сказали что на верхней челюсти необходима операция на всей нижней челюсти а впоследствии видимо и на нижней. насколько я понимаю с десневыми сосочками сделать ничего нельзя, а рецессию необходимо убирать. самый понятный путь это трансплантант с неба, но я его опасаюсь, так как кажется что это всю десну придется изрезать для такого большого количества материала. много читал про заменители аллодерм, мукографт, мукодерм и тд. красивее всего пишут про аллодерм, который у нас недоступен, летал в Англию где он есть, консультировался с профессором, она как ни странно сказала что за твои деньги пришьем тебе что угодно, но она рекомендует не аллодерм, а мукодерм. если так, то мукодерм доступен у нас, но я так и не нашел доктора кто бы использовал его на потоке. подскажите пожалуйста, правильно ли я смотрю в сторону искусственного материала, ну и вообще что мне делать? а то я уже начинаю запутываться. с удовольствием готов посетить личную консультацию если надо. и еще пишут про PRF (типа новый метод, из собственной крови материал получают), но опять же где это доступно не нашел, и может я слишком все усложняю? извините что длинно, заранее огромное спасибо! Стас. Ссылка на комментарий
Audutor Опубликовано 29 января, 2018 Поделиться Опубликовано 29 января, 2018 Дорогие доктора, было ортодонтическое лечение (инвизиолайн, видимо неудачное, стало лучше, но нижние зубы частично вернулись в свое положение, так как, насколько я теперь понимаю, им банально не хватило места) теперь имею рецессию и убыль костной ткани (судя по уменьшившимся сосочкам, щелями между зубами) несколько раз консультировался, сказали что на верхней челюсти необходима операция на всей нижней челюсти а впоследствии видимо и на нижней. насколько я понимаю с десневыми сосочками сделать ничего нельзя, а рецессию необходимо убирать. самый понятный путь это трансплантант с неба, но я его опасаюсь, так как кажется что это всю десну придется изрезать для такого большого количества материала. много читал про заменители аллодерм, мукографт, мукодерм и тд. красивее всего пишут про аллодерм, который у нас недоступен, летал в Англию где он есть, консультировался с профессором, она как ни странно сказала что за твои деньги пришьем тебе что угодно, но она рекомендует не аллодерм, а мукодерм. если так, то мукодерм доступен у нас, но я так и не нашел доктора кто бы использовал его на потоке. подскажите пожалуйста, правильно ли я смотрю в сторону искусственного материала, ну и вообще что мне делать? а то я уже начинаю запутываться. с удовольствием готов посетить личную консультацию если надо. и еще пишут про PRF (типа новый метод, из собственной крови материал получают), но опять же где это доступно не нашел, и может я слишком все усложняю? извините что длинно, заранее огромное спасибо! Стас. Вы однозначно усложняете, соединительная ткань на небе имеет свойство восстанавливаться, и неплохо.Ищите хирурга а не материал. Ссылка на комментарий
Bier Опубликовано 30 января, 2018 Поделиться Опубликовано 30 января, 2018 предпочтительнее все же брать с нёба, да это не за одну операцию, но результаты с аутотканями лучше всего. А нёбо восстанавливается. Ссылка на комментарий
Stasik999 Опубликовано 30 января, 2018 Автор Поделиться Опубликовано 30 января, 2018 спасибо. отличное видео, я похожих правда десятки пересмотрел это на четыре зуба пол десны отрезать пришлось, а мне надо на 12, это только верхняя челюсть, а потом еще и нижняя, страшно очень. в видео туннельный метод, ну и так же туда заменитель ткани пихают вместо десны, таких видео тоже много, я в интернетах о каких то прям плохих случаях с заменителями не нашел. вот на стоматологклуб есть и статья и видео доктора adrian kasaj (ссылку не могу вставить) пишет что они мукодерм регулярно используют, и типа все нормально. но это германия, опять же лететь надо и там оставаться на какое то время... куда ы мне в Москве податься... Ссылка на комментарий
krokomot Опубликовано 30 января, 2018 Поделиться Опубликовано 30 января, 2018 Вы не поняли, это видео того доктора который вам написал, и он может похвастаться хорошими результатами, что вам еще нужно?, Да, не за раз, но результат наиболее предсказуемый с использованием аутотрансплантата. Ссылка на комментарий
Stasik999 Опубликовано 30 января, 2018 Автор Поделиться Опубликовано 30 января, 2018 И вам спасибо за комментарий. Я все понял и соседнюю тему тоже видел))). Я на самом деле очень расчитывал что по поводу заменителей мне что то подскажут и направят. Профессорша в лондоне сказала что конечно собственная ткань предпочтительнее но она понимает мои страдания, я не первый и не последний такой, по этому будем шить как скажете))). На ютубе куча видео с заменителями, много клиник предлагают, похоже делается вывод что у нас про это знают, но нет практики применения и все используют проверенный годами гарантированный вариант... за рубеж просто очень геморно... Ссылка на комментарий
Bier Опубликовано 31 января, 2018 Поделиться Опубликовано 31 января, 2018 Поймите, нет проблем купить мукодерм. Но он не решает до конца задачи. Нам необходимо не только утолщить ткани (с этим справится мукодерм или мукографт) но и изменить их гистологию, а для этого нужны живые клетки и их в магазине не продают.Без этого шансы получить рецидив значительно выше. 1 Ссылка на комментарий
Дмитрий Л. Опубликовано 31 января, 2018 Поделиться Опубликовано 31 января, 2018 (изменено) будем шить как скажете))). Любой каприз за ваши деньги. у нас про это знают, но нет практики примененияМукодерм или его аналог технически использовать проще, никакой зарубежной науки не нужно. проверенный годами гарантированный вариантНеплохо звучит. А вам какой вариант нужен? К слову, донорский участок полностью регенерирует за 2-3 месяца. Дискомфорт проходит за пару дней/недель. Осложнения могут быть всегда и везде, но все они известны врачам и с ними можно справиться. Вам желаю выздороветь.P.S. и бросить курить, если курите (очень улучшит результат). Изменено 31 января, 2018 пользователем Дмитрий Л. Ссылка на комментарий
Рекомендуемые сообщения
Для публикации сообщений создайте учётную запись или авторизуйтесь
Вы должны быть пользователем, чтобы оставить комментарий
Создать аккаунт
Зарегистрируйте новый аккаунт в нашем сообществе. Это очень просто!
Регистрация нового пользователяВойти
Уже есть аккаунт? Войти в систему.
Войти