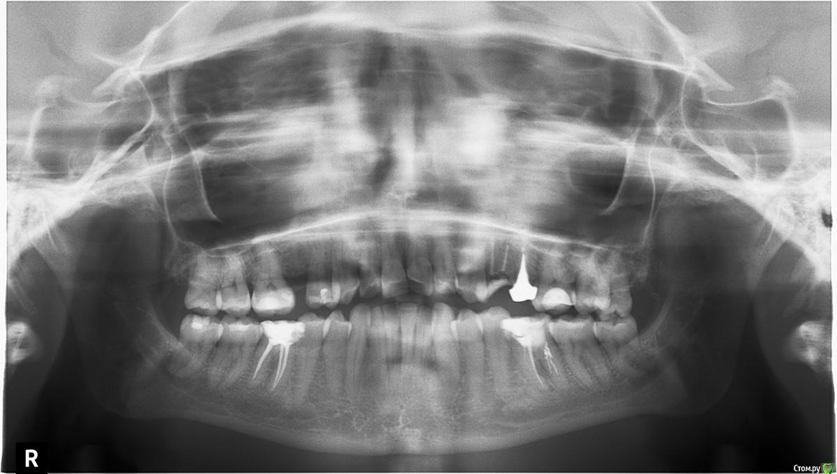
Аннана Опубликовано 22 января, 2018 Поделиться Опубликовано 22 января, 2018 Здравствуйте! Пожалуйста, подскажите, что делать с 46 зубом? На нем киста, ее пытались вылечить, зуб не болит не шатается. Большинство врачей склоняются к тому, чтобы ставить штифт и коронку, но некоторые предлагают удалить и ставить имплантат, т к плохой канал. Ссылка на комментарий
Борис80 Опубликовано 22 января, 2018 Поделиться Опубликовано 22 января, 2018 Речь точно идет о 46 зубе? Может быть 36? 1 Ссылка на комментарий
red_butler Опубликовано 22 января, 2018 Поделиться Опубликовано 22 января, 2018 3.6 удалять Ссылка на комментарий
Аннана Опубликовано 22 января, 2018 Автор Поделиться Опубликовано 22 января, 2018 Речь точно идет о 46 зубе? Может быть 36?Да, именно о 46. 36 удалять буду, как заболит. Ссылка на комментарий
Аннана Опубликовано 22 января, 2018 Автор Поделиться Опубликовано 22 января, 2018 3.6 удалятьА 46? Ссылка на комментарий
DmitrySH Опубликовано 22 января, 2018 Поделиться Опубликовано 22 января, 2018 46 - перелечить и покрыть коронкой. При адекватном исполнении будет еще долго вам служить.36 - неоднозначно. По данному снимку я бы не делал прогнозов. Ссылка на комментарий
Петр Бриньковский Опубликовано 24 января, 2018 Поделиться Опубликовано 24 января, 2018 Здравствуйте! Пожалуйста, подскажите, что делать с 46 зубом? На нем киста, ее пытались вылечить, зуб не болит не шатается. Большинство врачей склоняются к тому, чтобы ставить штифт и коронку, но некоторые предлагают удалить и ставить имплантат, т к плохой канал.Здравствуйте! Даже при перелечивании корневых каналов на 100 % гарантий Вам никто не даст.., дальше зуб необходимо восстанавливать штифтово-культиевой вкладкой и покрывать коронкой. Необходимо конечно посмотреть КТ, но даже по данному снимку видно, что коронковая часть зуба достаточно разрушена и практически весь-зуб это большая пломба, система корневых каналов также уже расширена до нельзя(перелечивали), под вкладку или штифты придется еще расширять , просто вся эта структура может просто сломаться, достаточно ненадежна и Вы потеряете и деньги и время, в данном случае более прогнозируемо будет удаление этого зуба и установка имплантанта ! Ссылка на комментарий
Рекомендуемые сообщения
Для публикации сообщений создайте учётную запись или авторизуйтесь
Вы должны быть пользователем, чтобы оставить комментарий
Создать аккаунт
Зарегистрируйте новый аккаунт в нашем сообществе. Это очень просто!
Регистрация нового пользователяВойти
Уже есть аккаунт? Войти в систему.
Войти