Перейти к содержанию
Стоматология для всех

Периодонтит


Chernaja

Рекомендуемые сообщения

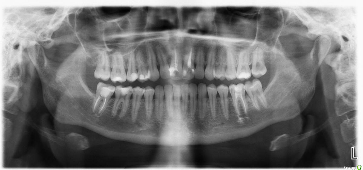
Буду благодарна если поможете разобраться. Три месяца назад заболел зуб. При обращении в стоматологию выяснилось, что у меня периодонтит двух передних зубов, оба зуба были пролечены. Прошло практически два месяца оба зуба все равно болят, один просто ноющей болью постоянно, другой при надкусывании. Оба зуба подвижны. При повторном обращении был сделан панорамный снимок, на котором нет следов воспаления, но врач отметил, что лунка каждого зуба в челюсти больше чем положено и он не понимает с чем это связанно. При первом обращении я отметила, что присутствует не сильная, ноющая боль как будто во всех зубах ( не понять какой именно зуб болит) в нижней челюсти. По факту у меня сейчас болят чуть ли не все зубы, а в чем дело не ясно. Мне 30 лет, год на гв. До назначенного приёма ещё две недели . Не знаю как спасаться. Заранее спасибо!

post-54066-0-53650000-1516994949_thumb.jpg

Ссылка на комментарий

На панорамном снимке периапикальная область центральных зубов замыливается, необходимо сделать прицельные снимки этих двух зубов и выложит их в тему.

  • Поддерживаю 1
Ссылка на комментарий

Для публикации сообщений создайте учётную запись или авторизуйтесь

Вы должны быть пользователем, чтобы оставить комментарий

Создать аккаунт

Зарегистрируйте новый аккаунт в нашем сообществе. Это очень просто!

Регистрация нового пользователя

Войти

Уже есть аккаунт? Войти в систему.

Войти
×
×
  • Создать...
Вверх