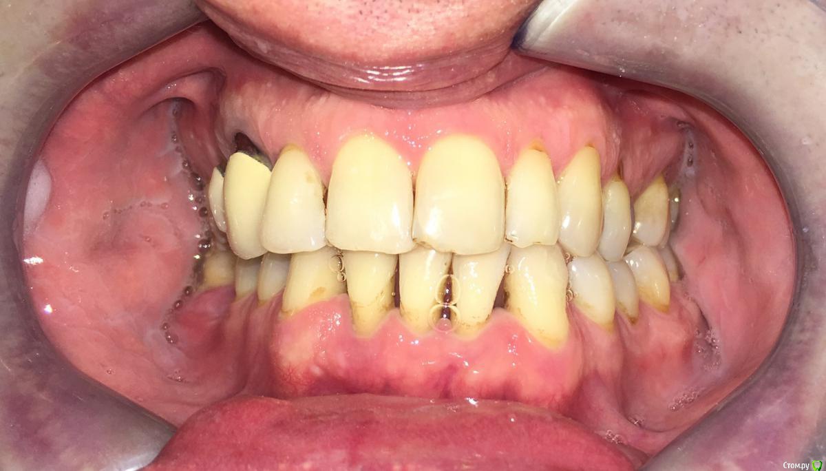
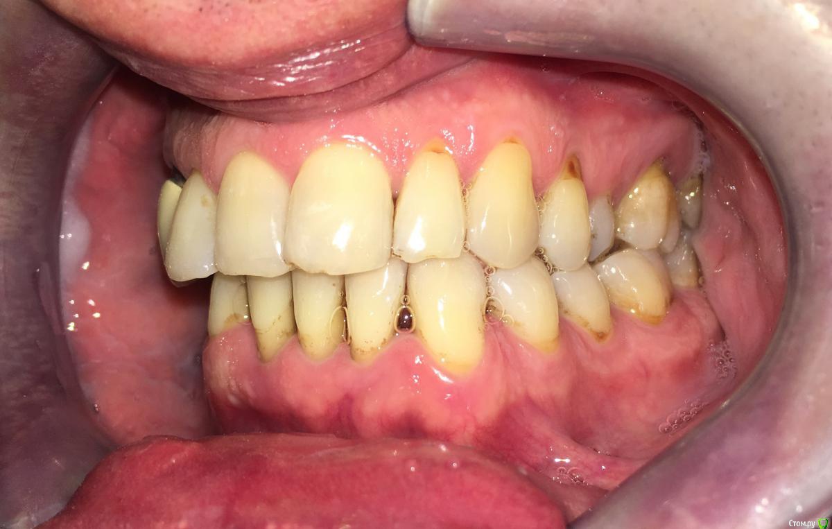
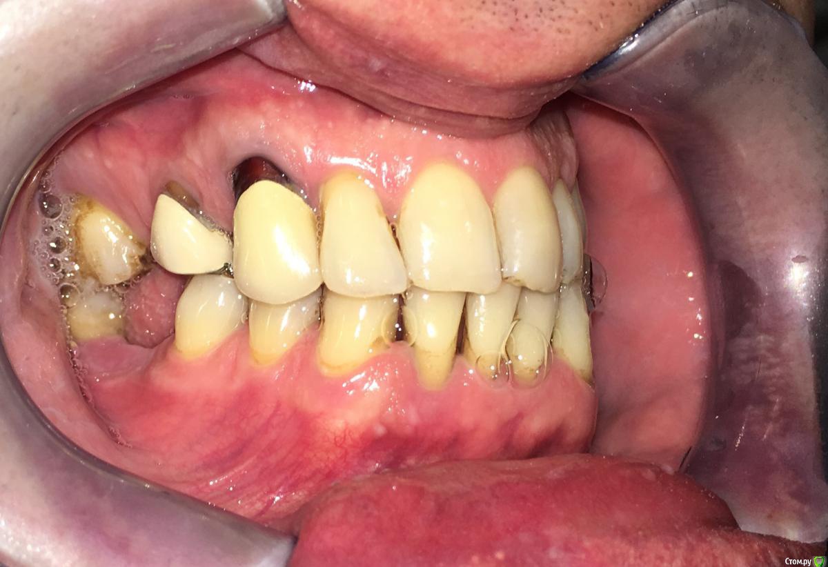
Nitrino1 Опубликовано 20 января, 2018 Поделиться Опубликовано 20 января, 2018 Коллеги помогите поставить правильный диагноз и составить план лечения, чтоб продолжительно держалосьОбъективно на всех зубах камни над и поддесневые. В 47ом зубе 3-я степень подвижность.Почистил все камни и налеты, назначил полоскание, пасту Парадонтах, удалил 47ой зуб.Сделал панорамку (до удаления) и фотки тоже до удаления.Должен составить план лечения... Ссылка на комментарий
red_butler Опубликовано 21 января, 2018 Поделиться Опубликовано 21 января, 2018 Хронический генерализованный пародонтит тяжелой степени, в ремиссии (по МКБ-10 Хронический генерализованный пародонтит, код К0531) Ссылка на комментарий
Nitrino1 Опубликовано 21 января, 2018 Автор Поделиться Опубликовано 21 января, 2018 Хронический генерализованный пародонтит тяжелой степени, в ремиссии (по МКБ-10 Хронический генерализованный пародонтит, код К0531)какой план лечения вы бы порекомендовали? интересует момент с нижними резцами, их шинировать или же удалить? на верхних 6ках тоже ситуация не очень. Вообще какую тактику выбрали бы?И еще просьба, посоветуйте что можно почитать современное на тему парадонтитов и парадонтозов, то что у меня есть это старое уже Ссылка на комментарий
kramer Опубликовано 21 января, 2018 Поделиться Опубликовано 21 января, 2018 (изменено) какой план лечения вы бы порекомендовали? интересует момент с нижними резцами, их шинировать или же удалить? на верхних 6ках тоже ситуация не очень. Вообще какую тактику выбрали бы?И еще просьба, посоветуйте что можно почитать современное на тему парадонтитов и парадонтозов, то что у меня есть это старое ужеВольф, Ратейцхак. Пародонтология Изменено 21 января, 2018 пользователем kramer 1 Ссылка на комментарий
kramer Опубликовано 21 января, 2018 Поделиться Опубликовано 21 января, 2018 Пытались выяснить, в чем причина пародонтита? Возраст, анамнез? Ссылка на комментарий
Nitrino1 Опубликовано 21 января, 2018 Автор Поделиться Опубликовано 21 января, 2018 Пытались выяснить, в чем причина пародонтита? Возраст, анамнез?Пытался. возраст 46. мужчина. курит. соматических заболеваний нет (с его слов). Ни на что не жалуется Ссылка на комментарий
almaz7888 Опубликовано 3 февраля, 2018 Поделиться Опубликовано 3 февраля, 2018 Шинирование нижних резцов в связке с соседними зубами после предварительно го депульпирования зубов. В последующем лоскутная операция. Избирательное пришлифовывание. 1 3 Ссылка на комментарий
molchanoff Опубликовано 4 февраля, 2018 Поделиться Опубликовано 4 февраля, 2018 Удалить подвижное. Кюретаж того что останется. Два съемника и убедившись в стабилизации процесса имплантация. Ссылка на комментарий
almaz7888 Опубликовано 4 февраля, 2018 Поделиться Опубликовано 4 февраля, 2018 Удалить подвижное. Кюретаж того что останется. Два съемника и убедившись в стабилизации процесса имплантация.Вряд ли съемник поспособствует стабилизации процесса. Будет атрофия в области удаленного зуба плюс расшатаются опорные зубы, за счетгоризонтального направления сил. Если уж удалять и протезировать, то делать бюгельный протез с шинирующими элементами. 1 Ссылка на комментарий
chervoncevdaniil Опубликовано 5 февраля, 2018 Поделиться Опубликовано 5 февраля, 2018 (изменено) Удалить подвижное+гигена/кюретаж+остальные коронки+кламмерный бюгель.Сейчас вам могут написать про тотальную имплантацию с объемные костными пластиками и т.д,вы конечно это все внимательно прочитайте,пациенту обязательно предложите и посчитайте приблизительную стоимость,огласите сроки и если вдруг окажется(ну мало ли ),что к такому протезированию он не готов,обсудите вариант с бюгелем,пусть даже как временный,чтобы он собирал деньги на имплантацию в перспективе(но по опыту этот вариант окажется и постоянным) Изменено 5 февраля, 2018 пользователем chervoncevdaniil 1 Ссылка на комментарий
annda Опубликовано 5 февраля, 2018 Поделиться Опубликовано 5 февраля, 2018 Бруксист?Тонус мышц смотрели? Ссылка на комментарий
Nitrino1 Опубликовано 13 февраля, 2018 Автор Поделиться Опубликовано 13 февраля, 2018 Удалить подвижное+гигена/кюретаж+остальные коронки+кламмерный бюгель.Сейчас вам могут написать про тотальную имплантацию с объемные костными пластиками и т.д,вы конечно это все внимательно прочитайте,пациенту обязательно предложите и посчитайте приблизительную стоимость,огласите сроки и если вдруг окажется(ну мало ли ),что к такому протезированию он не готов,обсудите вариант с бюгелем,пусть даже как временный,чтобы он собирал деньги на имплантацию в перспективе(но по опыту этот вариант окажется и постоянным)Пока что шинировал фронтальные подвижные зубы с помощью ретейнера. Пока наблюдаю и переделываю коронки) тотальную имплантацию не предлагаю)) Ссылка на комментарий
Nitrino1 Опубликовано 13 февраля, 2018 Автор Поделиться Опубликовано 13 февраля, 2018 Бруксист?Тонус мышц смотрели?Тонус мышц к сожалению не проверял пока что, на следующий прием проверю обязательно Ссылка на комментарий
Рекомендуемые сообщения
Для публикации сообщений создайте учётную запись или авторизуйтесь
Вы должны быть пользователем, чтобы оставить комментарий
Создать аккаунт
Зарегистрируйте новый аккаунт в нашем сообществе. Это очень просто!
Регистрация нового пользователяВойти
Уже есть аккаунт? Войти в систему.
Войти