AnnaMatse Опубликовано 28 января, 2018 Поделиться Опубликовано 28 января, 2018 (изменено) Здравствуйте! Кажется , что болит верхняя депульпированная 7ка слева, но это вряд ли, потому что ее пролечили буквально месяца 2 назад. Но снизу есть больная 7ка и депульпированная 6ка( тоже слева, она немного порушилась). Что там у семерки - неизвестно. Стоматолог скажет точно только тогда , когда начнём с ней работать. Но стоматолога моего щас нет. Других боюсь. А, ещё с этой же стороны есть в зачатке 8ка. Ещё проблема в том, что болит десна при нажатии межу 7 и 6 снизу( слева). Так вот. Вопрос в чем. Могут ли нижние зубы иррадировать в верхний пролеченный? И может ли 8ка прорезаться с такими симптомами? Снимок августа. 7 левая уже пролечена, 8 слева уже удалена. Заранее всем спасибо! 7 справа тоже удалена, так как она была пульпитная и хирург сказал , что ее проще удалить, так как она « вышла из кости». Даже на снимке видно , что она ниже других зубов. Изменено 28 января, 2018 пользователем AnnaMatse Ссылка на комментарий
red_butler Опубликовано 28 января, 2018 Поделиться Опубликовано 28 января, 2018 http://forum.stom.ru/topic/20613-sovety-patcientam-obiazatelno-k-prochteniiu/ 1 Ссылка на комментарий
AnnaMatse Опубликовано 28 января, 2018 Автор Поделиться Опубликовано 28 января, 2018 http://forum.stom.ru/topic/20613-sovety-patcientam-obiazatelno-k-prochteniiu/ прикрепила, правда он с августа. Ну хоть так. Ссылка на комментарий
red_butler Опубликовано 28 января, 2018 Поделиться Опубликовано 28 января, 2018 прикрепила, правда он с августа. Ну хоть так.Покажите актуальный снимок Ссылка на комментарий
AnnaMatse Опубликовано 28 января, 2018 Автор Поделиться Опубликовано 28 января, 2018 Покажите актуальный снимок сделаю на днях. Прицельно нижние или оптг? Ссылка на комментарий
red_butler Опубликовано 28 января, 2018 Поделиться Опубликовано 28 января, 2018 оптг Ссылка на комментарий
AnnaMatse Опубликовано 28 января, 2018 Автор Поделиться Опубликовано 28 января, 2018 ок. Ссылка на комментарий
AnnaMatse Опубликовано 29 января, 2018 Автор Поделиться Опубликовано 29 января, 2018 сделала пока только прицельный снимок того зуба , который болит при нажатии. Не могу редактировать запись и добавить его, не вижу кнопки « изменить» Ссылка на комментарий
AnnaMatse Опубликовано 29 января, 2018 Автор Поделиться Опубликовано 29 января, 2018 Вот , правда он поцарапался, не знаю как это произошло..достала из чехла, а он такой. Ссылка на комментарий
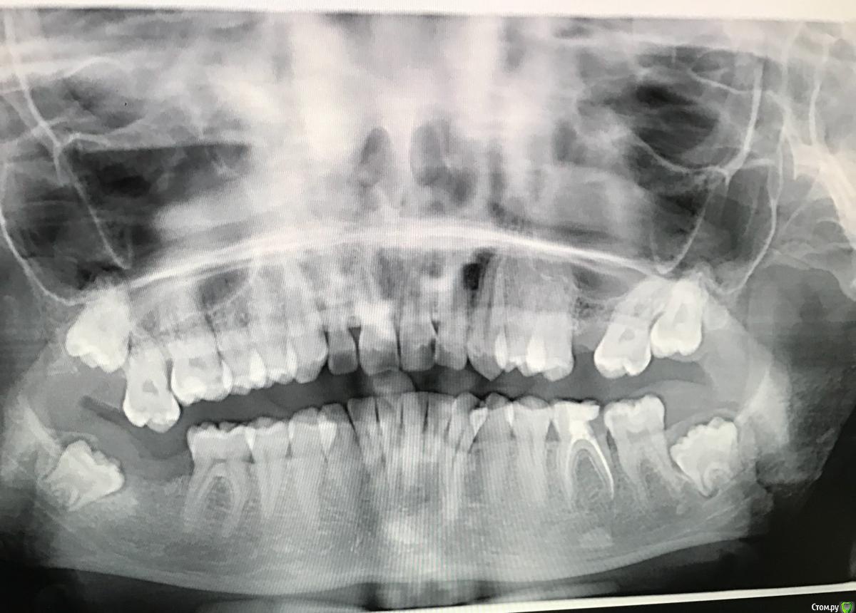
AnnaMatse Опубликовано 29 января, 2018 Автор Поделиться Опубликовано 29 января, 2018 добавила Ссылка на комментарий
red_butler Опубликовано 29 января, 2018 Поделиться Опубликовано 29 января, 2018 добавилавосьмой удалить, седьмой лечить, шестой убрать пломбу, если пойдет под коронку, то протезировать, если нет, то удалять. Ссылка на комментарий
AnnaMatse Опубликовано 29 января, 2018 Автор Поделиться Опубликовано 29 января, 2018 (изменено) восьмой удалить, седьмой лечить, шестой убрать пломбу, если пойдет под коронку, то протезировать, если нет, то удалять. а с 8 что? Вроде в августе хирург не собирался его трогать. Спасибо большое! Изменено 29 января, 2018 пользователем AnnaMatse Ссылка на комментарий
red_butler Опубликовано 29 января, 2018 Поделиться Опубликовано 29 января, 2018 а с 8 что? Вроде в августе хирург не собирался его трогать. Спасибо большое!может попортить седьмой Ссылка на комментарий
AnnaMatse Опубликовано 29 января, 2018 Автор Поделиться Опубликовано 29 января, 2018 (изменено) восьмой удалить, седьмой лечить, шестой убрать пломбу, если пойдет под коронку, то протезировать, если нет, то удалять. получается, что 7 болит и отдаёт вверх? Десна ещё почему -то болит. Я уж испугалась , что там что-то серьёзное с ней..7 недельку подождёт? Изменено 29 января, 2018 пользователем AnnaMatse Ссылка на комментарий
AnnaMatse Опубликовано 29 января, 2018 Автор Поделиться Опубликовано 29 января, 2018 может попортить седьмой а на панораме это уже было видно или только сейчас прояснилось? Я про восьмой. Ссылка на комментарий
red_butler Опубликовано 29 января, 2018 Поделиться Опубликовано 29 января, 2018 получается, что 7 болит и отдаёт вверх? Возможно Десна ещё почему -то болит. Между 6 и 7 карман Я уж испугалась , что там что-то серьёзное с ней..7 недельку подождёт? если причина боли в нем, то может и подождет, а может серьезно обостриться а на панораме это уже было видно или только сейчас прояснилось? Я про восьмой. По ОПГ я бы рекомендовал удаление всех мудрых зубов Ссылка на комментарий
AnnaMatse Опубликовано 29 января, 2018 Автор Поделиться Опубликовано 29 января, 2018 Возможно Между 6 и 7 карман если причина боли в нем, то может и подождет, а может серьезно обостриться По ОПГ я бы рекомендовал удаление всех мудрых зубов верхний слева удален, а справа удалена семерка, т.е восьмерке есть куда встать по идее) Ссылка на комментарий
AnnaMatse Опубликовано 29 января, 2018 Автор Поделиться Опубликовано 29 января, 2018 Возможно Между 6 и 7 карман если причина боли в нем, то может и подождет, а может серьезно обостриться По ОПГ я бы рекомендовал удаление всех мудрых зубов а что такое карман? Ссылка на комментарий
red_butler Опубликовано 29 января, 2018 Поделиться Опубликовано 29 января, 2018 т.е восьмерке есть куда встать по идее) только при условии ортодонтического перемещения, что применительно к третьему моляру сомнительно Ссылка на комментарий
red_butler Опубликовано 29 января, 2018 Поделиться Опубликовано 29 января, 2018 а что такое карман?Вас в гугле забанили? Ссылка на комментарий
AnnaMatse Опубликовано 29 января, 2018 Автор Поделиться Опубликовано 29 января, 2018 Вас в гугле забанили? все, погуглила уже) на неделе схожу к стоматологу. Спасибо большое) тему можете закрывать. 1 Ссылка на комментарий
red_butler Опубликовано 29 января, 2018 Поделиться Опубликовано 29 января, 2018 Удачи, если будет необходимость, тему открою. Ссылка на комментарий
Рекомендуемые сообщения